Sr. Director:
La enfermedad ósea de Paget (EP) es un trastorno focal del remodelado óseo que puede afectar a uno o más huesos1. Es la segunda patología ósea más frecuente después de la osteoporosis y su diagnóstico en la mayoría de los casos se realiza mediante una bioquímica rutinaria, donde se aprecia elevación de la fosfatasa alcalina (FA), o en estudios de imagen realizados por otros motivos1-3.
Su incidencia en pacientes con enfermedad renal crónica (ERC) es desconocida. Pocos han sido los casos comunicados en la literatura4-8, y en algunos de ellos la presencia de EP se ve enmascarada por la presencia de hiperparatiroidismo secundario (HPS)4-6, lo que dificulta su diagnóstico. En este contexto presentamos el primer caso de un paciente en diálisis peritoneal (DP) en el que coexisten EP poliostótica con HPS.
Se trata de un varón de 72 años, con antecedentes de hipertensión arterial y artritis gotosa, diagnosticado de ERC de etiología desconocida en 1990 y remitido a nuestro centro en diciembre de 2007. En febrero de 2008 inicia DP continua ambulatoria. Antes de iniciar diálisis, el paciente presentaba cifras elevadas de paratohormona (PTH) y FA; se le diagnosticó HPS, motivo por el cual recibió tratamiento inicialmente con cinacalcet y calcitriol y, posteriormente, paricalcitol y cinacalcet, con un deficiente control de las cifras de PTH a pesar de altas dosis, acompañado de cifras de FA persistentemente elevadas.
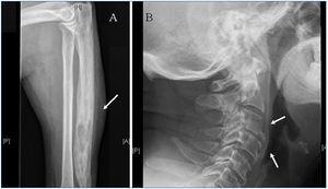
En mayo de 2011, se realiza tomografía computarizada para inclusión en lista de espera de trasplante renal y se objetiva una lesión esclerosa en el hueso ilíaco derecho. Posteriormente la gammagrafía ósea muestra un incremento en la captación del radiotrazador en columna cervical, primer dedo de mano derecha, cúbito izquierdo, articulación sacro-ilíaca derecha y, de menor intensidad, en maléolo externo del tobillo izquierdo, y en la serie ósea se confirma la presencia de lesiones esclerosas en columna cervical, cúbito izquierdo y articulación sacro-ilíaca derecha (figura 1).
Durante el seguimiento ha permanecido asintomático, sin dolores óseos, fracturas, ni otras complicaciones. Fue diagnosticado de EP con afectación poliostótica y, dada la ausencia de indicación actual de tratamiento, el paciente se encuentra en seguimiento periódico con vigilancia estrecha, recibiendo tratamiento para el HPS con cinacalcet y calcifediol.
DISCUSIÓN
La EP es un trastorno del remodelado óseo caracterizado por un incremento marcado de la resorción ósea, mediada por los osteoclastos, seguida de un incremento compensatorio de la formación de hueso. El tejido óseo generado presenta estructura y propiedades biomecánicas alteradas e induce complicaciones clínicas, como dolor y deformidad ósea, artrosis secundaria, fracturas, cefalea, estenosis del conducto raquídeo, síntomas de compresión neurológica y degeneración sarcomatosa1-3. Su prevalencia en la población general oscila entre el 1,5 y el 4,5% por encima de los 40 años y aumenta con la edad, con un ligero predominio del sexo masculino, con una distribución geográfica variable2. El seguimiento de la evolución con mediciones periódicas de FA refleja la extensión y el grado de actividad de la enfermedad1. El tratamiento principal son los bifosfonatos, drogas capaces de modular la actividad del osteoclasto2. Estudios aleatorizados sugieren que son capaces de reducir el dolor óseo y de disminuir los niveles de FA1. Existe evidencia científica que avala el tratamiento en pacientes con dolores óseos, complicaciones neurológicas, hipercalcemia por inmovilización prolongada, en pacientes que van a ser sometidos a cirugía ortopédica electiva y en aquéllos con enfermedad activa en localizaciones como la base del cráneo, la columna vertebral y los huesos largos2.
El tratamiento en pacientes asintomáticos es controvertido. El estudio PRISM9, un ensayo aleatorizado para comparar la eficacia de los bifosfonatos en un régimen intensivo, que busca normalizar la FA, frente al tratamiento sintomático en pacientes con dolores óseos, analizó una cohorte de 1324 pacientes y encontró que el tratamiento intensivo no confiere ventajas clínicas (incidencia de fracturas, cirugía ortopédica, calidad de vida, dolor óseo y umbrales auditivos) en comparación con el manejo sintomático. Por ello, son necesarios estudios adicionales para evaluar si los efectos de los bifosfonatos se traducen en beneficios clínicos para los pacientes, y por tanto no se recomienda el tratamiento en pacientes asintomáticos.
En pacientes con ERC avanzada, la prevalencia de EP es incierta; hasta la fecha existen cinco casos comunicados en la literatura (tabla 1), cuatro en hemodiálisis (HD)4-6,8 y uno en DP7. En tres de los casos en HD, el HPS fue capaz de enmascarar la EP, y la elevación persistente de la FA tras la paratiroidectomía llevaron a su diagnóstico5,6,8. Con respecto al tratamiento de estos pacientes, uno recibió calcitonina intravenosa y nasal7 y otros dos, bifosfonatos intravenosos5,8 (tabla 1). Las indicaciones de tratamiento fueron en dos casos los dolores óseos y en uno un cuadro de fiebre de bajo grado de larga evolución que se resolvió tras el inicio del tratamiento; ninguno de los pacientes presentó efectos adversos al tratamiento.
La seguridad del uso de bifosfonatos en pacientes con ERC en diálisis no está clara10. Existen casos anecdóticos de éxito en pacientes en diálisis, pero su número es muy limitado y la mayoría se han realizado con pacientes en HD. Los bifosfonatos, al ser captados por el hueso hasta en un 50-80%, son capaces de provocar una disminución del remodelado óseo, lo que conlleva una dificultad para la reparación de microfracturas y deterioro de la calidad ósea11. Incluso en pacientes con ERC, el depósito de los bifosfonatos a nivel óseo se cree que pueda ser proporcionalmente mayor y además está en relación con el grado de HPS, lo que conlleva el riesgo de inducir una enfermedad ósea adinámica en estos pacientes11,12.
En conclusión, en pacientes con ERC, el HPS puede enmascarar el diagnóstico de EP, por lo que se requiere un alto índice de sospecha, y en estos casos la elevación persistente de la FA de origen óseo que suele persistir elevada tras la paratiroidectomía puede sugerir el diagnóstico de EP, aunque en muchos casos son las imágenes radiológicas compatibles realizadas por otros motivos las que determinan el diagnóstico.
Conflictos de interés
Los autores declaran que no tienen conflictos de interés potenciales relacionados con los contenidos de este artículo.
Figura 1. Enfermedad de Paget en enfermedad renal crónica
Tabla 1. Casos de enfermedad de Paget en pacientes con enfermedad renal crónica en diálisis descritos en la literatura






