Sr. Director:
El aumento de la enfermedad ósea adinámica en los pacientes en hemodiálisis (HD) puede dificultar el diagnóstico de otras enfermedades que cursan con hipercalcemia larvada. Presentamos un caso alusivo.
Hombre de 73 años con insuficiencia renal terminal (IRT) secundaria a nefropatía diabética que inició HD en junio de 2008. Fumador de 10 cigarrillos/día. No consumía alcohol. Presentaba hipertensión arterial (HTA) de larga evolución; diabetes mellitus tipo 2 de 45 años de evolución en tratamiento con insulina; retinopatía diabética; dislipemia; cardiopatía isquémica crónica tipo infarto agudo de miocardio (IAM); isquemia crónica de miembros inferiores en estadio III b-IV que precisó bypass femoropoplíteo en diciembre de 2009; estenosis de carótida izquierda del 80%; calcificaciones vasculares generalizadas; broncopatía crónica; síndrome de apnea obstructiva del sueño; enfermedad cerebral isquémica de pequeño (infartos lacunares en tálamo y hemiprotuberancia) y gran vaso (accidente cerebrovascular agudo [ACVA] hemisférico izquierdo previo); trombosis de la arteria central de la retina del ojo izquierdo, y poliartrosis y grave afección degenerativa en la columna lumbar.
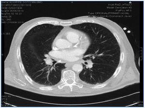
Tres años antes de iniciar la HD, y con tratamiento que incluía tiazidas y calcitriol oral, ingresó en otro hospital por hipercalcemia grave (hasta 13,5 mg/dl), con síntomas neurológicos y digestivos. En el estudio subsiguiente se demostraron adenopatías hiliares de tamaño no patológico y opacidades parenquimatosas pulmonares reticulares aisladas; hepatosplenomegalia homogénea; enzima de conversión de la angiotensina (ECA) en el límite elevado de la normalidad (tres determinaciones comprendidas entre 30 y 60 U/l, en condiciones normales, CN, 8-55). El resto del estudio fue negativo, por lo que el paciente fue diagnosticado de intoxicación exógena por vitamina D y tiazidas, y fue tratado mediante la administración de pamidronato parenteral, con una excelente evolución clínica. No constan niveles de 1-25 (OH)2 vitamina D3. Desde entonces ha permanecido asintomático, con hormona paratiroidea intacta (PTHi) suprimida y con tendencia espontánea a hipercalcemia límite, por lo que fue diagnosticado de enfermedad ósea adinámica (EOA). Durante el mes de julio de 2009 sufre un cuadro progresivo de astenia, anorexia, sudoración nocturna, desorientación, irritabilidad, alteración mnésica, apatía, apraxia y dificultad motora para la marcha. Se objetivan atrofia córtico-subcortical, leucoaraiosis y dilatación del sistema ventricular; tras realizar una punción lumbar con resultados bioquímicos y microbiológicos negativos se descartan hidrocefalia normotensiva, enfermedad infecciosa y degenerativa del sistema nervioso central (SNC). El cuadro se justifica por encefalopatía de pequeño vaso y con tratamiento conservador evoluciona hacia la cronicidad de forma lenta. No se administraban calcio oral, vitamina D ni derivados, y era dializado mediante un baño de calcio de 2,5 mEq/l. En mayo de 2010 presenta, sin variación clínica, hipercalcemia franca con valores máximos de 12,2 mg/dl y PTHi de 6 pg/ml (figura 1). Se realiza estudio complementario con los siguientes resultados: perfil tiroideo normal, Mantoux negativo (Booster negativo), radiografía de tórax indicativa de enfermedad pulmonar obstructiva crónica (EPOC); péptido asociado a la hormona paratiroidea (PTHrp) normal; fosfatasa alcalina normal; niveles de 25 (OH) vitamina D inferiores a 10 pg/ml; proteinograma e inmunoelectroforesis de proteínas plamáticas normales; inmunología negativa; gammagrafía ósea y serie ósea con osteopenia y calcificaciones vasculares, sin imágenes de osteólisis, marcadores tumorales normales y ECA de 157 U/l. En la tomografía computarizada (TC) de cuerpo entero se observaron múltiples adenopatías mediastínicas e hiliares bilaterales (figura 2). Los campos pulmonares presentaban un aumento de densidad «en vidrio deslustrado» de morfología nodular en el lóbulo medio; adenopatías en el tronco celíaco, perigástricas, periportales y en los espacios interaortocava y paraaórticos izquierdos; espirometría con alteración ventilatoria mixta de predominio restrictivo.
En la broncoscopia se detectan bronquitis y condritis. Se realiza lavado broncoalveolar y punción-aspiración mediastínica con citología negativa para malignidad, ausencia de granulomas y celularidad linfoide. Cultivo de micobacterias negativo. Subpoblaciones linfocitarias en el líquido de lavado dentro de la normalidad, con índice CD4/CD8: 2,22.
Con diagnóstico de sarcoidosis pulmonar, se inicia tratamiento con prednisona oral a dosis de 10 mg/día durante tres meses con pauta descendente progresiva hasta llegar a 5 mg/48 horas como dosis de mantenimiento, que se mantiene durante 18 meses. La evolución tanto clínica como de laboratorio (ECA de 36 U/l en septiembre de 2010) resulta satisfactoria; el paciente mejora su clínica cognitiva y aumentan las cifras de PTHi con normalización de la hipercalcemia. En la actualidad se mantiene en programa de HD.
Múltiples causas justifican la hipercalcemia en un paciente en HD (uso de quelantes cálcicos, dializado del baño con calcio elevado, empleo de vitamina D y derivados, hipertiroidismo (HPT) secundario mal controlado, EOA u osteomalacia). Una causa poco frecuente es la sarcoidosis, enfermedad granulomatosa de causa desconocida, en la que se produce una síntesis extrarrenal de calcitriol por macrófagos activados1. La clínica habitual consiste en síntomas constitucionales (pérdida de peso, fiebre), artralgias, astenia y síntomas pulmonares (opacidades reticulares y adenopatía bihiliar pulmonar). Suele responder a corticoterapia que se debe prolongar al menos durante un año. Sólo en un 30% de casos se producen síntomas extratorácicos. Los casos referidos en pacientes en HD son escasos en la literatura2-5 y suelen diagnosticarse a raíz de una hipercalcemia con clínica sistémica y pulmonar. Nuestro paciente presentó un aumento de la ECA (75%), clínica neurológica (5%), hepatosplenomegalia (20-25%) e hipercalcemia (10-20%). Con anterioridad se habían objetivado opacidades reticulares pulmonares, sin aumento de la ECA ni clínica en otras localizaciones que sugirieran el diagnóstico. Además, el paciente, diabético, presentaba calcificaciones generalizadas y con múltiples factores de riesgo para justificar una encefalopatía vascular; la neumopatía crónica había sido considerada como EOA. Su evolución clínica fue larvada y progresiva, sin elevación manifiesta de la ECA ni hipercalcemia franca hasta tres años después de la primera crisis. Lo inespecífico del cuadro constitucional y la suma de causas que explicaban la clínica pueden explicar la dificultad del diagnóstico. Tras el tratamiento, la PTHi se ha mantenido estable entre 180 y 270 pg/m, lo que supone una sorprendente evolución. Queremos llamar la atención sobre el hecho de que no siempre las hipercalcemias límites se deben a una EOA, por lo que creemos indicado contemplar otras posibilidades en circunstancias en las que el diagnóstico o la evolución resulten confusos.
Figura 1. Evolución del calcio, fósforo y hormona paratiroidea intacta (PTHi).
Figura 2. Tomografía computarizada de tórax. Adenopatías hiliares.






