Sr. Director:
La insuficiencia renal aguda asociada a precipitación de cristales intratubulares es una causa frecuente de lesión renal que puede presentarse en el contexto de una amplia variedad de situaciones clínicas, siendo las más habituales las asociadas a nefropatía por ácido úrico y al tratamiento con aciclovir por vía intravenosa, sulfonamidas, metrotrexato e indinavir. La mayoría de los pacientes afectados por este tipo enfermedad renal tienen una variedad de factores de riesgo predisponentes entre los que destacan la depleción de volumen intravascular efectivo y la presencia previa de insuficiencia renal crónica1.
La ingestión de etilenglicol y, de manera excepcional, la administración de ácido ascórbico a dosis altas, pueden ocasionar hiperoxalemia e insuficiencia renal aguda por depósito de cristales de oxalato2. Sin embargo, la hiperoxaluria de origen entérico es otra causa potencial litiasis renal y nefritis intersticial en pacientes con intestino corto o cualquier otra causa de malabsorción de grasas en pacientes no colectomizados3,4.
Presentamos el caso de un paciente de 59 años que en septiembre de 2009 fue intervenido por un colangiocarcinoma hiliar Bismuth tipo IIIB. Tras la intervención presentó múltiples complicaciones: una necrosis isquémica de los segmentos anteriores del lóbulo hepático derecho, una fístula biliar, así como abscesos en el lecho quirúrgico, por lo que finalmente el paciente fue dado de alta portando un drenaje en la zona del lecho quirúrgico.
En enero de 2010 ingresó por insuficiencia renal aguda con creatinina plasmática de 9,6 mg/dl en un contexto de vómitos y aumento del débito por el drenaje. El sodio en orina era de 34 meq/l. En las exploraciones complementarias también destacaba la presencia de una proteinuria de 0,6 g/24 h y un sedimento de orina con 10 hematíes por campo sin leucocituria. En orina se observó una beta-2-microglobulina de 548,72 µg/g y NAG de 9 U/l. Ante la persistencia del deterioro de la función renal a pesar de reposición de la volemia se decidió realizar una biopsia renal para filiar origen de insuficiencia renal aguda.
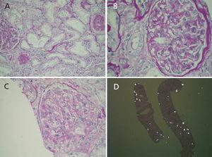
La biopsia renal mostró grados variables de retracción con engrosamiento fibroso de la cápsula en algunos glomérulos. En el intersticio se observó fibrosis difusa con focos de atrofia tubular que afectaba aproximadamente al 25% del parénquima. Se detectaron varios focos de infiltrado inflamatorio de predominio linfoplasmocitario, con presencia de ocasionales eosinófilos. Algunos túbulos mostraban cilindros necróticos en la luz. Muchos túbulos tenían la luz ocupada por cristales birrefringentes compatibles con oxalato (figura 1).
El oxalato en orina que era de 47,70 mg/24 h (normal hasta 40 mg/24 h con función renal normal). Tras hidratación, corrección de acidosis, tratamiento con carbonato calcico y una dieta baja en oxalato el paciente presentó una evolución correcta, con disminución progresiva de las cifras de creatinina hasta 2 mg/dl antes del alta.
En condiciones normales, la carga diaria de oxalato endógeno y exógeno es excretada por completo por los riñones; cuando se altera la función renal se inicia un depósito renal y extrarrenal de oxalato que se conoce como oxalosis sistémica. Cuando existe una carga elevada de oxalato se produce hiperoxaluria, aumentando el riesgo de nefrolitiasis y nefrocalcinosis; además, en el contexto de algún factor precipitante como deshidratación y/o acidosis metabólica, se puede desencadenar una insuficiencia renal aguda.
Se define como hiperoxaluria la presencia de valores urinarios de oxalato en orina superiores a 40 mg/día. La hiperoxaluria se observa frecuentemente en pacientes con malabsorción intestinal de grasas debido al aumento de absorción de oxalato en el intestino, a diferencia de las hiperoxalurias primarias por déficits enzimáticos que se asocian a sobreproducción de oxalato en el hígado5.
El paciente en cuestión presentó una hiperoxaluria entérica en relación con la malabsorción de grasas; el mecanismo principal implicado es la quelación del calcio en el intestino por parte de los ácidos grasos, que disminuye el oxalato cálcico en el tubo digestivo y aumenta el ácido oxálico ionizado que se absorbe en el intestino. Estos pacientes se pueden beneficiar de un tratamiento conservador basado en la reducción de oxalato y grasas en la dieta, la administración de carbonato cálcico como quelante del oxalato y aumentar la solubilidad urinaria del oxalato cálcico mediante la elevada ingestión de líquidos y la administración de bases, como podría ser el citrato sódico. De la misma manera, está por confirmar si la recolonización con Oxalobacter formigens también reduce la excreción urinaria de oxalato6.
En conclusión, la nefropatía aguda por depósito de oxalato de calcio asociada con hiperoxaluria de origen entérico es una causa infrecuente de insuficiencia renal aguda en el riñón nativo y trasplantado5,7,8. Los pacientes con malabsorción de grasas son una población de riesgo que debe ser identificada y tratada de forma precoz para evitar la pérdida de función renal. Ante la aparición de insuficiencia renal aguda parenquimatosa en un paciente con malabsorción de grasas se debe medir la excreción de oxalato en orina, corregir el deterioro del equilibrio ácido-base e hidratar de forma precoz.
Figura 1. Biopsia renal.





