Lecithin-cholesterol acyltransferase (LCAT) deficiency is a rare autosomal recessive disorder resulting from mutations in the LCAT gene, which leads to abnormal lipoprotein metabolism. This results in markedly reduced high-density lipoprotein cholesterol and the accumulation of lipoprotein X, leading to renal, corneal, and hemolytic damage. Two clinical variants have been described: familial LCAT deficiency (FLD) and fish-eye disease (FED).
We report the case of a 41-year-old male with a history of hypertension, tinnitus, and progressive hearing loss, who presented with bilateral corneal opacity since childhood. Laboratory studies revealed significant proteinuria (2.56 g/24 h), preserved renal function (creatinine 0.85 mg/dL), mild anemia (Hb 10.2 g/dL), and extremely low HDL cholesterol (1.3 mg/dL). Renal biopsy showed focal segmental glomerulosclerosis and mesangial expansion. Electron microscopy demonstrated concentric lamellar inclusions known as “zebra bodies,” a finding typically associated with Fabry disease. However, α-galactosidase A activity was normal, and genetic testing for Fabry disease was negative. Further genetic analysis identified the variant c.757 p.(Gln253Argfs*11) in the LCAT gene, confirming the diagnosis of familial LCAT deficiency.
This case highlights the importance of differentiating LCAT deficiency from Fabry disease, given their overlapping clinical and histological features. Moreover, it represents the first description of “zebra bodies” in LCAT deficiency, emphasizing the diagnostic complexity and the need for a multidisciplinary approach to ensure accurate diagnosis and appropriate management.
La deficiencia de Lecitina Colesterol Acil Transferasa (LCAT) es una enfermedad genética rara de herencia autosómica recesiva, causada por mutaciones en el gen LCAT que alteran el metabolismo de las lipoproteínas. Esto ocasiona una reducción marcada del colesterol HDL y acumulación de lipoproteína X, con daño renal, corneal y hemolítico. Existen dos variantes clínicas: deficiencia familiar completa (FLD) y síndrome de ojo de pez (FED).
Reportamos el caso de un varón de 41 años con antecedentes de hipertensión, tinnitus e hipoacusia progresiva, que desde la infancia presentó opacidad corneal bilateral. Se documentó proteinuria significativa (2.56 g/24 h), función renal conservada (creatinina 0.85 mg/dl), anemia leve (Hb 10.2 g/dl) y colesterol HDL extremadamente bajo (1.3 mg/dl). La biopsia renal mostró glomeruloesclerosis focal y segmentaria y expansión mesangial; la microscopía electrónica reveló inclusiones laminares concéntricas conocidas como “cuerpos de cebra”, hallazgo habitualmente descrito en la enfermedad de Fabry. No obstante, la actividad de alfa-galactosidasa A fue normal y el estudio genético para Fabry resultó negativo. El análisis genético adicional identificó la variante c.757 p.(Gln253Argfs*11) en el gen LCAT, confirmando deficiencia familiar de LCAT.
Este caso resalta la importancia del diagnóstico diferencial entre deficiencia de LCAT y enfermedad de Fabry, ya que comparten características clínicas e histológicas. Asimismo, constituye el primer reporte de «cuerpos de cebra» en deficiencia de LCAT, subrayando la complejidad diagnóstica y la necesidad de un abordaje multidisciplinario para optimizar el manejo de estos pacientes.
Lecithin cholesterol acyltransferase (LCAT) deficiency is a rare genetic disease, with a prevalence of less than 1/1,000,000; this autosomal recessive, heritable disease is caused by mutations of the LCAT gene located on the short arm of chromosome 16, resulting in altered lipoprotein metabolism.1–3 The LCAT enzyme is necessary for the esterification of free cholesterol on the surface of high-density lipoproteins (HDLs) and is responsible for their transport from peripheral tissues to the liver for subsequent metabolism.4
LCAT deficiency leads to decreased levels of HDL, apoA-I and apoA-II; increased levels of free cholesterol and apo E; and the accumulation of lipoprotein X, which is composed of free cholesterol that cannot be esterified, and phospholipids, which are considered to be responsible for causing damage to various tissues, such as the kidney, eyes, liver, spleen, bone marrow and erythrocytes.3,5–8
The disease has two presentations: complete familial LCAT deficiency ([FLD] familial LCAT disease or Norum disease, OMIM# 2459009), which affects multiple systems, and partial familial LCAT deficiency ([FED] fish eyes disease, OMIM# 13612010), which manifests exclusively as corneal opacities and lipid alterations1,4 but no major systemic compromise.
The clinical manifestations of this pathology include corneal opacity, which usually manifests in childhood in patients with FLD and FED, causing severe visual disturbances that often necessitate transplantation. At the hematological level, erythrocytes present a "target cell" morphology secondary to alterations in membrane lipid composition, which increases its fragility and leads to hemolysis and anemia. The lipid profile of FLD is characterized by a marked reduction in HDL cholesterol (<10 mg/dL) and a cholesterol esterification rate (ECR) lower than 60%. These findings are characteristic of FLD and allow it to be differentiated from FED.11,12
Renal involvement, present in more than 50% of the cases described, is among the main causes of morbidity and mortality in these patients. It manifests as proteinuria from an early age and is attributed to the accumulation of lipoprotein X (LpX) in the glomerulus.8 LpX, a lipoprotein composed of phospholipids (60%) and nonesterified cholesterol (30%), is deposited in the mesangial matrix and the basal membrane, promoting endothelial dysfunction, mesangial expansion and podocyte damage. These mechanisms favor the development of progressive proteinuria and glomerulosclerosis. Histological findings include irregular, granular, electron-dense or electrolucent lipid deposits distributed in the mesangium, subepithelium, subendothelium and basal membrane.13–15
A key aspect in the diagnosis of this disease is its differentiation from other conditions with similar clinical presentations and histological findings, such as Fabry disease.7,16 The presence of zebra bodies, which are concentric laminar inclusions observed on electron microscopy, is associated with various conditions, such as disorders caused by lysosomal deposits, as well as conditions induced by drugs7,17–21; however, zebra bodies are characteristically associated with Fabry disease, a disease linked to deficiency in the enzyme alpha galactosidase A—which leads to the appearance of lysosomal deposits linked to the X chromosome—and also affects the kidney, heart, and nervous system.22,23 This similarity can lead to diagnostic confusion; therefore, performing a comprehensive evaluation, including genetic and enzymatic studies, is essential for establishing an accurate diagnosis.
In this context, we present the case of a patient with LCAT deficiency nephropathy in whom Fabry disease was initially suspected because of histological findings from renal biopsy. This case highlights the importance of differential diagnosis in rare diseases and underscores the need for a multidisciplinary approach to achieve accurate diagnosis and appropriate clinical management.
Case reportWe present the case of a 41-year-old male patient with a three-year history of hypertension, tinnitus and progressive hearing loss of unknown cause. A routine medical check-up performed two years ago revealed microalbuminuria, followed by the appearance of foamy urine and edema in the lower extremities and hands. During the evaluation, bilateral corneal opacity was noted, which the patient reported had been present since childhood; mild anemia without clear etiology; and dyslipidemia (low HDL). Notably, the patient’s brother presented a similar corneal opacity without manifestations of renal disease.
In August 2023, the patient was referred for a nephrology consultation for a proteinuria study; this revealed significant proteinuria in the nonnephrotic range (2.56 g/24 h) and urine sediment without the presence of hematuria or casts, preserved renal function, and serum creatinine levels of 0.85 mg/dL. Additional tests revealed a hemoglobin concentration of 10.2 g/dL, a cholesterol concentration of 110 mg/dL, an HDL concentration of 1.3 mg/dL, an LDL concentration of 60.3 mg/dL, a serum albumin concentration of 3.3 g/dL, and a triglyceride concentration of 255 mg/dL. The antinuclear antibody (ANCA), serum complement and viral results were negative (Table 1). Given these findings, the patient was hospitalized on October 7, 2023 for renal biopsy.
Laboratory results, including creatinine (serum; mg/dL), proteinuria (from 24 -h urine; g/day), cholesterol (serum; mg/dL), triglycerides (serum; mg/dL), LDL (LDL cholesterol; mg/dL), HDL (HDL cholesterol; mg/dL), hemoglobin (g/dL), ANA (nuclear pattern of antinuclear antibodies), and C3-C4 (serum complement components 3 and 4).
| Date | Creatinine (mg/dL) | Proteinuria (g/24 h) | Cholesterol (mg/dL) | Triglycerides (mg/dL) | LDL (mg/dL) | HDL (mg/dL) | Hemoglobin (g/dL) | Urine test | ANA | C3-C4 |
|---|---|---|---|---|---|---|---|---|---|---|
| 2/15/2022 | 0.81 | 154 | 152 | No hematuria | ||||||
| 3/15/2023 | 0.85 | 2.12 | 95 | 12 | 12 | No hematuria | ||||
| 5/27/2023 | 0.85 | 1.45 | 83 | 9.5 | 12.6 | No hematuria | ||||
| 8/11/2023 | 2.56 | |||||||||
| 10/8/2023 | 0.81 | 110 | 255 | 60.3 | 1.3 | 10.2 | 1/100 | Normal | ||
| 11/2/2023 | 0.81 | 0.72 | 112 | 64.7 | 2.5 | 10.6 | ||||
| 3/8/2024 | 0.81 | 2.37 | 95 | 29.3 | 2.5 | 12.2 |
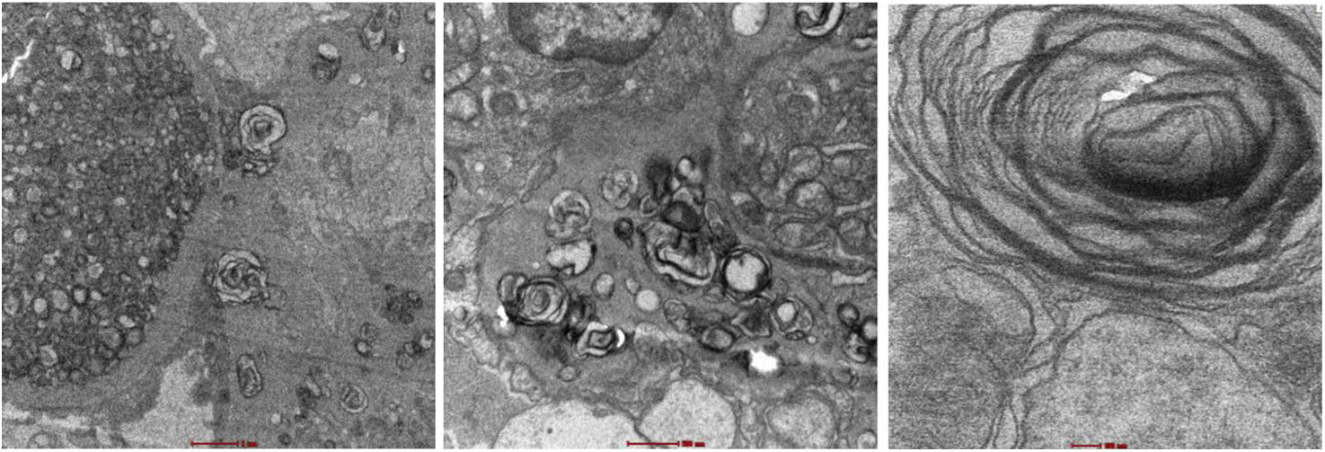
Optical microscopy of the biopsy sample revealed 46 glomeruli, seven of which showed global sclerosis. The viable glomeruli showed mesangial expansion and rigidity of the capillary loops, and segmental sclerosis was observed in two glomeruli; these findings were compatible with focal and segmental glomerulosclerosis. Electron microscopy revealed concentric laminar lysosomal inclusions, known as zebra bodies, with a periodicity of 3.95 nm, located in the capillary loops, mesangium, podocytes and myocytes of the arterioles (Fig. 1).
Electron microscopy. Lamellar inclusions of the 'myelin body' type are observed; the capillary loops are completely occupied by concentric laminar lysosomal inclusions (zebra bodies). Visceral and parietal podocytes show concentric laminar lysosomal inclusions to a lesser degree than the endothelium does.
Given these findings, Fabry disease was suspected, and we proceeded to perform complementary studies. The enzymatic activity of alpha galactosidase A in dried blood was 59.04 nmol/mg protein/h (reference range: 20–100). The level of Lyso-GL-3 was <0.3 ng/dL, and the results of a genetic test for the mutation in the GLA gene were negative for Fabry disease.
Ophthalmological evaluation revealed opacities in the peripheral corneal stroma in both eyes, which were not compatible with cornea verticillata and provided further ophthalmological evidence against a diagnosis of Fabry disease (Fig. 2). Given the clinical context, an additional genetic evaluation was requested, which revealed the c.757 variant of p.(Gln253Argfs*11) in the LCAT gene, classified as a variant of uncertain significance according to the ACMG/AMP/ClinGen SVI guidelines implemented by CENTOGENE. These findings led to the diagnosis of LCAT deficiency, an autosomal recessive hereditary condition.
The definitive diagnosis is LCAT deficiency in its familial variant, supported by the presence of low levels of HDL, corneal opacity, anemia and renal compromise. The patient has been treated with losartan (100 mg/day) and dapagliflozin (10 mg/day), with the aim of decreasing the progression of proteinuria and renal compromise in the absence of specific treatments for this pathology.
DiscussionLCAT deficiency is a rare disease with autosomal recessive inheritance that affects lipoprotein metabolism. As described in the literature, mutations in the LCAT gene compromise the ability of the enzyme to esterify free cholesterol, resulting in a significant alteration of the lipid profile and an accumulation of lipoprotein X, which is implicated in damage to multiple organs, including the kidneys and eyes, as well as erythrocytes.1–6
In this case, a diagnosis of LCAT deficiency was established after a series of clinical, biochemical and genetic evaluations, which revealed an altered lipid profile, extremely low levels of HDL and a pathogenic genetic variant of the LCAT gene. In the literature, no relationship has been found with auditory alterations such as those presented by the patient with this pathology. The renal manifestations of the patient, which included significant proteinuria, are consistent with what has been reported in other studies of this rare disease; however, the patient maintains good renal function, so an early therapeutic approach would be aimed at slowing the progression of his chronic renal disease.
A particularly relevant finding in this case was the identification of zebra bodies, a type of concentric laminar inclusion that is classically associated with Fabry disease, by electron microscopy. However, this finding has not been previously described in the context of LCAT deficiency, which underlines its importance and highlights the complexity of the differential diagnosis in this patient. The presence of zebra bodies initially raised the suspicion of Fabry disease, a condition of lysosomal storage that also affects the kidney, heart and other organs. This novel finding may suggest that laminar inclusions are not exclusive to Fabry disease and that LCAT deficiency may be associated with certain similar histological characteristics, so further investigation is needed.
The differential diagnosis with Fabry disease was resolved through genetic studies that confirmed the absence of mutations in the GLA gene, as well as through the measurement of the enzymatic activity of alpha galactosidase A, which was normal. These findings guided the definitive diagnosis of LCAT deficiency.
Notably, the clinical pictures of Fabry disease and LCAT deficiency differ and can guide the differential diagnosis (Table 2).
Comparison of the clinical and anatomopathological characteristics of LCAT deficiency disease and Fabry disease.
| LCAT deficiency disease | Fabry disease | |
|---|---|---|
| Proteinuria | Yes | Yes |
| Hematological compromise (anemia) | Yes | No |
| Ophthalmological compromise | Corneal opacities: corneal arcus | Cornea verticillata |
| Low HDL | Yes | No |
| Biomarker | None | Lyso-Gb3 |
| Histological findings | ||
| Main deposits | Phospholipids and free cholesterol (lipoprotein X) in the mesangium, subendothelium, subepithelium and basal membrane | Globotriaosylceramide (GL-3) in podocytes, mesangium, endothelium and basal membrane |
| Zebra bodies | Not previously described | Concentric laminar inclusions with periodicity of 5−7 nm |
| Immunohistochemical pattern | No immune deposits | No immune deposits |
Patient treatment focused on the control of proteinuria and hypertension with losartan and dapagliflozin. However, there is currently no curative treatment for LCAT deficiency, and therapeutic interventions are focused on managing the symptoms of the complications.14 The administration of recombinant LCAT has been investigated as a possible therapy to correct dyslipidemia in these patients, but recombinant LCAT is not yet widely available.14,24,25 In this case, the condition has been managed with conservative therapy, and long-term follow-up is needed to monitor the progression of renal failure and evaluate the need for renal replacement therapy.
This case highlights the importance of a multidisciplinary approach in the diagnosis and management of LCAT deficiency, a rare but clinically significant disease. In addition, it highlights the importance of the finding of zebra bodies on electron microscopy, which had not been previously described in this condition, emphasizing the need for a comprehensive evaluation to differentiate this pathology from that of others with similar histological characteristics such as Fabry disease.
During the preparation of this manuscript, the authors used ChatGPT to improve the writing. After the use of this artificial intelligence tool, we reviewed and edited the content and assume full responsibility for the content of the publication.
FundingThe article has been self-funded by the research team.
The authors declare that they have no conflicts of interest.







