INTRODUCCIÓN
Una de las complicaciones más frecuentes de la diálisis peritoneal (DP) es el mal funcionamiento del catéter, que condiciona, evidentemente, el tratamiento dialítico.
Las manifestaciones suelen ser claras: el líquido de DP entra y/o sale con dificultad.
Entre las principales causas de mal funcionamiento, podemos encontrar obstrucción por coágulos o fibrina, desplazamiento de la punta del catéter y atrapamiento por bridas o epiplón.
En la actualidad, no disponemos de pruebas de imagen de fácil realización que nos ayuden a diagnosticar los problemas mecánicos derivados del mal funcionamiento del catéter. Una técnica muy sencilla y con alto rendimiento es la cateterografía. Este procedimiento fue descrito en los años noventa, pero se trata de una técnica que se utiliza muy poco, probablemente debido a los problemas de accesibilidad a las salas de radiología.
En nuestro hospital se realiza desde hace unos 2 años, en colaboración con el Servicio de Radiología. A continuación, presentamos nuestra experiencia.
MATERIAL Y MÉTODOS
El procedimiento se realiza en la Sala de Radiología Intervencionista, en presencia de un radiólogo, un nefrólogo y una enfermera.
Con el paciente en posición de decúbito, se procede a lavar el catéter con unos 20 ml de suero fisiológico para, posteriormente, infundir 10 ml de contraste yodado, por supuesto siempre bajo condiciones de asepsia. Durante la infusión del contraste se obtienen imágenes seriadas con sustracción digital, lo que permite visualizar la posición del catéter y su permeabilidad. Se puede visualizar, asimismo, en diferentes proyecciones (antero-posterior, oblicua, lateral, etc.).
En caso de ser necesario, se puede introducir una guía por el catéter y, bajo visión directa, intentar su recolocación. En catéteres atrapados es imposible efectuar esta operación, lo que de forma indirecta también nos proporciona información sobre la situación del catéter.
Una vez finalizado este proceso, se vuelve a limpiar el catéter y, ya en la Unidad de Diálisis Peritoneal, se administra antibiótico intraperitoneal de forma profiláctica y se comprueba su funcionamiento. El paciente puede regresar a su domicilio tras la prueba.
CASOS REPRESENTATIVOS
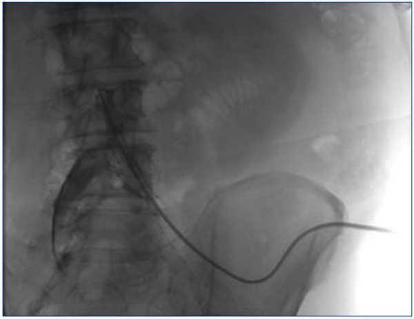
Caso 1. Paciente de 56 años; 4 meses en CAPD sin problemas. Episodio de peritonitis grave por germen anaerobio. Una vez recuperado, inicia tratamiento de APD. Tras unas semanas, acude por imposibilidad para dormir por numerosas alarmas. Se revisa el tratamiento y se comprueba que existe una gran dificultad para drenaje. La radiografía simple de abdomen no muestra hallazgos importantes; se ve la punta en pelvis. Se realiza cateterografía, que muestra gran bucle. Se soluciona pasando una guía y aumentado laxantes (figura 1).
Caso 2. Mujer de 65 años que inicia DP después de un segundo trasplante. Durante la cirugía para colocación del catéter, se realizó liberación de múltiples adherencias intestinales. Desde el inicio, la infusión se hacía sin problemas, pero el drenaje era imposible. Se realizó cateterografía que confirmó la sospecha de atrapamiento; posteriormente, pudo comprobarse en la cirugía de retirada del catéter (figura 2).
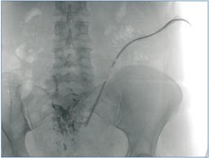
Caso 3. Paciente de 72 años, que tras 15 meses en APD empieza a presentar problemas para el drenaje a pesar de utilizar laxantes. Se comprueba que la punta está en epigastrio y se recoloca mediante guía (figura 3).
En nuestra experiencia, no hemos tenido ningún tipo de complicación: no se han producido perforaciones, sangrados ni infecciones.
CONCLUSIONES
La cateterografía es un método seguro, fácil y no invasivo muy útil para el diagnóstico diferencial del mal funcionamiento del catéter. Puede repetirse las veces que sea necesario, ya que no supone un peligro para el paciente.
Conflictos de interés
Los autores declaran que no tienen conflictos de interés potenciales relacionados con los contenidos de este artículo.
Figura 1. Caso 1
Figura 2. Caso 2
Figura 3. Caso 3







