We still do not fully understand the mechanisms behind renal involvement in SARS-CoV-2 infection, whether direct injury from the virus or resulting from depletion and/or release of cytokines as a severe complication of the respiratory condition.1,2 After vaccination was rolled out, the world population began to see a ray of hope. However, this has been obscured by reports of adverse events creating a potential barrier to large-scale vaccination efforts. We present the case of a patient with acute tubulointerstitial nephritis (ATIN) on top of diabetic nephropathy, in which no related agent was identified, except for the Pfizer-BioNTech Comirnaty© COVID-19 mRNA vaccine (BNT162b2).
This was a 78-year-old male with hypertension, hyperuricaemia, dyslipidaemia, diabetes mellitus with good metabolic control and chronic kidney disease (CKD) stage 3a-b/A3. In November 2018, he had a serum creatinine (Cr) level of 1.7 mg/dl, estimated glomerular filtration rate by CKD-EPI of 39 ml/min/1.73 m2 and albumin/creatinine ratio (ACR) of 1400 mg/g, with no repeat or subsequent nephrology follow-up. He had no history of COVID-19 infection. He was on long-term treatment with statins, ACE inhibitors, allopurinol, vildagliptin and metformin. He went to Emergency Room after a lab tests that revealed Cr of 5.38 mg/dl, urea of 156 mg/dl, anaemia with eosinophilia, and ACR of 3397 mg/g, with no nephrotic syndrome. He had urine sediment with microhaematuria and leukocyturia without eosinophils in the urine (Table 1). The patient reported mild hyporexia and asthenia since receiving the first dose of the COVID-19-BNT162b2 vaccine three weeks prior, but no fever or skin rash; 48 h before admission, he received the second dose of the vaccine but reported no additional symptoms. He showed mild signs of dehydration on physical examination. No abnormalities on chest X-ray and PCR for SARS-CoV-2 was negative. The ultrasound showed small kidneys (left 9.4 cm and right 10 cm) with slightly hyperechoic parenchyma; no signs of dilation of the collecting duct system. Renal biopsy (Fig. 1) showed a total of 40 glomeruli, 21 were globally sclerosed (52%), the rest presented lesions of nodular glomerulosclerosis. The interstitium showed foci of severe mononuclear inflammatory infiltrate with abundant eosinophils, with tubular damage, fibrosis and tubular atrophy. The arterioles showed no lesions and there were no immune deposits in the immunofluorescence. The findings were consistent with the pathology diagnosis of immunoallergic ATIN3,4 that combined with the clinical characteristics and the recent administration of the COVID-19 vaccine, led us to define this case as ATIN potentially induced by the BNT162b2 vaccine. Treatment was started with three boluses of methylprednisolone 125 mg/day followed by prednisone 0.8 mg/kg/day, which was gradually reduced and discontinued after six weeks.5 As there was no recovery of renal function or oliguria, he was started on haemodialysis without changes so far.
Changes over time in the analytical parameters of the patient with acute tubulointerstitial nephritis.
| Parameters | Baseline Nov/2018 | On admission | At 2 weeks* | At 6 weeks | Normal values |
|---|---|---|---|---|---|
| Leucocytes | 8.83 | 7.05 | 11.39 | 7.76 | 4−10 × 103/µl |
| Haemoglobin | 15.3 | 11.2 | 11.1 | 10.8 | 12−16 g/dl |
| Platelets | 256 | 254 | 165 | 140 | 130−450 × 103/µl |
| Neutrophils | 5.67 (64) | 4.98 (70) | 9.9 (87) | 6.2 (80) | 2−7 × 103/µl (40%−80%) |
| Lymphocytes | 2.16 (24) | 0.94 (13.3) | 0.64 (5.6) | 0.74 (9.5) | 0.6−3.4 × 103/µl (14%−48%) |
| Eosinophils | 0.44 (5) | 0.72 (8.9) | 0.13 (1.1) | 0.21 (2.7) | 0−0.6 × 10³/µl (0%−7%) |
| LDH | 215 | 318 | 289 | 242 | 135−214 IU/l |
| Total bilirubin | 0.5 | 0.3 | 0.5 | 0.3 | 0.1−1 mg/dl |
| Total proteins | 5.4 | 6.4 | 6.5 | 5.6 | 6.4−8.7 g/dl |
| Serum albumin | 3.9 | 4.2 | 4 | 3.39 | 3−5.5 g/dl |
| GOT | 22 | 25 | 27 | 9 | 5–32 IU/l |
| GPT | 23 | 23 | 22 | 17 | 5−33 IU/l |
| Total cholesterol | 146 | 119 | 120 | 128 | mg/dl |
| LDL cholesterol | 98 | 55 | – | 49 | mg/dl |
| Triglycerides | 279 | 178 | 128 | 130 | mg/dl |
| Urea | 65 | 156 | 179 | 205 | 17−60 mg/dl |
| Creatinine | 1.7 | 5.38 | 5 | 4.9 | 0.6−1.2 mg/dl |
| Uric acid | 6.2 | 4.5 | 7 | 7.6 | 3.4−7 mg/dl |
| Na+ | 143 | 145 | 140 | 137 | 135−145 mmol/l |
| K+ | 4.7 | 5.6 | 3.6 | 3.6 | 3.5−5.5 mmol/l |
| Cl− | 105 | 117 | 101 | 95 | 95−110 mmol/l |
| Ca+2 | 9.6 | 9.4 | 8.5 | 8.2 | 8.5−10.5 mg/dl |
| P+2 | 4.7 | 4.2 | 4.4 | 3.5−5.5 mg/dl | |
| Magnesium+2 | 2.3 | 1.69 | 1.9 | 2 | 1.7−2.2 mg/dl |
| Bicarbonate | 23 | 19.9 | 27 | 26 | 22−28 mEq/l |
| CRP | 0.5 | 0.23 | 1.52 | 1.72 | 0.1−0.5 mg/dl |
| Ferritin | – | 139 | 150 | 196 | |
| Procalcitonin | – | 0.19 | 0.2 | 0.21 | <0.5 ng/mL |
| Hepatitis B, C and HIV | – | Negative | – | – | N/A |
| ANA, Anti-GBM, Anti-dsDNA, ANCA, RF and cryoglobulins | – | Negative | – | – | N/A |
| C3 | – | 123 | – | – | |
| C4 | – | 25.5 | – | – | |
| Anti-PLA2R Ab (ELISA) | – | Negative | – | – | N/A |
| IgG | – | 1,070 | – | – | 800−1600 mg/dl |
| IgA | – | 179 | – | – | 70−400 mg/dl |
| IgM | – | 107 | – | – | 90−180 mg/dl |
| Serum electrophoresis | – | Polyclonal Ig distribution | – | – | Negative g/l |
| Serum/urine immunofixation | – | Negative | – | – | N/A |
| Diuresis | 1.9 | 1.2 | 0.4 | 0.35 | l/24 h |
| Albumin/creatinine ratio (ACR) | 1.4 | 3.3 | 2.8 | – | <0.03 g/g Cr |
| Microhaematuria | 1−5 | 35−50 | 20−25 | – | /HPF |
| Proteinuria | 1.2 | 3.1 | – | – | g/24 h |
| Urinary Na | – | 82 | – | – | 20−200 mEq/l |
| Urinary Cl | – | 78 | – | – | N/A |
| Urinary K | – | 34.9 | – | – | 25−125 mEq/l |
: check-up after initiation of acute haemodialysis; N/A: not applicable; Na+: sodium; Cl−: chloride; K+: potassium; Mg+2: magnesium; Ca+2: calcium; CRP: C-reactive protein; Ab: antibodies; HIV: human immunodeficiency virus; HBV: hepatitis B virus; HCV: hepatitis C virus; ANA: antinuclear antibodies; anti-dsDNA: anti-double-stranded DNA antibody; ANCA: antineutrophil cytoplasmic autoantibody; anti-GBM: anti-glomerular basement membrane; RF: rheumatoid factor; anti-PLA2R-Ab: anti-phospholipase A2 receptor antibody; Ig: immunoglobulins; ELISA: enzyme-linked immunosorbent assay; C3: complement component C3; C4: complement component C4; HPF: high-power field.
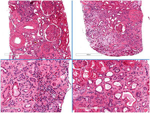
Renal biopsy histology.
Haematoxylin-eosin. Global sclerosis is evident in 21/40 glomeruli. Diffuse mesangial enlargement with images of nodular transformation. Severe foci of patchy oedema with mononuclear inflammatory infiltrate with abundant eosinophils. Fibrosis and moderate tubular atrophy with flattening of the epithelium, without tubulitis. The arteries show moderate-to-intense arteriosclerosis, and the arterioles show intense hyaline lesions.
The BNT162b2 vaccine, based on particles of nucleoside-modified RNA in lipid nanoparticles, enters the host cells, producing the SARS-CoV-2 S protein and stimulating the immune system to produce antibodies against it.6 Polack et al.7 studied the safety and efficacy of this vaccine in 43,548 participants, concluding that a two-dose regimen conferred 95% protection, for a median of two months. However, only 0.7% (n = 256) had CKD, thereby perpetuating the lack of data on immunogenicity, efficacy, safety and possible immunoallergic reactions in patients with kidney disease.8 In a prospective observational study, Menni et al.9 assessed the proportion and likelihood of self-reported systemic and local side effects and allergic reactions within eight days after vaccination among individuals who received one or two doses of the BNT162b2 vaccine and one dose of the ChAdOx1-nCoV-19 vaccine; 282,103 received one dose of BNT162b2, of whom 28,207 received a second dose; 71.9% and 68.5%, respectively, reported local side effects, while systemic side effects were only reported by 13.5% after the first dose and 22% after the second. As compared with those who had no known prior infection, the individuals with prior COVID-19 infection presented systemic side effects that were 1.6 times more common after the first doses in.
Despite the undeniable success of vaccination, pharmacovigilance is a matter of public interest which is becoming increasingly important. This makes the pathology findings of our case particularly relevant, although it is always difficult to make assumptions about causality in cases of drug-induced ATIN. There have been reports of different glomerular diseases associated with COVID-19.10–12 Several cases were recently reported involving a possible association between COVID-19 vaccines and glomerular disorders: five cases of macroscopic post-vaccination haematuria, three with known IgA nephropathy (IgAN)13,14 and the other two healthy individuals being diagnosed respectively with IgAN and extracapillary proliferative glomerulonephritis with crescents15; and lastly, two cases associated with minimal change disease.16,17 Meanwhile, only one case of ATIN has been reported coinciding with BNT162b2 vaccination.18
Consequently, the surveillance and identification of adverse effects presumed to be attributable to vaccination should be one of the priorities in public health in all countries.
FundingNo funding was received for this study.
Conflicts of interestThe author has no conflicts of interest to declare.






