Sr. Director:
La diabetes mellitus (DM) es una causa frecuente de insuficiencia renal (IR), pero no todos los pacientes diabéticos que presentan fracaso renal tienen como única etiología dicha patología.
Presentamos el caso de un hombre de 62 años con antecedentes de hipertensión arterial (HTA), ulcus duodenal, infarto agudo de miocardio (IAM) y DM tipo 2 diagnosticada en 2007.
En febrero de 2008 es ingresado en medicina interna, por pielonefritis con IR aguda (MDRD 21 ml/min), interpretándose en el contexto de la propia infección, agravada por el consumo de antiinflamatorios no esteroideos (AINE) y persistiendo al ser dado de alta. En septiembre de 2008 es remitido a la consulta de nefrología presentando IR grado 4 (MDRD 13,83 ml/min), proteinuria de 5 g/24 h y microhematuria persistente (urocultivos negativos y citología negativa para malignidad). En el resto de la analítica destaca: ANA, ANCA, anti-MBG negativos. Inmunoglobulinas, cadenas ligeras, complemento y proteinograma normales. Serologías VHC, VHB, VIH negativas. Ecografía abdominal: riñones de tamaño normal con cortical moderadamente ecogénica y sin evidencia de dilatación de la vía excretora. Fondo de ojo normal.
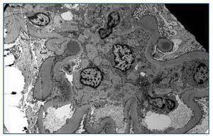
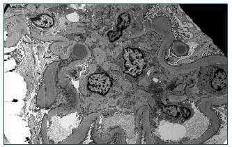
Dada la rápida progresión de la IR, sin haber podido aclarar la etiología, se indica la realización de una biopsia renal en la que se objetivan 21 glomérulos, seis esclerosados y los restantes con expansión mesangial glomerular, apreciándose en uno de ellos una semiluna. Engrosamiento de la membrana basal tubular e infiltrado inflamatorio intersticial moderado, con predominio de células plasmáticas, polimorfonucleares neutrófilos y linfocitos. El estudio de inmunofluorescencia es negativo. Con microscopia electrónica se demuestra engrosamiento difuso de la membrana basal glomerular, con la presencia de depósitos electrón-densos subepiteliales que configuran los típicos humps (figura 1).
Con estos hallazgos se llega al diagnóstico de glomerulonefritis de origen postinfecciosa (GNPI) complicando una nefropatía diabética (ND).
Reinterrogando al paciente refiere una clínica compatible con un proceso infeccioso de vías respiratorias altas, recurrente, y de meses de evolución. Se toman muestras para cultivo (frotis faringeo, nasal, urocultivo) con resultado negativo. A pesar de ello, y por los resultados anatomopatológicos, se decide realizar tratamiento empírico con amoxicilina-ácido clavulánico, sin beneficio alguno en cuanto a la evolución de la función renal.
Dada la situación avanzada de la IR y la falta de respuesta al tratamiento, se decide inicio de diálisis.
Este caso clínico remarca el hecho de que en la práctica clínica hay una extendida inercia a diagnosticar la patología renal que se desarrolla en un paciente diabético como ND; en un alto porcentaje de diabéticos tipo 2, que en diversas series alcanza el 45%, existe otra enfermedad sobreañadida1.
Las etiologías descritas son muy variadas, siendo la GN membranosa la más frecuente, y excepcionalmente el hallazgo conjunto de GNPI y lesiones de ND. En relación con lo anterior, en las Guías Americanas de Diabetes y Enfermedad Renal Crónica de 2007 se destaca la necesidad de realizar un estudio histológico en aquellas situaciones con presentación clínica atípica2, en nuestro caso, deterioro rápido de la función renal, microhematuria e incremento brusco de la proteinuria.
La GNPI es una entidad cuya incidencia ha disminuido en las últimas tres décadas3. Como se refleja en el registro de Glomerulonefritis de la S.E.N., es una entidad raramente biopsiada. Sin embargo, en una revisión reciente sobre 1.012 biopsias, se encontraron hallazgos compatibles con GNPI en el 10,5%. En un 40% de éstas existían también datos de ND4. Más recientemente, en una serie de 86 biopsias de pacientes adultos con GNPI, el 29% tenían datos de ND. La evolución fue peor en aquellos casos con glomeruloesclerosis diabética sobreañadida. La diabetes y la edad fueron los principales factores de riesgo para presentar GNPI y el grado de IR el principal factor pronóstico5.
Este caso nos recuerda que no tenemos siempre diagnosticada la causa de la IR por el hecho de tratarse de pacientes diabéticos y que la GNPI no ha desaparecido en la clínica, sino que, simplemente, está infradiagnosticada.
Figura 1. M.E: GN Postinfecciosa. Presencia de depósitos electrón-densos subepiteliales (humps).





