Sr.Director:
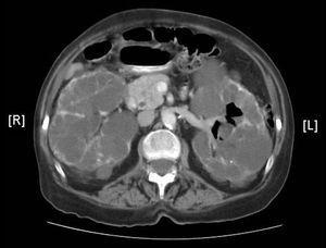
Se presenta el caso de una mujer de 70 años diagnosticada de poliquistosis renal del adulto, que inició hemodiálisis periódica cuatro meses antes. Ante la persistencia de síndrome constitucional, resistencia a eritropoyetina, anemia, etc se consideró necesario ingreso hospitalario. En la anamnesis, la paciente refiere expulsión de aire tras la micción, sin más síntomas ni signos. Se realiza urinocultivo, cultivándose E. Coli. En Tac abdominal se observa la presencia de gas en vejiga y sistema colector urinario izquierdo (lo cual es francamente inusual) (fig.1). Instaurado tratamiento con Ciprofloxacino durante 12 días, y sondaje uretral, se consigue remisión clínica y radiológica completa con negativización del cultivo de orina.
La cistitis enfisematosa se define como la formación de gas en el interior de la vejiga, pudiendo éste extenderse a otros tractos del sistema urinario1,2. En general, la clínica se resume en clínica miccional, por hematuria o dolor hipogástrico. En al menos la mitad de los casos, ocurre en pacientes diabéticos3 El tratamiento mediante antibióticos y sondaje uretral no siempre es efectivo, siendo necesaria la cirugía en ocasiones4, dependiendo en gran medida de la rapidez en la determinación terapéutica. En nuestro caso, la sintomatología tan orientativa del proceso ayudó a la resolución del mismo. Desconocemos si existe algún nexo de unión entre la enfermedad renal poliquística del adulto y la aparición de cistitis enfisematosa, ya que no encontramos un soporte bibliográfico en este sentido. Sí está descrito en pacientes en hemodiálisis5. Hay que señalar el riesgo de la extensión de la infección en este caso concreto.
Figura 1.





