Sr. Director:
El hidrotórax es una complicación de la diálisis peritoneal, asociada con el aumento de la presión intraabdominal1. En muy contadas ocasiones se ha descrito en relación con episodios de peritonitis2,3. Presentamos el caso de una paciente que, después de haber tenido otras complicaciones relacionadas con el aumento de la presión intraabdominal, desarrolla un hidrotórax en el transcurso de una peritonitis4.
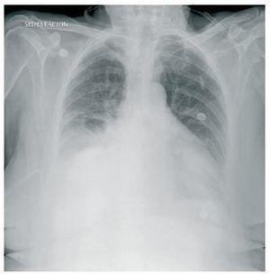
Se trata de una mujer de 76 años, con insuficiencia renal crónica estadio 5 por nefropatía intersticial, que realiza diálisis peritoneal continua ambulatoria desde hace 3 años. Su pauta habitual es tres recambios diarios de 2.000 ml. En este tiempo no ha tenido peritonitis y no ha sido sometida a ninguna intervención quirúrgica. En una revisión rutinaria se detecta una pequeña hernia umbilical, no incarcerada, y una hernia abdominal, de unos 6 cm de diámetro, en línea paramedial izquierda, que se confirma mediante ecografía y TC. La dinámica de la diálisis peritoneal no se ve afectada por estas alteraciones anatómicas, por lo que se decide, tras valoración quirúrgica, mantener una actitud conservadora, modificando la pauta de diálisis a cuatro recambios diarios de 1.500 ml. A los 6 meses acude al hospital por líquido turbio, febrícula y leve dolor abdominal, de 5 horas de evolución. En días previos había presentado un cuadro diarreico leve. El recuento celular del efluente peritoneal muestra 4.570 células/ml (98% PMN). Con el diagnóstico de peritonitis bacteriana en diálisis peritoneal se decide su ingreso hospitalario y se inicia antibioterapia intraperitoneal según protocolo de nuestro centro: vancomicina, ampicilina y tobramicina. Al día siguiente mantiene líquido turbio, con recuento celular de 9.850 célulasl/ml (94% PMN); el balance de DP muestra una ganancia de 1.200 ml y persiste un leve dolor abdominal. A las 36 horas del ingreso avisan por disnea súbita. La paciente presenta mal estado general, está pálida, sudorosa, taquipneica y con trabajo respiratorio. La saturación de oxígeno es del 90%. En la auscultación pulmonar se aprecia una disminución del murmullo vesicular en hemitórax derecho. En la radiografía de tórax se observa un derrame pleural derecho moderado (figura 1). Se realiza un recambio hipertónico de corta duración, sin mejoría. A la vista del cuadro de dificultad respiratoria paroxística y la imagen radiológica indicativa, se recurre a una toracocentesis evacuadora, que drena 2.000 ml. El líquido pleural presenta una concentración de glucosa de 269 mg/dl, muy superior a la plasmática (110 mg/dl), lo cual confirma el diagnóstico de hidrotórax. Tras el drenaje pleural, la clínica mejora significativamente. Se suspende la diálisis peritoneal y, al recibir el resultado del cultivo del líquido peritoneal, que es positivo para Bacteroides fragilis, se inicia antibioterapia intravenosa con meropenem y metronidazol. Mediante TC abdominal se descarta la existencia de perforación y resto de patología intraabdominal. Tras 2 semanas de tratamiento, es dada de alta y permanece actualmente en hemodiálisis periódica.
El hidrotórax consiste en el paso de líquido peritoneal al espacio pleural a través de un defecto estructural peritoneopleural, congénito o adquirido1-3,5-8. Su prevalencia es difícil de estimar, y varía desde el 1,6% y el 2,9%, hasta el 10% según las series3,5,6. Aparece con más frecuencia en mujeres y en el hemitórax derecho5, y suele manifestarse al inicio de la técnica, aunque no es infrecuente que aparezca meses, e incluso años después. Existen dos factores que se combinan en su etiopatogenia: por un lado, el aumento de la presión intraabdominal y, por otro, la existencia de soluciones de continuidad en el pleuroperitoneo, bien congénitas o bien adquiridas7,8. También los episodios de peritonitis pueden exacerbar defectos diafragmáticos congénitos, aunque sólo hemos encontrado 2 casos descritos, y tan antiguos como para confirmar la rareza de esta eventualidad2,3. La clínica es diversa, dependiendo de la cuantía del derrame pleural. En algunas series, hasta el 25% de los casos pasan desapercibidos 5. En otras ocasiones pueden existir disnea paroxística, dolor torácico y tos, junto con reducción de la ultrafiltración. En la exploración destacan abolición del murmullo vesicular, matidez a la percusión y ausencia de transmisión de las vibraciones vocales. El diagnóstico se realiza mediante radiografía de tórax y análisis del líquido pleural (con concentración de glucosa superior a la plasmática). Para demostrar la existencia de las comunicaciones pleuroperitoneales puede recurrirse al uso de colorantes (azul de metileno) y peritoneografía con contraste, aunque estos métodos pueden producir irritación peritoneal. La técnica más empleada actualmente es la gammagrafía peritoneal con tecnecio-994,7. Se han descrito varias opciones terapéuticas: hemodiálisis transitoria con retorno a diálisis peritoneal con volúmenes bajos o en cicladora, toracocentesis, pleurodesis con sustancias químicas o sangre autóloga, y reparación quirúrgica directa o mediante toracoscopia3,5-8. A pesar de todo, los resultados del tratamiento no son muy alentadores, y en una elevada proporción de casos se decide la transferencia definitiva a hemodiálisis3,5-7.
En nuestra paciente, de edad avanzada, el aumento de presión intraabdominal debido a la diálisis peritoneal origina, en primer lugar, una hernia. Cuando ese aumento de presión se añade a la debilidad estructural del peritoneo parietal diafragmático provocado por una peritonitis, se genera una comunicación pleuroperitoneal, que da lugar al hidrotórax. Tras estas complicaciones, y contrariando los deseos de la paciente, se optó por la hemodiálisis como técnica de depuración extrarrenal más adecuada.
Figura 1. Hidrotórax.





