Introducción
La microhematuria es un hallazgo común en numerosos procesos glomerulares primarios, especialmente en la nefropatía mesangial IgA, así como en los secundarios a enfermedades sistémicas o bien a trastornos hereditarios. La presencia de hematíes dismórficos, cilindros hemáticos y el hallazgo de proteinuria nos suelen orientar hacia una hematuria de origen glomerular. Sin embargo, las hematurias denominadas no glomerulares son las más numerosas y las etiologías son muy variadas. Presentamos un caso de microhematuria persistente con episodios de hematuria macroscópica en una paciente joven con compresión de la vena renal izquierda entre la pinza formada por la arteria mesentérica y la aorta. Consideramos que el diagnóstico puede ser muy difícil si no se llega a pensar en esta entidad. El diagnóstico etiológico de la microhematuria requiere seguir un esquema secuencial y bien estructurado.
Caso Clínico
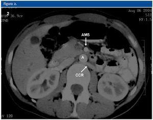
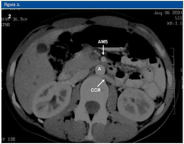
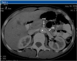
Mujer de 29 años de edad remitida desde Atención Primaria para estudio de microhematuria. Presentaba antecedentes de asma bronquial en tratamiento con inhaladores. A la exploración física se evidenciaba presión arterial normal y hábito asténico (Peso: 47 Kg; Talla: 162 cm; IMC: 17,9 Kg/m2). La enferma refería clínica de larga evolución consistente en astenia y dolor recidivante en flanco izquierdo que se intensificaba durante el ejercicio físico. A lo largo de su seguimiento presentó dos episodios de hematuria macroscópica de 4 y 10 días de evolución sin relación con cuadros infecciosos. En las pruebas complementarias iniciales presentaba función renal normal con proteinuria de 0,3 g/d y sedimento con microhematuria mantenida (15-20 hematíes por campo) aunque sin hematíes dismórficos. Las eliminaciones urinarias de calcio, fósforo, ácido úrico, oxálico y magnesio fueron normales. La citología urinaria para células malignas fue negativa. En el estudio inmunológico no se apreció ningún dato anormal (Tabla 1). La ecografía abdominal y la urografía intravenosa no revelaron ninguna alteración de interés. Ante la normalidad de estas pruebas radiológicas se realizó ecografía Doppler color renal y tomografía computarizada (TC) (figs 1,2 y 3).
Descripción radiológica
La ecografía Doppler, al igual que la TC realizada, demostró la compresión de la vena renal izquierda entre la arteria mesentérica superior (AMS) y la aorta abdominal (A). En la ecografía Doppler se demostraba un efecto de pinza sobre la vena renal principal izquierda (VRI) que se traducía en una asimetría de flujo venoso entre ambos riñones, siendo de amplitud y pulsatibilidad disminuída en el lado izquierdo. Se observaba también circulación colateral retroaórtica (CCR) con inversión de flujo en la vena ovárica izquierda. En la TC se evidenciaba circulación colateral retroaórtica (vena renal retroaórtica accesoria).
Diagnóstico
Síndrome de ¿cascanueces¿ (Nutcracker Syndrome) o Síndrome de profihipertensión de la vena renal izquierda por compresión por la arteria mesentérica superior.
Discusión
El síndrome de cascanueces se caracteriza por la compresión de la vena renal izquierda en la pinza que forman la arteria mesentérica superior y la aorta. Esto origina el desarrollo progresivo de hipertensión venosa renal que se trasmite de forma retrógrada hacia el parénquima renal pudiendo producir sintomatología en forma de: hematuria macroscópica y/o microhematuria, síndrome de vena gonadal, varicocele, dolor inexplicable en flanco izquierdo o proteinuria aislada.
Aunque lo más frecuente es el atrapamiento de la vena renal en el espacio aorto-mesentérico, también se ha descrito este fenómeno en el espacio retroaórtico por anomalía de trayecto de la vena renal izquierda que queda atrapada entre la aorta y la columna lumbar. La consecuencia en todos los casos es la hipertensión venosa retrógrada y la formación de circulación colateral compensadora ante la imposibilidad de un drenaje adecuado en la vena cava. Así la hematuria unilateral y de origen urológico (ausencia de hematíes dismórficos) que caracteriza a este síndrome se debe a la hemorragia directa en la vía urinaria que se produce por la rotura de las venas peripélvicas y paraureterales dilatadas. Esta manifestación clínica, tanto en forma de microhematuria como hematuria macroscópica, es la más habitual pero se han descrito una gran variedad de manifestaciones asociadas a este síndrome: proteinuria (en ocasiones ortostática), hipertensión arterial y otros síntomas más inespecíficos como fatiga, astenia, debilidad y dolor lumbar y abdominal inexplicable. En ocasiones la hematuria es anemizante y se precisa trasfusión sanguínea1-4
La evaluación etiológica de una microhematuria puede ser compleja y siempre requiere un estudio amplio para descartar causas glomerulares y urológicas que lo justifiquen. En nuestro caso, la sospecha inicial fue una enfermedad de la membrana basal adelgazada o una glomerulonefritis mesangial IgA. Sin embargo, la ausencia de hematíes dismórficos en el sedimento, la presencia de dolor lumbar izquierdo sin etiología que lo justificase, el desarrollo de dos episodios de hematuria macroscópica sin relación con procesos infecciosos, la escasa proteinuria, un estudio inmunológico sin alteraciones y unas eliminaciones urinarias normales, nos hicieron considerar que podría tratarse de una hematuria de origen vascular.
Mendizábal y cols. describen una serie de 9 niños, de los cuales 8 desarrollaron hematuria macroscópica recidivante coincidiendo con ejercicio físico intenso. Únicamente un paciente presentó microhematuria persistente durante 1 año y en dos casos fue necesario trasfusión5. Shintaku y cols. revisan una muestra de 15 pacientes con proteinuria ortostática (incluso en rango nefrótico) en los que se demostró atrapamiento de la vena renal izquierda6. En general, consideramos que el síndrome de cascanueces es una causa infradiagnosticada de hematuria y se debería incluir en el diagnóstico diferencial de pacientes jóvenes y delgados en los que se descubra hematuria y proteinuria. Así el desarrollo de nuevos métodos diagnósticos no invasivos (CT helicoidal, Doppler renal, AngioRMN¿) permiten una aproximación diagnóstica sencilla y con mínimos riesgos. En el caso expuesto, la ecografía Doppler permitió establecer el diagnóstico y poner de manifiesto las alteraciones vasculares venosas secundarias a la persistencia de la hipertensión venosa7-9.
El síndrome de cascanueces es una patología en general benigna y si la sintomatología no es muy importante se puede adoptar un tratamiento conservador. Con medidas de higiene postural, como evitar ejercicios físicos intensos, en muchos pacientes se puede controlar la sintomatología. Aunque el tratamiento no deja de ser controvertido se acepta que la terapia intervencionista se debe reservar para aquellos pacientes con hematuria severa y dolor persistente e intenso. Se han ensayado diferentes terapeúticas como colocación de stent, autotrasplante, by-pass venoso renal, excisión de varicosidades, transposición de vena renal¿ con resultados diversos10,11.
En nuestro caso se decidió tratamiento conservador e iniciar antiagregación a bajas dosis (100 mg de ácido acetilsalicílico) con la intención de evitar la trombosis de la vena renal y sus colaterales por enlentecimiento del flujo. La evolución clínica en los dos últimos años de seguimiento ha sido excelente, con desaparición del dolor lumbar, la astenia y sin nuevos episodios de hematuria macroscópica, persistiendo microhematuria intermitente. A pesar de que en la literatura no existen referencias sobre el uso de terapia antiagregante, consideramos que puede ser un tratamiento profiláctico eficaz para evitar complicaciones vasculares venosas. Por otro lado, un porcentaje considerable de los enfermos tiene una resolución espontánea del cuadro. Una explicación plausible podría ser que los cambios antropométricos que se desarrollan a lo largo de la vida, generalmente con ganancia de peso y modificación del ángulo que forman la aorta y la arteria mesentérica superior, pueden actuar como factores hemodinámicos correctores de la hematuria asociada a este síndrome12.
En conclusión, consideramos que el síndrome de cascanueces puede ser más frecuente de lo que se sospecha inicialmente y que su diagnóstico precoz puede ser importante para prevenir complicaciones como la trombosis de la vena renal izquierda. Su sospecha clínica justifica la realización de exploraciones radiológicas confirmatorias. La actitud terapeútica, conservadora o invasiva, va a estar condicionada por la magnitud de la hematuria, la intensidad de las manifestaciones clínicas y la presencia de circulación colateral venosa importante.
Figura 1.
Figura 2.
Tabla 1. Determinaciones bioquímicas básicas en un paciente con microhematuria
Figura 3.







