Sr. Director:
Los inhibidores de mTOR son inmunosupresores que bloquean la señal de proliferación y cuentan con un menor potencial nefrotóxico, pero se han descrito una serie de reacciones adversas, sobre todo con sirolimus, entre las que destaca la neumonitis.
Presentamos el caso de un hombre de 70 años de edad, hipertenso y dislipémico, que recibe su primer trasplante renal de cadáver en marzo de 2009, por enfermedad renal crónica secundaria a pielonefritis crónica. El tratamiento inmunosupresor consistió en basiliximab, micofenolato, everolimus y esteroides, presentando buena evolución, con creatinina en el momento del alta de 1,7 mg/dl.
Ingresa a los 3 meses del trasplante por fiebre de 10 días de evolución, con tos y disnea. En la exploración física destacaba mal estado general con escalofríos, taquicardia, crepitantes bilaterales y saturación de oxígeno del 93% (gasometría arterial: pH 7,50, pCO2 26,8, pO2 60, HCO3 20,9 mmol/l). También presentaba exantema eritematoso no pruriginoso en la espalda y en el tórax anterior, con lesiones de herpes labial.
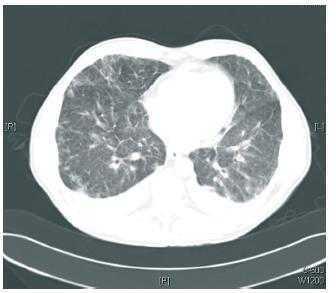
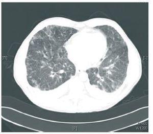
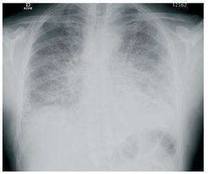
Los hallazgos de laboratorio mostraban 3.980 leucocitos/μl (eosinófilos 29,3%), hemoglobina 12,1 g/dl, plaquetas 276.000, creatinina 1,79 mg/dl, sodio plasmático 138 mEq/l, potasio plasmático 3,9 mE/l, y niveles plasmáticos de everolimus de 14 ng/ml. En la radiografía de tórax se observó un patrón intersticial bilateral, y en la TAC torácica, infiltrados y nódulos pulmonares con engrosamiento del intersticio bilateral (figura 1 y figura 2). La antigenemia y cultivo de citomegalovirus (CMV) fueron negativos, así como el antígeno de neumococo y Legionella. Se realizó broncoscopia con signos de broncopatía crónica, con resultados de BAL y BAS negativos. Se inició tratamiento empírico de amplio espectro antibiótico y antiviral, sin mejoria clínica y con empeoramiento radiológico, por lo que, con sospecha de neumonitis por everolimus, se decidió la retirada de este fármaco y la introducción de tacrolimus. El día posterior a la retirada de everolimus el paciente presenta mejorías clínica y radiológica progresivas con resolución del cuadro.
En resumen, el conocimiento del cuadro de neumonitis, que puede aparecer con todos los inhibidores de mTOR, puede llevar a la rápida retirada del fármaco, evitando acciones innecesarias tanto diagnósticas como terapéuticas en nuestros pacientes sometidos a trasplantes renales.
Figura 1. Radiografía de tórax
Figura 2. TAC torácica






