To the Editor,
Iodide Mumps, so-called in medical literature, is a rare, scarcely described adverse effect, consisting of an inflammation of the parotid, submandibular and/or sublingual glands, secondary to exposure to iodine contrasts.1
CASE REPORT
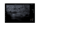
We present a 65-year-old male with a history of long-term arterial hypertension, surgical intervention of thoracic aortic aneurysm and abdominal aortic aneurysm being monitored for vascular surgery, benign prostatic hyperplasia (BPH), right parotid swelling, stage 5 chronic kidney disease (CKD) due to likely nephroangiosclerosis in kidney replacement therapy, on peritoneal dialysis since May 2012. He was admitted to our department due to intense abdominal pain, finding an inguinal hernia on the left side. An abdominal CT with contrast was performed which showed the hernia to be incarcerated, with decrease in pain following manual reduction. 48 hours after the radiology test the patient presented painless swelling of the right parotid and right submandibular gland (Figure 1).An ecography of the salivary glands was carried out which showed generalised swelling in all glands (Figures 2 and 3).The symptoms were self-limited, with full recovery after 6 days.
PATHOPHYSIOLOGY
Iodide mumps are characterised by a rapid and painless growth of the salivary glands following iodine contrast administration. It can present itself several minutes after exposure and up to 5 days later. Its incidence is unknown, with few reported cases: 40 until 2012.2 It was described for the first time in 1956 by Sussman and Miller.3 It is believed to be caused by iodine contrast, as an idiosyncratic reaction or due to its toxic accumulation which causes inflammation, oedema of mucous membranes and duct obstruction due to the concentration through the sodium iodide symporter of salivary gland tissue. 98% of iodine is excreted by the kidney and the remaining 2% by the salivary, sweat and lacrimal glands. As a result, CKD could be a risk factor for its development.4 It can recur with successive exposures to iodine contrast.
DIAGNOSIS AND TREATMENT
Clinical symptoms serve as a guideline and the ecography showed diffuse glandular swelling, dilated hyperechoic ducts and increase in central vascuralisation. A differential diagnosis is made using entities that may put the patient’s life at risk (angioedema, haemorrhage).4 Treatment is conservative, supported with analgesic on demand. Corticosteroids and antihistamines have not proven effective.
CONCLUSIONS
Iodide mumps is a rare adverse effect of iodine contrast use, although its true incidence is unknown, due to under-recording, with unpublished incidental cases in our nephrology department.5 We consider that this condition deserves more attention and a suitable register for recurrence, since there are no prophylactic measures and its long term significance is uncertain.
Conflicts of interest
The authors declare that they have no conflicts of interest related to the contents of this article.
Figure 1. Swelling of the right parotid and right submandibular gland.
Figure 2. Ecography of normal parotid gland.
Figure 3. Swelling of right parotid.







