La nefropatía por IgA es una glomerulopatía prevalente en la pesquisa diagnóstica de la hematuria, siendo la patología glomerular más frecuente1,2.
Esta enfermedad autoinmune se caracteriza por la síntesis y la glicosilación anormales de la IgA, resultando en un disbalance y un incremento circulante de IgA deficitaria en galactosa IgA1 (gd.IgA1)1.
El diagnóstico está asociado con reducción en la expectativa de vida entre 6 a 10años2.
Respecto a su tratamiento, en pacientes con proteinuria superior a 500mg/24h se establece iniciar IECA/bloqueantes Ara2. En los pacientes con proteinuria nefrótica o en el grupo de pacientes con riesgo de progresión a enfermedad renal crónica se establece administrar esteroides3,4.
La evolución de la enfermedad es glomerular en las formas habituales de presentación, pero hay muy poca información en relación con la evolución clínica y sus implicancias pronósticas cuando la manifestación es hematuria macroscópica persistente como único signo de presentación de esta glomerulopatía5,6.
Presentamos tres casos clínicos en los que la presentación y el común denominador son la hematuria macroscópica persistente.
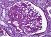
Caso 1Hombre de 38años, sin antecedentes personales de interés, que es remitido a la consulta de nefrología por un cuadro de hematuria macroscópica persistente de 20días de evolución.
Presenta función renal normal y hematíes dismórficos en orina. Por persistencia de la hematuria macroscópica se realiza una biopsia renal percutánea, con hallazgo de depósitos de IgA en la inmunofluorescencia (fig. 1).
Se instaura tratamiento con esteroides a dosis de 1mg/kg durante 3meses y asociación con losartán. Remisión completa muy precoz, al segundo día del inicio del tratamiento. Presenta función renal normal y sin recaídas 10años después.
Caso 2Mujer de 58años, con antecedentes personales de tiroiditis de Hashimoto e hipotiroidismo, que consulta en nefrología por hematuria macroscópica continua, de 15días de evolución.
En la analítica de sangre presentaba función renal normal; en la orina, abundantes hematíes dismórficos y cilindros hemáticos.
Ante la persistencia de la hematuria macroscópica, se realiza biopsia renal: nefropatía mesangial por IgA, con hallazgos en la microscopia óptica (fig. 2).
Se inicia tratamiento con esteroides a dosis de 1mg/kg durante 3meses y asociación con telmisartán. Remisión completa precoz al tercer día del inicio del tratamiento. Presenta función renal normal, sin recaídas, 3años y 8meses después.
Caso 3Mujer de 53años que es admitida en nefrología por hematuria macroscópica continua de 22días de evolución.
En los estudios realizados en nefrología presentaba una función renal normal; en el sedimento urinario se detectaron abundantes hematíes dismórficos y cilindros hemáticos.
Se pautó tratamiento con esteroides oral a dosis 1mg/kg, durante 3meses, asociado a irbesartán. La paciente presentó remisión completa precoz al segundo día del inicio del tratamiento, sin recaídas y con buena función renal 16meses después.
Así pues, la enfermedad mesangial por IgA es muy frecuente entre las enfermedades glomerulares5. El signo clínico más característico es la hematuria, aunque no es frecuente la presentación como brote de hematuria macroscópica y persistencia de la misma a lo largo de varios días, en ausencia de semilunas6. Existen pocos datos que establezcan el pronóstico según esta forma de manifestación.
En relación con el tratamiento, se conoce que los esteroides son de primera elección cuando la enfermedad presenta signos de mal pronóstico, como proteinuria nefrótica, o fallo renal, o hipertensión arterial.
En nuestros casos, los tres pacientes tuvieron remisión completa rápida cuando se instauró el tratamiento, y luego, en el seguimiento, hasta el momento no han tenido recaídas.
Conflicto de interesesEl autor declara no tener ningún conflicto de intereses.
Al Dr. Enrique Morales Ruiz (Nefrólogía, Hospital 12 de Octubre, Madrid, España), por la colaboración en el escrito.






