Sr. Director:
Nuestra paciente era una mujer boliviana diagnosticada de lupus eritematoso sistémico (LES) en el año 2003. En julio de 2008 desarrolló glomerulonefritis lúpica tipo IV y se inició tratamiento con metilprednisolona i.v. seguida de prednisona a dosis de 1 mg/kg/día y micofenolato mofetilo (MMF) p.o. Ingresó al mes por síntomas respiratorios. En el cultivo de esputo se aisló Nocardia spp., iniciándose tratamiento antibiótico y reduciendo la medicación inmunosupresora.
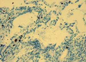
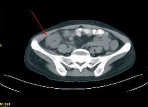
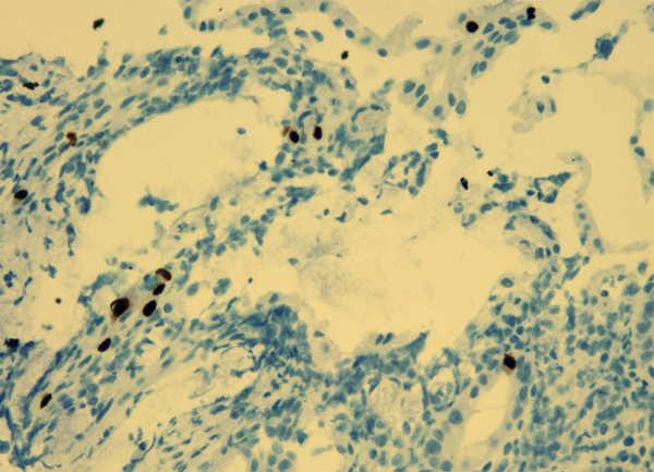
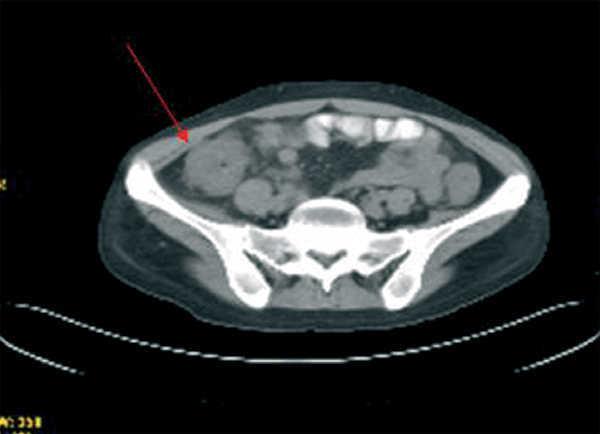
Durante el ingreso, la paciente desarrolló fiebre, dolor abdominal, vómitos y deposiciones diarreicas. Se realizaron coprocultivos, estudio de parásitos, determinación de toxina para Clostridium difficile y antigenemia para citomegalovirus (CMV) en dos ocasiones, que resultaron negativas. Se realizó TC abdominal (figura 1) en la que se observó engrosamiento de la pared del colon con oclusión de la luz desde el ciego hasta la unión recto-sigmoidea compatible con pancolitis difusa. Se solicitó fibrocolonoscopia (figura 2) en la que se objetivó una mucosa edematosa con múltiples lesiones nodulares blandas compatibles con neumatosis coli. En la biopsia de colon se detectaron inclusiones víricas que se confirmaron para CMV por inmunohistoquímica (figura 3). La tercera determinación de antigenemia para CMV fue positiva y el diagnóstico definitivo fue de colitis por CMV.
Iniciamos tratamiento con ganciclovir i.v. y se retiró el tratamiento con MMF, con mejoría clínica y negativización de la antigenemia por CMV.
El LES es una enfermedad inflamatoria crónica autoinmune de causa desconocida con una gran variedad de presentaciones clínicas.
Se caracteriza por una alteración en el sistema inmunológico que conlleva la síntesis de autoanticuerpos y la formación de inmunocomplejos que, junto con la acción de mediadores de la inflamación, provocan daño tisular.
La propia enfermedad lúpica y el uso de agentes inmunosupresores aumenta el riesgo de infecciones oportunistas causando mayor morbimortalidad. Principalmente los pacientes presentan infecciones bacterianas; no obstante, existe un incremento de infecciones virales, especialmente por CMV, pero también por parvovirus humano B19, virus del herpes simple, virus varicela zóster y virus de la hepatitis A1.
Las infecciones virales pueden presentarse con síntomas idénticos a los del LES, como malestar general, fiebre, artralgias, exantema cutáneo, linfadenopatías y citopenia, por lo que puede confundirse con un brote de LES2,3. Ello puede llevarnos a incrementar el tratamiento inmunosupresor, empeorando la infección latente.
En nuestro caso, la paciente desarrolló una enfermedad invasiva por CMV a pesar de haber disminuido el tratamiento inmunosupresor. La persistencia de la clínica abdominal sin encontrar una causa infecciosa, el hallazgo de lesiones inespecíficas en la colonoscopia y la disminución de la inmunosupresión, nos hicieron sospechar que se trataba de un brote de LES con afectación abdominal. Fue el estudio anatomopatológico el que nos permitió llegar al diagnóstico de colitis por CMV y, asimismo, administrar el tratamiento adecuado evitando una mayor inmunosupresión.
Creemos muy importante mantener un alto índice de sospecha de infecciones oportunistas tanto bacterianas como víricas que imiten brotes de enfermedad lúpica en pacientes inmunodeprimidos. Éstos se beneficiarán de un rápido diagnóstico y del tratamiento adecuado.
Figura 1. TC abdominal
Figura 2. Fibrocolonoscopia
Figura 3. Biopsia de colon







