Sr. Director:
La hidatidosis es una zoonosis endémica causada por la tenia Echinococcus, en la que el ser humano participa al ingerir los huevos excretados en heces de perros u otros huéspedes1. De forma poco frecuente, puede presentarse con quistes localizados en pelvis2.
Presentamos el caso de un varón de 73 años que a los 33 años fue intervenido de quiste hidatídico pulmonar derecho que se complicó con una reacción anafiláctica grave tras la ruptura del quiste. Se remite por alteración de la función renal con creatinina (Cr) 3 mg/dl. El paciente refiere sintomatología prostática con polaquiuria y nicturia con palpación abdominal compatible con globo vesical de gran tamaño.
La bioquímica se muestra en la tabla 1. El sedimento urinario es normal, la proteinuria y el urinocultivo son negativos y el estudio inmunológico y los marcadores tumorales son normales (antígeno prostático específico 2,33 ng/ml).El Echinococcus granulosus en sangre es elevado, 9,18 kU/l (0,00-0,35), y la serología para Echinococcus IgG enzimoinmunoanálisis (EIA) es negativa. La radiografía de tórax excluye lesiones pulmonares. En la ecografía vesicoprostática se visualiza gran masa sólido-quística retrovesical con ureterohidronefrosis bilateral, grado IV, en riñón derecho (RD) y grado III en riñón izquierdo (RI).
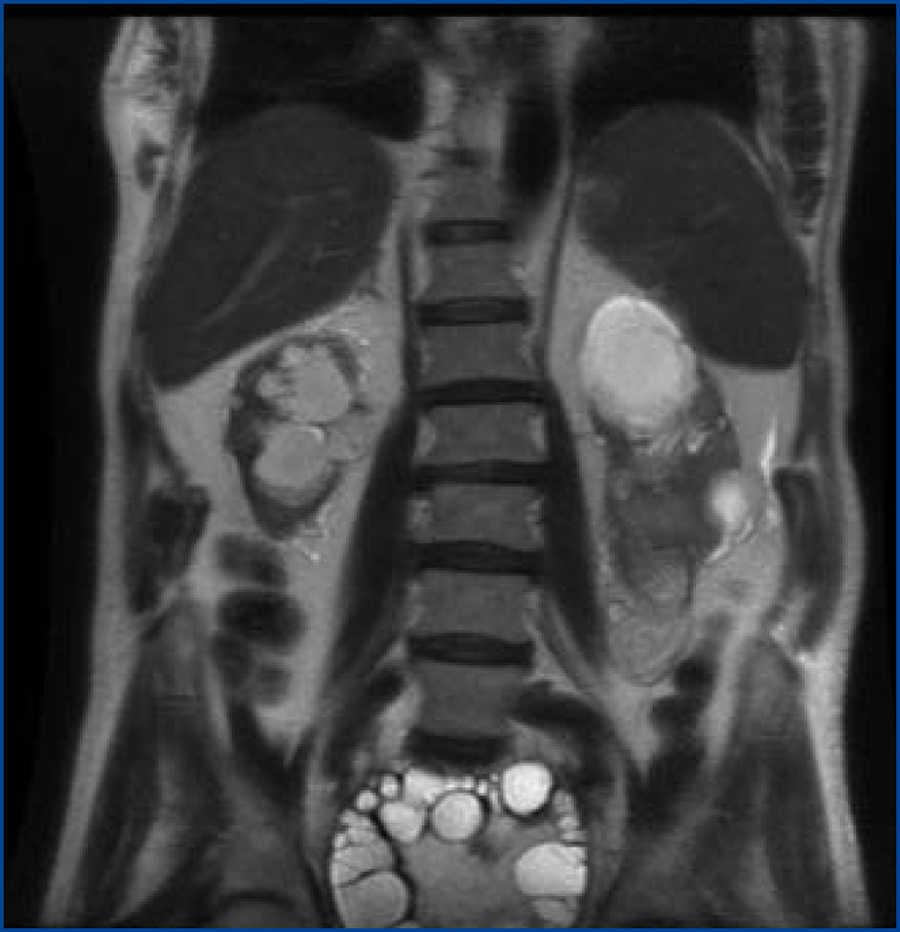
La resonancia magnética (figura 1) muestra una gran lesión ocupante de espacio de 17,5 cm de diámetro máximo que invade la cavidad pélvica con el polo superior a la altura de L4-L5, ejerciendo un colapso casi total de la vejiga. Tiene forma ovoidea, bien definida, con múltiples septos internos, compatible con quiste hidatídico tipo II2B de Polat. En polo inferior del RI se observa una lesión de 61 mm ovoidea compatible con quiste hidatídico inactivo tipo III. Hay dilatación de ambos sistemas colectores renales, con disminución del RD, que tiene un diámetro de 84 mm y cortical adelgazada. El RI tiene un diámetro longitudinal de 11 cm.
Tras intento fallido de colocación de catéteres ureterales por cistoscopia, se realiza nefrostomía bilateral con mejoría parcial de la función renal (Cr 2,4 mg/dl), a través de la cual se colocan dos catéteres ureterales.
Tras dos meses de tratamiento con albendazol, se realiza laparotomía media supra e infraumbilical, donde se visualiza un quiste retrovesical que ocupa toda la pelvis menor y que infiltra el uréter en su pared lateral derecha. Se realiza la inyección intraquística con suero salino hipertónico y posterior aspiración de su contenido, saliendo un líquido con «pellejos de uva». Se realiza marsupialización del quiste, manteniendo la pared vecina a la vejiga y nefroureterectomía derecha.
Se retira el catéter ureteral izquierdo a los 5 meses de la intervención. La polaquiuria y la nicturia experimentan una mejoría progresiva, aunque persiste nicturia de 2 a 3 veces. Se mantiene el tratamiento con albendazol hasta cumplir un total de 6 meses, con excelente tolerancia. El Echinococcus granulosus en sangre es 4,19 kU/l y la serología continua siendo negativa (IgG EIA índice 0,52). Mantiene Cr de 1,5 mg/dl, con proteinuria de 1 g/día.
Desde el punto de vista renal, la hidatidosis puede causar hematuria o dolor lumbar2. También se ha descrito glomerulonefritis mediada por inmunocomplejos y amiloidosis secundaria3,4. Se han publicado diversos casos de quiste hidatídico retrovesical2, aunque es una forma de manifestación poco frecuente (0,1-0,5 % de los quistes hidatídicos)1. La mayor parte ocurre como consecuencia de la rotura de algún quiste abdominal o pélvico o su diseminación por el saco de Douglas durante un acto quirúrgico. Suele manifestarse con sintomatología urinaria inespecífica e incluso retención urinaria. Menos de un 15 % de las hidatidosis retrovesicales2 pueden fistulizarse sobre todo a vejiga5,6, siendo la hidatiduria un signo patognomónico de fístula quistovesical7.
El paciente descrito es remitido para estudio de insuficiencia renal y se le diagnostica quiste hidatídico gigante retrovesical, sin que exista el antecedente de rotura o de cirugía de un quiste abdominal o pélvico. Parece lógico pensar que, durante la intervención del quiste pulmonar, se produjera una siembra hematógena tras su ruptura, con la formación de un quiste pelviano, que ha ido creciendo de manera silenciosa a lo largo de los años.
La detección de antígenos circulantes de Equinococcus granulosus en suero es menos sensible que la detección de anticuerpos, que es el método diagnóstico de elección8. Un test serológico negativo no descarta la equinococosis, como ocurre en nuestro caso. Actualmente no hay ningún test serológico con sensibilidad y especificidad del 100 %8, por lo que su resultado debe confrontarse siempre con los hallazgos radiológicos.
Se recomienda quimioterapia con albendazol o mebendazol antes y después de la cirugía9-11, ya que reduce el riesgo de siembra peritoneal y disminuye la tensión del quiste para una más fácil extirpación. Nosotros realizamos un tratamiento precirugía de 2 meses con albendazol y otros 4 meses tras la intervención.
Llamamos la atención sobre el caso, ya que una historia detallada y un alto índice de sospecha, particularmente en pacientes de áreas endémicas, ayudan a establecer el diagnóstico de hidatidosis pélvica.
Conflictos de interés
Los autores declaran que no tienen conflictos de interés potenciales relacionados con los contenidos de este artículo.
Tabla 1. Analítica al ingreso
Figura 1. Resonancia magnética






