Mujer de 51años con antecedentes de hipertensión arterial (HTA), poliquistosis hepatorrenal y trasplante renal de donante cadáver en 1998 estable (MDRD-4: 36 ml/min). Cirugías previas de cistocele, histerectomía y doble anexectomía. Tratamiento con tacrolimus, micofenolato y candesartan.
Presenta cuadro de dolor pélvico recurrente, 4-6 defecaciones diarias sin productos patológicos y disuria ocasional de un mes de evolución. En dos ocasiones se trata como infección del tracto urinario (ITU) debido a sedimento urinario patológico.
Finalmente, ingresa por sintomatología similar acompañada de fiebre de hasta 39 ºC y MEG. En la analítica muestra aumento de creatinina, leucocitosis con neutrofilia, anemización, acidosis metabólica, hematuria, leucocituria y piuria intensa.
Los estudios de heces, orina, toxina de Clostridium y antigenemia de citomegalovirus (CMV) fueron negativos.
El tratamiento con cloxacilina tras crecimiento de Staphylococcus aureus sensible a meticilina (SAMS) en hemocultivos mejoró el cuadro clínico.
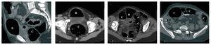
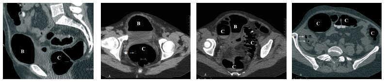
Colonoscopia limitada a 30 cm del margen anal por angulación del colon. Diverticulosis. La colonoscopia virtual realizada (reconstrucción TAC) ofrece el diagnóstico final de fístula colovesical.
Figura .




