Sr. Director:
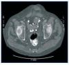
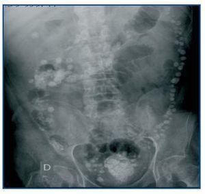
El carbonato de lantano es un quelante del fósforo, libre de calcio y aluminio, de reciente comercialización en España. Se trata de un metal pesado con nula absorción intestinal que no presenta toxicidad. En la ficha técnica del producto en nuestro país, no se cita el fenómeno de aparición de imágenes radiológicas. No ocurre así en la versión americana, donde se advierte que «pueden aparecer imágenes radioopacas en la radiografía abdominal en pacientes consumidores de lantano»1. Las reacciones adversas notificadas con mayor frecuencia fueron gastrointestinales, pero en los ensayos clínicos no se incluyeron pacientes con obstrucción intestinal ni enfermedad inflamatoria intestinal2. Presentamos el caso de un hombre de 58 años, con diverticulosis pancolónica y frecuentes episodios de diverticulitis, con ERC secundaria a nefropatía diabética e inicio de programa de hemodiálisis periódica en abril de 2001. Ingresa en julio de 2008 por fiebre y dolor abdominal. Se realiza una TAC abdominal urgente que descarta signos de diverticulitis, pero es informado por el radiólogo como «restos de contraste en todo el colon e íleon terminal» (figura 1), imagen confirmada en una radiografía simple de abdomen (figura 2). Nuestro paciente no había recibido contraste radiológico en ningún momento, pero estaba siendo tratado con 3.000 mg diarios de carbonato de lantano desde febrero de este año por hiperfosforemia grave, con excelentes resultados analíticos y buena tolerancia clínica hasta el momento. El diagnóstico final fue de sepsis por Enterococo avium, de probable origen intestinal. Dado que no se encontraron otros hallazgos en las pruebas de imagen que justificaran el dolor abdominal, se suspendió el tratamiento con lantano, permaneciendo posteriormente asintomático.
De cara a estudiar el hallazgo, se realizó una radiografía simple de abdomen a otra paciente que estaba recibiendo la misma dosis del metal, y que no había manifestado clínica digestiva. También se observó el depósito en todo el marco cólico, pero con un patrón radiológico diferente (figura 3).
Las referencias en la literatura que describen este fenómeno son escasas y con variadas explicaciones. La primera imagen radiológica atribuida al consumo de lantano que hemos encontrado fue mostrada por Cerny y Kunzendorf3 en 2006. En este caso, se suspende el fármaco porque, a la vista de la radiografía, consideran que el dolor abdominal que refiere el paciente podría estar relacionado con el lantano. Posteriormente, se han notificado otros casos4. David et al.5 interpretan la radiología como depósito intestinal de piedras de fosfato cálcico que prueban la eficacia como quelante del lantano, e incluso sugieren que la imagen observada se puede utilizar como test de cumplimiento terapéutico. Esta teoría es desmentida por Pafcugova et al.6, que demuestran la radioopacidad de los comprimidos por sí mismos en un vial, en ausencia de calcio o fósforo. No obstante, dada la corta experiencia con el uso de este fármaco, especialmente en nuestro país, aún no parece estar claro su patrón radiológico de distribución abdominal, ni si se observa en todos los pacientes que reciben esta medicación. Vrigneaud et al.7 estudian a 13 enfermos tratados con lantano; en seis de ellos, la radiología simple de abdomen es completamente normal, mientras que en el resto sí se observa el depósito radioopaco. Sin embargo, diferencian las imágenes habituales de opacidades subcentimétricas regularmente repartidas por todo el marco cólico de 2 casos en los que eran de mayor tamaño y de distribución irregular a lo largo del tracto digestivo: se trataba de un paciente que no masticaba correctamente los comprimidos, y de otro individuo con diverticulosis colónica en el que el patrón sugiere depósito del material en los divertículos, como en el caso que nos ocupa.
Como conclusiones, destacamos que, aunque por el momento todavía existen pocos datos sobre el comportamiento radiológico del depósito intestinal del carbonato de lantano, su radioopacidad es de obligado conocimiento. Además, es probable que en pacientes con patología intestinal debamos utilizar el fármaco con cautela. Por otra parte, tampoco se conoce su tiempo de eliminación, de vital importancia a la hora de realizar otros estudios de imagen para evitar interferencias. Por último, creemos que sería conveniente la inclusión de todo ello en la ficha técnica del fármaco en nuestro país.
Figura 1. TAC abdominal sin contraste que muestra depósito de carbonato de lantano en los divertículos del colon sigmoides y en recto.
Figura 2. Radiografía simple de abdomen sin contraste que muestra múltiples opacidades centriméticas de distribución irregular en la periferia del marco cólico, que reflejan depósito de lantano en los divertículos.
Figura 3. Radiografía simple de abdomen sin contraste que muestra material radioopaco en todo el marco cólico de distribución difusa. Pertenece a otra paciente consumidora de la misma dosis de lantano, pero sin clínica abdominal.







