Sr. Director:
La primera descripción de mielinólisis data de 1959. Desde entonces, poco más se ha avanzado en su etiología última, aunque sí se reconocen los factores de riesgo o los procesos en los que surge. La forma más mencionada ocurre en relación con la corrección rápida de la hiponatremia1. También se describe en el alcoholismo, en el trasplante hepático y, rara vez, tras sesiones de hemodiálisis no siempre en relación con los cambios de natremia2-4. En este último caso es con mucho más frecuente el conocido síndrome de desequilibrio. No obstante, hay circunstancias en que pueden imbricarse ambos procesos, especialmente en la infancia3. El cuadro clínico se caracteriza por disminución inexplicable del nivel de conciencia, imposibilidad para dirigir la mirada verticalmente, déficit motor de las cuatro extremidades, síndrome seudobulbar, etc. En un contexto clínico adecuado, supone una gran ayuda diagnóstica la imagen radiológica de RM en la que se observan varios hallazgos indicativos, sobre todo en la protuberancia5,6. El diagnóstico de certeza es anatomopatológico. La evolución puede ser fatal, incluso respetando la sensibilidad y el nivel de conciencia (síndrome de cautiverio) y el tratamiento es puramente conservador.
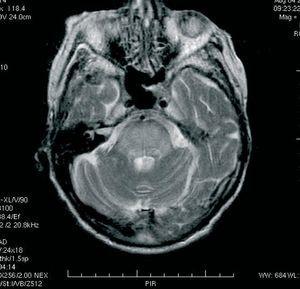
Mujer de 82 años en hemodiálisis desde hace 6 meses por insuficiencia renal crónica (IRC) secundaria a amiloidosis, que ingresa en situación de insuficiencia cardíaca. Se le realiza diálisis de urgencia con ultrafiltración de 2.500 y en el curso de 24 horas, una nueva ultrafiltración de 2.000 ante la escasa mejoría clínica y radiológica inicial. La paciente, que inicialmente presentaba un estado neurológico estable, inicia un extraño cuadro clínico al finalizar la segunda sesión aguda de diálisis, consistente en bajo y oscilante nivel de conciencia, ausencia de lenguaje, mirada inmóvil hacia adelante, con pérdida de fuerza en el miembro superior derecho y en los miembros inferiores. La evaluación especializada indica un proceso de desequilibrio en diálisis. Los niveles de Na prehemodiálisis y posthemodiálisis no presentaron alteraciones significativas (136 a 132 mEq/l) ni tampoco los cambios en el resto de parámetros (urea, etc.) se manifestaron fuera de lo esperable. Se realizó una TC craneal en la que se detectó un infarto lacunar talámico antiguo y una atrofia corticosubcortical. En la RM se objetivó una imhiperintensidad de toda la protuberancia y de la unión ponto-mesoencefálica sin restricción de difusión y, por tanto, no relacionable con isquemia, por lo que se indicó el diagnóstico de mielinólisis centroprotuberancial. Supratentorialmente, presentaba una importante hiperintensidad de sustancia blanca periventricular y algún infarto lacunar antiguo (figura 1).
La evolución clínica fue satisfactoria tras considerarse la realización de una hemodiálisis repetida, diaria, de corta duración, con un tiempo de resolución de 6 días. Obviamente, a la edad de la paciente y con su patología de base, se hace difícil aventurar con seguridad un diagnóstico, aunque no podemos dejar de relacionar este proceso agudo neurológico como inusual (después de un año en diálisis, sin cambios aparentes importantes de osmolaridad, etc.), pero sí que parece que pueda relacionarse con la agresividad de las sesiones de diálisis en una paciente senil, quizá sometida a una excesiva ultrafiltración. El tiempo de recuperación del proceso, así como la imagen de RM, obliga a considerar más un proceso de mielinolisis.
Figura 1. Resonancia magnética craneal.





