Sr. Director:
La fiebre mediterránea familiar (FMF) es una enfermedad autoinflamatoria caracterizada por ataques recurrentes de fiebre y serositis, transmitido con una herencia autonómica recesiva 1. La identificación de mutaciones en el gen MEFV ha sido de gran ayuda para su diagnóstico precoz en la mayoría de los casos. Entre las posibles mutaciones la M694V es la más frecuente y la responsable de los casos más severos en los portadores heterozigoticos2. La complicación más importante a largo plazo es la insuficiencia renal crónica por la amiloidosis AA 3. Describimos el caso de una mujer en la que el síndrome nefrótico fue la forma de presentarse esta enfermedad. Asimismo llevamos a cabo un seguimiento clínico de la respuesta conseguida con la terapia combinada con colchicina e infliximab al cabo de un año de su utilización.
Caso clínico
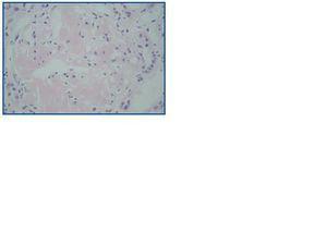
Mujer de 38 años, procedente de Armenia, sin antecedentes personales relevantes, y con antecedentes familiares de padre con nefropatía fallecido a los 50 años y tía materna también nefrópata. Fue estudiada en Nefrología por un síndrome nefrótico. En el interrogatorio refería además de los edemas en miembros inferiores y palpebrales, unos dolores lumbares inespecíficos. Durante el estudio del síndrome nefrótico la paciente precisó varios ingresos por descompensación hidrópica. Se efectúo una biopsia renal con los hallazgos “8 glomérulos por plano de corte. Todos ellos mostraban un depósito masivo y difuso de material amorfo, acelular y eosinófilo rojo congo positivo (fig1A). El estudio inmunohistoquimico demostró positividad del rojo congo para AA” (Fig1B), siendo el diagnóstico definitivo de Amiloidosis AA. Dados los antecedentes familiares de nefropatía, su lugar de procedencia y la amiloidosis secundaria se llevó a cabo un estudio genético, el cual mostró la presencia de mutaciones M680I y M694V en heterocigosis en el gen MEFV asociada a la FMF. Se inició tratamiento con colchicina a la dosis de 0.5 mg cada 8 horas/día día e infliximab a la dosis de 5 mg/kd i.v, de forma basal, a las 2 semanas y posteriormente cada 2 meses. Su evolución posterior tras la pauta de tratamiento establecida se refleja en la tabla.
Discusión
La FMF se manifiesta clínicamente por ataques de fiebre, peritonitis, pleuritis y/o poliartritis 1. Como consecuencia de estos episodios inflamatorios es frecuente que se desarrolle una amiloidosis renal, lo cual empeora el pronóstico 3. Gingold-Belfer y cols 4 describen en la literatura el caso de una mujer en la cual el síndrome nefrótico fue la primera manifestación de la FMF, detectando la presencia de una mutación M694V. De igual manera, en nuestra paciente el diagnóstico de FMF también se hizo a través del estudio de un síndrome nefrótico, ya que ésta no relataba los síntomas clásicos de la FMF para poder sospechar su presencia. En el caso que describimos llama la atención lo evolucionada que se encontraba ya la enfermedad al diagnóstico, presentándose con un síndrome nefrótico severo y encontrando depósito de amiloide AA en el riñón. Igualmente se detectaron la presencia de dos mutaciones, una de ellas (M694V) la más frecuente y la que además se presenta en los casos más severos 2, como era el nuestro.
Respecto al tratamiento, es la colchicina el fármaco más habitual empleado para tratarla 3. En aquellos casos de intolerancia (diarrea) ó ineficacia a ésta, se consideran otras opciones terapéuticas 5. El TNF alfa es una citocina proinflamatoria que puede jugar un papel en la FMF y en el desarrollo de la amiloidosis secundaria 6. Por ello, los fármacos antiTNF pueden ser de utilidad en la FMF 7. En algunas publicaciones se refleja este hecho de como los anti-TNFalfa, entre ellos el infliximab, reducen la frecuencia de brotes de FMF y por tanto una mejoría de la proteinuria 6,7. Considerando que nuestra paciente no toleraba los fármacos antiproteinúricos (IECA, ARAII), y dada la severidad de la proteinuria y el deterioro de la función renal así como por los hallazgos de la biopsia que demostraban la amilodosis, decidimos llevar a cabo una terapia combinada con colchicina e infliximab para valorar su evolución. Nuestros resultados con esta terapia combinada nos han permitido una mejoría subjetiva de la paciente (no ha tenido ninguna descompensación hidrópica a lo largo del año ni que ingresar por otro motivo) así como una mejoría de la función renal y una estabilización de la proteinuria, con incremento de la albúmina en plasma. Es posible que esta respuesta tan sólo parcial que hemos obtenido con la terapia combinada pueda deberse: por una parte, al hecho de que la enfermedad se presentó sin su clínica habitual y fue su principal complicación (la amiloidosis renal) la que nos permitió llegar a su diagnóstico, lo cual indicaría lo evolucionada que se encontraba la enfermedad al momento de diagnosticarse; por otra parte la paciente era portadora de la mutación M694V la cual se asocia a los casos más severos.
Respecto a la tolerancia y a la seguridad del infliximab nosotros no hemos detectado ningún efecto adverso a esta medicación, ni complicaciones infecciosas durante el tiempo en el que se ha administrado, siendo bien tolerado.
En conclusión, la presentación inusual de la FMF puede retrasar el diagnóstico y por tanto empeorar el pronóstico en estos pacientes. En aquellos casos en los que la amiloidosis sea la forma a través de la cual diagnosticamos la FMF, la terapia combinada con colchicina e infliximab puede ser de utilidad en conseguir al menos una estabilidad en la enfermedad.
Figura 1a.
Figura 1b.
Tabla 1.







