Sr. Director:
El riñón «en herradura» (RH) es una de las malformaciones congénitas más frecuentes del sistema genitourinario1. Frecuentemente se asocia con otras anomalías renales o extrarrenales, entre las que se encuentran tumores2 y varios tipos de enfermedades glomerulares3. Describimos a un paciente con RH, adenocarcinoma renal (ACR) y síndrome nefrótico con sustrato morfológico de glomerulosclerosis focal y segmentaria (GSF) y discutimos la posible relación entre estas entidades.
Varón de 38 años remitido por síndrome nefrótico. Entre sus antecedentes personales: fumador, linfoma de Hodgkin y cardiopatía isquémica. En una ecografía rutinaria abdominal se encontró RH.
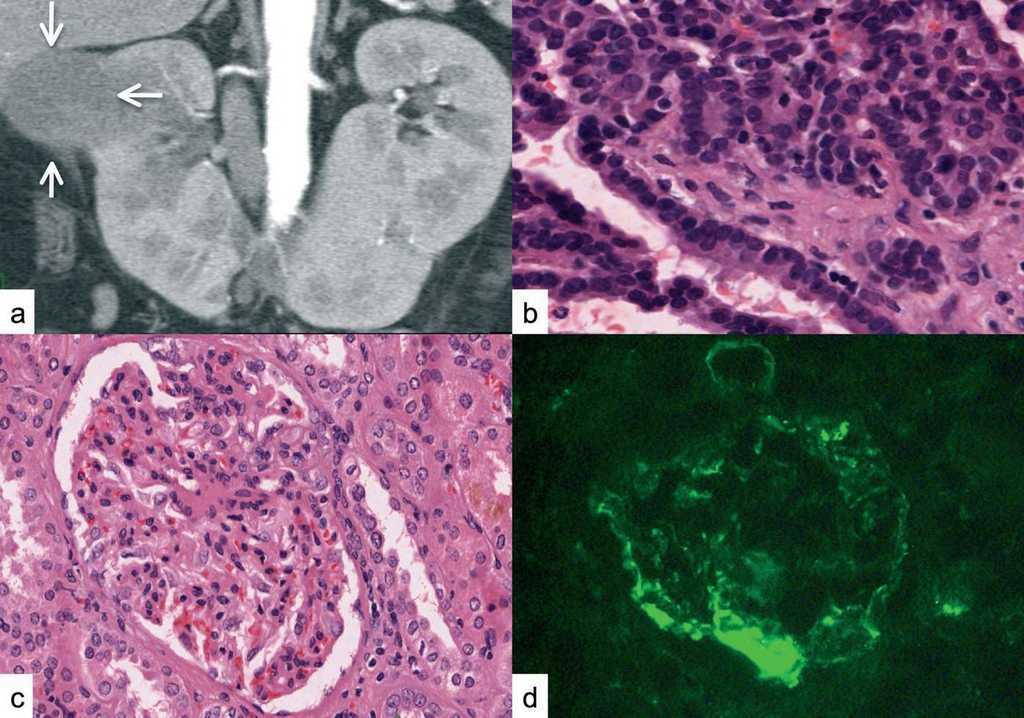
Una semana antes del ingreso (octubre de 2007), inicia un cuadro de edemas. En la analítica presentaba: proteinuria 18 g/24 h, albúmina sérica 2,1 g/dl e hiperlipemia, asociadas con microhematuria y creatinina sérica de 1,6 mg/dl. En la exploración: tensión arterial de 103/60 mmHg, índice de masa corporal (IMC) de 21 kg/m2 y edemas generalizados. Hemograma y estudio de coagulación normales. ANA, anti-ADN, ANCAS, anticuerpos anti-MBG, crioglobulinas, anticoagulante lúpico, anticuerpos anticardiolipina y anticuerpos antivirus de las hepatitis B y C y del virus de la inmunodeficiencia humana (VIH), negativos. La ecografía y la TC confirman la presencia de RH, con un tumor en el polo superior del riñón derecho (figura 1a). La ccistografía es normal. Se realiza una nefrectomía con exéresis del istmo inferior. En el postoperatorio, se producen sangrado local y fracaso renal agudo parcialmente recuperado (creatinina 3 mg/dl).
La pieza de nefrectomía mide 14 x 6 cm con un tumor de 4 x 4,5 cm. En el estudio microscópico, se confirma adenocarcinoma renal con patrón de células cromófobas y eosinófilas (figura 1b). La vena renal no se encontraba infiltrada.
El estudio con microscopio óptico de una cuña adyacente puso de manifiesto unos glomérulos aumentados de tamaño, algunos hialinizados. En los restantes, había aumento de matriz mesangial y colapso capilar con varias células espumosas, importante fibrosis intersticial e infiltración de células inflamatorias. En la inmunofluorescencia, se detectaron depósitos mesangiales y parietales de IgM y C3 con distribución segmentaria y focal (figura 1c y figura 1d).
En las revisiones posteriores el paciente mantiene el síndrome nefrótico que es tratado con simvastastina, dicumarol, losartán y prednisona. En los meses posteriores presenta hemorragia digestiva alta y peritonitis espontánea que mejoran con tratamiento médico y suspensión de esteroides. Mantiene síndrome nefrótico clínico y bioquímico con deterioro progresivo de función renal, anemia nefrogéncia e hipotiroidismo, pendiente de iniciar diálisis.
El RH se puede asociar con varios tumores renales. Se han comunicado más de 200 casos entre los que destaca el ACR2,4. Sin embargo, se han descrito otro tipo de tumores como el carcinoma de células transicionales, tumor de Wilms, nefroblastoma, carcinoide, sarcoma y oncocitoma. La estasis urinaria, las infecciones y la embriogénesis anormal podrían estar implicadas en su patogenia.
También se ha descrito la asociación entre RH y varias enfermedades glomerulares (tabla 1)3,5-11. En ciertos casos esta asociación es una coincidencia5,6, pero en otros casos se cree que el RH predispone a las enfermedades glomerulares porque facilita el depósito de inmunocomplejos7-9. En nuestro caso, demostramos la presencia de FSG corticorresistente, con glomerulomegalia, no asociada con obesidad o reflujo vesicoureteral. Aunque se ha aceptado que las formas secundarias de FSG por hiperfiltración no desarrollan síndrome nefrótico completo pese a tener proteinurias masivas12, nuestro caso escaparía a esta regla.
Finalmente, varios tumores renales o extrarrenales pueden estar asociados con varios tipos de glomerulopatías: de cambios mínimos, nefropatía IgA, membranosa, proliferativa extracapilar y amiloidosis10,13-15. La mayoría de los autores que han descrito la asociación entre ACR y FSG llegan a la conclusión de que el mecanismo más determinante es la hiperfiltración glomerular por disminución de masa renal funcionante, como creemos que ocurre en nuestro paciente.
En resumen, el RH se puede asociar con ACR y síndrome nefrótico con FSG secundaria a hiperfiltración que evoluciona hacia la insuficiencia renal crónica.
Tabla 1. Riñón en herradura y enfermedades glomerulares
Figura 1. a) TAC abdominal: riñón en herradura con masa en polo superior de riñón derecho (flechas), b) adenocarcinoma renal con células tumorales con patrón papilar, c) glomérulos grandes con engrosamiento de la pared capilar, d) depósitos mesangiales y parietales






