El 95% de las hernias diafragmáticas son posterolaterales (Bochdalek), siendo el resto anteriores (Morgagni) o centrales1. Las hernias de Morgagni constituyen el 3% de todas las hernias diafragmáticas2, presentándose fundamentalmente en el lado derecho.
La presentación clínica es muy variable. Los pacientes pediátricos suelen tener defectos diafragmáticos mayores y presentan en un 80% de los casos infecciones respiratorias de repetición3. En estos casos, se han encontrado asociaciones hasta en un 80% de los casos con patología cardíaca congénita4. En adultos, su aparición se podría deber a defectos congénitos menores que no hayan sido diagnosticados previamente o a defectos adquiridos, y se presentan de una manera más tórpida5.
En adultos se ha asociado a distintos factores como el embarazo, traumatismos, obesidad, estreñimiento crónico y tos persistente6. En algunos casos se ha asociado al uso de diálisis peritoneal (DP) debido a un aumento de la presión intraabdominal7. Aunque se pensaba que en adultos la mayoría de los casos eran asintomáticos, revisiones recientes refieren la presencia de algún síntoma, en muchos casos inespecíficos o de baja severidad. Destaca la presencia de disnea y tos (36%), malestar torácico y abdominal (37%), obstrucción intestinal (20%), disfagia (3%), reflujo gastroesofágico o incluso hemorragia digestiva (1%), estando asintomáticos solo un 28% de los casos descritos2.
Caso clínicoMujer de 59 años con antecedentes personales de enfermedad renal crónica avanzada secundaria a pielonefritis crónica con hipertensión arterial y dislipemia. Refería antecedentes de un embarazo de semanas de duración, que no llegó a término y presentaba como antecedentes quirúrgicos apendicectomía y herniorrafia inguinal. En enero de 2017 se inició DP incremental con un intercambio nocturno de 2 litros con glucosa al 1,5%, sin complicaciones inmediatas.
En febrero de 2018, la paciente comienza con aumento de su dispepsia habitual, sudoración nocturna, y ligeros edemas en miembros inferiores, sin alteraciones analíticas asociadas. En una radiografía de tórax rutinaria en octubre de 2018 (fig. 1), se objetiva aumento de densidad paracardíaca derecha que borra la silueta cardíaca, localizada en lóbulo medio, que no estaba presente en radiografías previas al inicio de la DP (fig. 1).
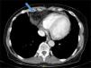
En vista de los resultados de la radiografía de tórax se decide solicitar TAC toracoabdominopélvica (fig. 2), que evidencia la presencia de una hernia de Morgagni con contenido graso omental y líquido a través del orificio herniario. Dicha herniación producía una atelectasia laminar a nivel del lóbulo medio, sin evidencia de adenopatías hiliomediastínicas ni axilares de tamaño/aspecto significativo. Con los resultados de la TAC se solicitó un peritoneograma, que descartó la presencia de fuga de líquido peritoneal o comunicación pleuroperitoneal. La paciente es valorada desde cirugía general realizándose el cierre quirúrgico del defecto herniario dada la sintomatología asociada, las potenciales complicaciones derivadas y la intención de mantener a largo plazo tratamiento renal sustitutivo con DP. Tras la cirugía pasa temporalmente a hemodiálisis. Al mes de la intervención, y ante la ausencia de complicaciones derivadas, la paciente reinicia tratamiento con DP con un intercambio nocturno. Progresivamente, la paciente ha ido perdiendo función renal residual, motivo por el cual ha sido necesario incrementar a 3 intercambios diarios, sin presentar complicaciones ni nuevas hernias.
DiscusiónSe presenta el caso de una paciente diagnosticada de hernia de Morgagni tras inicio de DP. En base a los datos descritos parece haber una relación temporal entre el inicio de la técnica y el desarrollo de la hernia.
En cuanto al enfoque terapéutico de esta entidad en DP, existen pocos casos descritos. En los pacientes con hernia de Morgagni no tratados con DP, la necesidad de cirugía depende del modo de presentación, y está indicada cuando hay presencia de intestino grueso en el saco herniario, o cuando los síntomas son recurrentes o incapacitantes5.
Sastre et al. describieron el caso de una paciente con una hernia de Morgagni desarrollada durante el tratamiento con DP, que presentó como síntomas estreñimiento, mareos y arritmia cardíaca; decidiendo transferir a la paciente a HD7.
En el presente caso, pese a que los síntomas fueron leves y que en la TAC realizada se evidenció la presencia de un saco herniario con contenido solo de grasa peritoneal, se optó por la corrección quirúrgica por la posibilidad de reintroducir DP según el deseo de la paciente.
Se trata del primer caso descrito en el que se ha optado por continuar con DP, pues en los casos previamente descritos, ya sea por deseo de los pacientes, por la ausencia de casuística al respecto, o por la precaución de los facultativos, se decidió abandonar de forma definitiva la técnica. El presente caso muestra que la DP puede ser una buena opción terapéutica en pacientes con hernias diafragmáticas; permitiendo priorizar la elección del paciente y las ventajas terapéuticas de esta modalidad de sustitución renal.






