Sr. Director:
El síndrome de Churg Strauss (SCS) es una vasculitis necrotizante de mediano y pequeño vaso que afecta al tracto respiratorio con asma y eosinofilia1. La afectación renal es excepcional, ocurriendo en forma de glomerulonefritis necrotizante pauciinmune2. El pronóstico sin tratamiento es sombrío, pero con inmunosupresores la supervivencia alcanza el 80 %. En los últimos años se ha extendido el empleo de rituximab en las vasculitis ANCA positivas refractarias al tratamiento convencional, con resultados esperanzadores3.
OBSERVACIÓN CLÍNICA
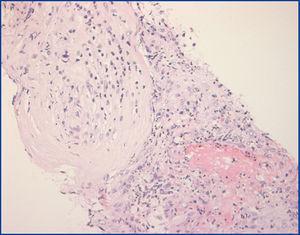
Varón de 70 años con antecedentes de asma bronquial que ingresa por infiltrados pulmonares, eosinofilia y p-ANCA 1/160 MPO. Se diagnostica de SCS y se inicia prednisona 1 mg/kg/día. A los 20 días presenta deterioro de la función renal, microhematuria sin proteinuria, hipertensión arterial y elevación de p-ANCA 1/1320. Se realiza biopsia renal percutánea, observándose glomérulos sin alteraciones significativas y una arteria de mediano calibre con necrosis fibrinoide e infiltración de neutrófilos transparietal, intenso infiltrado inflamatorio linfoplasmocitario intersticial con abundantes eosinófilos (figura 1). Con inmunofluorescencia directa (IFD) se detectan depósitos vasculares de IgG, IgM, C3, C4 y C1q.
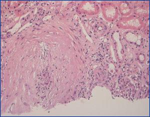
Ante los datos de vasculitis activa, se inicia tratamiento con tres bolos intravenosos de 1 g de 6-metil-prednisolona seguidos de prednisona oral 1 mg/kg/día y ciclofosfamida oral 2 mg/kg/día iniciando hemodiálisis. A los 15 días se realiza una segunda biopsia renal que muestra nuevas lesiones vasculíticas (figura 2). Se asocia plasmaféresis, realizándose cuatro sesiones por alteraciones en la coagulación. La ciclofosfamida se suspende por trombopenia y leucopenia. Tras el fallo de los procedimientos terapéuticos anteriores, se decide tratamiento con rituximab una dosis semanal intravenosa de 375 mg/m2 durante cuatro semanas y pauta descendente de esteroides. En los tres meses siguientes presenta mejoría de función renal, negativización de p-ANCA y descenso de eosinófilos, retirándose la diálisis. Por la afectación pulmonar se mantiene prednisona 5 mg/día, y no se administran más dosis de rituximab (figura 3). A los cinco años podemos hablar de remisión de la enfermedad. No ha presentado complicaciones infecciosas.
DISCUSIÓN
El SCS es una rara enfermedad incluida en el grupo de las vasculitis ANCA positivas que se caracteriza por eosinofilia periférica, asma, infiltrados pulmonares migratorios, mono-polineuropatía y vasculitis necrotizante de vasos de pequeño y mediano calibre4. La afectación renal es rara y constituye un factor de mal pronóstico, por lo que la inmunosupresión debe ser valorada cuidadosamente5. Antes del empleo de esteroides y ciclofosfamida la mortalidad era del 50 %, siendo la principal causa las infecciones6. En las vasculitis se ha observado la participación de linfocitos B en la respuesta inmune multiplicando la expresión de las células presentadoras de antígeno y produciendo citocinas7. El rituximab es un anticuerpo monoclonal quimérico murino que se une específicamente al antígeno de membrana CD 20 que expresan los linfocitos B y su empleo produce su depleción mantenida. Desde hace unos años se emplea en enfermedades con alteración de linfocitos B no linfomas, parece seguro a largo plazo en las vasculitis ANCA positivas8-10 como tratamiento de las recaídas asociado o no a otros inmunosupresores y se ha mostrado tan eficaz como la ciclofosfamida y con muchos menos efectos secundarios11,12. El tiempo de depleción de linfocitos B no está bien establecido y las dosis empleadas son de 375 mg/m2/semana intravenosos cuatro semanas, aunque algunos autores recomiendan otras dos dosis mensuales. La prednisona se inicia en dosis de 1 mg/kg/día (máximo 80 mg diarios) durante un mes con descenso progresivo en los siguientes seis meses13.
CONCLUSIONES
Mostramos este caso por la excelente respuesta y ausencia de efectos adversos del rituximab en un caso refractario de SCS con afectación renal. Cada vez son más las publicaciones que indican el rituximab en casos refractarios de vasculitis asociadas a ANCA, pero serán necesarios más estudios en busca de fármacos de perfiles más seguros y con menos riesgos para el paciente.
Conflictos de interés
Los autores declaran que no tienen conflictos de interés potenciales relacionados con los contenidos de este artículo.
Figura 1. Primera biopsia renal (H-E).
Figura 2. Segunda biopsia renal (H-E).
Figura 3. Tratamiento y evolución.







