Sr. Director:
Cryptosporidium parvum es un protozoo intracelular que puede producir gastroenteritis en humanos. En huéspedes inmunodeprimidos, la infección puede ser severa y conducir a diarrea persistente y comprometer la vida. La experiencia en el tratamiento de esta infección en los receptores de trasplantes de órgano sólido es limitada. Describimos, en el caso de un receptor de trasplante renal con severa cryptosporidiosis, la importancia del diagnóstico y tratamiento precoz. El tratamiento antibiótico, junto con la reducción en la inmunosupresión, permite optimizar el estado inmunológico y conducir a la resolución de la infección.
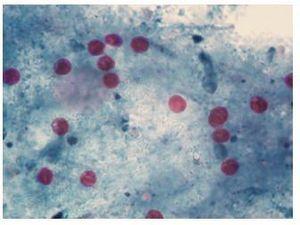
Presentamos el caso de una mujer de 78 años con enfermedad renal crónica, secundaria a nefropatía intersticial crónica en hemodiálisis desde febrero de 2003. Recibió un trasplante renal de donante cadáver en diciembre de 2003 con Crp basal de 2 mg/dl. En tratamiento con esteroides, micofenolato mofetil y tacrolimus. Los esteroides se suspendieron a los 31 meses postrasplante. En junio de 2008 ingresa por diarrea acuosa sin productos patológicos de 7 días de evolución, sin fiebre, vómitos o dolor abdominal. Se acompañaba de inestabilidad hemodinámica con tensión arterial de 80/50 mmHg, disminución del ritmo de diuresis y deterioro de la función renal hasta cifras de Cr y urea plasmáticas de 4,3 y 177 mg/dl, respectivamente. Al persistir la diarrea a pesar de dieta absoluta y sueroterapia, se inicia tratamiento con metronidazol y ciprofloxacino. La detección de antígeno de adenovirus y rotavirus en heces, y el cultivo y la citotoxicidad en muestra directa de heces para Clostridium difficile fueron negativos. En el examen en fresco de heces no se observaron parásitos. La antigenemia y la PCR cuantitativa para citomegalovirus (CMV) fueron negativas. Finalmente y ante la mala evolución se realizó tinción de Kinyoun modificada (figura 1), observándose ooquistes de Cryptosporidium en heces, por lo que se inició tratamiento con paramomicina y azitromicina hasta completar 14 días. Posteriormente se administró nitazoxanida durante 6 días y se redujeron las dosis de tacrolimus y micofenolato mofetil. Tras estas medidas, desapareció la diarrea y la función renal se recuperó hasta sus cifras basales, permaneciendo asintomática 17 meses después.
La diarrea aguda es una complicación importante en los receptores de trasplante de órgano sólido (TOS). El diagnóstico diferencial de diarrea aguda en esta población es difícil, ya que pueden estar implicados tanto microorganismos como la medicación inmunosupresora, sobre todo el micofenolato mofetil1.
Nuestra paciente mantenía una función renal estable tras 5 años de evolución del injerto con doble terapia inmunosupresora. Los niveles de los fármacos se habían mantenido estables, por lo que se descartó que la diarrea fuera secundaria a los inmunosupresores. La sospecha diagnóstica se dirigió hacia los microorganismos, descartándose rápidamente los habituales, incluido Clostridium difficile2 y la enfermedad por CMV.
Cryptosporidium parvum es un protozoo intracelular que ocasiona enfermedad gastrointestinal en todo el mundo, ya que es un parásito intestinal de animales domésticos y salvajes. La infección es más prevalente en países en vías de desarrollo. El parásito se transmite inicialmente por vía fecal-oral y en casos de epidemias se ha visto relacionado con la contaminación del agua municipal, transmisión de persona a persona e incluso de animal a persona3.
Las manifestaciones clínicas de la criptosporidiosis dependen del estado inmunológico del huésped. En sujetos inmunocompetentes produce diarrea autolimitada, pero en pacientes inmunodeprimidos la infección puede ser prolongada y poner en peligro la vida, ya que no hay un antiparasitario específico4,5. Además de la afectación intestinal, en pacientes inmunodeprimidos se han descrito casos con afectación del aparato respiratorio, la vesícula biliar y colangitis esclerosante6.
El diagnóstico microbiológico depende de la observación del parásito al microscopio en las heces usando la tinción de Ziehl-Neelsen modificada o la de Kinyoun modificada que revelan la presencia de ooquistes rojos de 4-6 micras. Se deben examinar varias muestras de heces recogidas en días subsecuentes porque la eliminación de ooquistes es intermitente7.
La piedra angular del tratamiento en pacientes inmunodeprimidos es la corrección de los trastornos hidroelectrolíticos y del equilibrio ácido-base4. Esta infección puede tratarse con nitazoxanida, paramomicina o azitromicina. Sin embargo, la respuesta clínica es variable y puede ser difícil erradicar el protozoo intestinal. Parece que en el TOS la reducción de la inmunosupresión, junto con el tratamiento antimicrobiano, pueden mejorar el estado inmunológico y lograr la resolución de la infección8.
Este caso es interesante por la importancia que tiene sospechar esta infección en cualquier paciente inmunodeprimido que desarrolla diarrea en ausencia de otra posible etiología.
Figura 1. Tinción de Kinyoun modificada





