Sr. Director:
La cistitis enfisematosa es una rara complicación infecciosa, vista principalmente en diabéticos.
A continuación presentamos el primer enfermo con esta patología que hemos conocido en nuestra Unidad. Se trata de un varón de 69 años, diabético insulinorrequiriente con mal control metabólico, que ingresó por un cuadro agudo febril acompañado de náuseas, vómitos y neumaturia. El paciente tiene hipertensión arterial y cardiopatía coronaria revascularizada con stents, y es diabético desde hace 20 años. Presenta retinopatía, neuropatía y nefropatía diabéticas. Había estado en control por una uropatía obstructiva secundaria a adenoma de próstata.
En el examen físico se encontró vigil y consciente; presión arterial: 110/60; frecuencia cardíaca: 80 lpm; temperatura axilar: 38º C; yugulares abatidas. El resto del examen fue anodino.
En las pruebas de laboratorio se obtuvieron los siguientes resultados: hemoglobina: 12 g/dl; leucocitos: 6500; glicemia: 738 mg/dl; nitrógeno ureico en sangre: 68 mg/dl; creatininemia: 1,4 mg/dl; [Na+] = 127 mM; [K+] = 5,4 mM; [Cl-] = 88 mM; [HCO3-] = 27 mM.
El examen de orina mostró leucocituria, hematíes > 100 por campo, bacterias abundantes. En el urocultivo: Escherichia coli betalactamasa de espectro expandido (+).
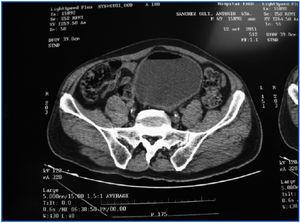
La pielo-TAC (tomografía axial computarizada específica) mostró aire en el lumen vesical hacia su cara ventral.
El enfermo inició hidratación, insulinoterapia y tratamiento con ertapenem. La evolución fue excelente, no sufrió choque séptico y el síndrome hiperosmolar fue de fácil control.
La cistitis enfisematosa fue descubierta por Eisenlohr1 a fines del siglo XIX, y Bailey2 caracterizó esta enfermedad. Puede presentarse desde una forma asintomática hasta sepsis severa, pasando por cuadros de neumaturia y abdomen agudo. En nuestro caso, el síntoma cardinal fue neumaturia y la presencia de aire en la vejiga, demostrada por TAC (figura 1).
En la serie de Thomas et al.3, la bacteria más frecuente fue E. coli, seguida por Klebsiella. El promedio de edad fue de 66 años, afectó más a mujeres (64%) y la mayoría eran diabéticos (67%). El paciente atendido en nuestra Unidad se acerca a esta edad promedio, y su diabetes tenía un pobre control metabólico. Se ha especulado con que el aire es producido por la fermentación de la glucosa en la orina4.
El tratamiento suele ser médico, como en nuestro caso, y la mortalidad se aproxima al 7%. En casos aislados se ha usado tratamiento combinado con cirugía o cámara hiperbárica.
Conflictos de interés
Los autores declaran que no tienen conflictos de interés potenciales relacionados con los contenidos de este artículo.
Figura 1. Pielo-TAC que muestra aire intravesical





