Sr. Director:
Presentamos un caso de una paciente que presentó hiperamilasemia, rectorragia y muerte inesperada secundaria a una probable broncoaspiración de lantano.
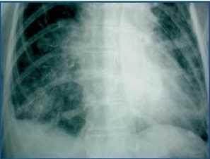
Se trata de una paciente mujer de 54 años con antecedentes de hipertensión e insuficiencia renal crónica no filiada en programa de diálisis peritoneal desde hacía 8 meses, que fue ingresada en nuestro servicio por diarrea con hipotensión y un episodio de rectorragia. El examen físico abdominal fue irrelevante. Los hallazgos analíticos mostraron hiperamilasemia cerca de 900 U/l (42-220 U/l) con leucocitosis de 22,1 X 109 l. Los demás parámetros de laboratorio estaban en rango de la normalidad. Se analizó el líquido peritoneal descartando peritonitis. La radiografía simple abdomen (figura 1) mostró opacificaciones difusas en colon que correspondían a los comprimidos de carbonato de lantano introducidos 2 meses antes del ingreso como tratamiento de la hiperfosfatemia (0,75 g oral 3/día). Se practicaron dos colonoscopias sin éxito que informaban de pobre preparación y un stop en la progresión del colonoscopio. En una tomografía computarizada abdominal se detectó la presencia de un fecaloma impactado en el área rectosigmoidal. No se evidenciaron masas patológicas pancreáticas ni en el resto del abdomen. El fecaloma pudo ser extraído y el mismo día la paciente presentó disnea brusca y empeoramiento del estado general con hipotensión y desaturación de oxígeno. En la radiografía simple de tórax (figura 2) se observaron líneas radioopacas siguiendo los alvéolos pulmonares. Se reinterrogó a la familia confirmando la administración de los comprimidos de Lantano suspendidos en el ingreso. La paciente fue hemodializada sin mejoría del cuadro pulmonar y falleció.
El lantano es un metal indicado como captor del fósforo libre de aluminio y libre de calcio que puede ser visualizado en el intestino1-4. Entre sus efectos adversos más frecuentes se observan náuseas, diarreas, hipotensión, dolor abdominal y estreñimiento,5 pero no ha sido descrito ningún cuadro de pancreatitis en la literatura. Nuestra paciente probablemente broncoaspiró el lantano causando su muerte. Los pacientes tratados con lantano deberían ser seguidos cuidadosamente debido a la clínica gastrointestinal y a sus problemas derivados.
Figura 1.
Figura 2.






