Sr. Director,
La acidosis tubular renal distal (ATD) es una tubulopatía caracterizada por la presencia de una acidosis metabólica hiperclorémica, hipopotasemia, pH urinario elevado (>5.5) y un hiato aniónico negativo.
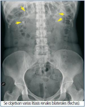
Presentamos el caso de una mujer de 28 años, gestante de 7 semanas que acudió a urgencias por debilidad intensa en el contexto de vómitos con dolor abdominal. Tenía antecedentes de rabdomiolisis secundaria a hipopotasemia severa no filiada, nefrolitiasis y nefrocalcinosis bilateral (figura 1). Se revisaron sus analíticas previas objetivando desde hace varios años una acidosis metabólica hiperclorémica y hipopotasemia con un pH urinario persistentemente alcalino. A su llegada a urgencias presentaba: TA 103/71 mm Hg, FC 78 sístoles, a la palpación abdominal profunda dolor en hipocondrio izquierdo y fosa renal izquierda y puño percusión renal izquierdo positivo.
En analítica sanguínea destacaba un ph. 7,18, bicarbonato 12,4 mmol/L con anión gap plasmático normal, PCO2 35 mm Hg, K+ 3,3 meq/L, Cloro 121 meq/l, creatinina 0,62 mg/dl, Calcio 8,3 mg/dl, albúmina 3,3 g/dl, fósforo 3,6 mg/dl. El resto de análisis fue normal. Orina: ph urinario 8, hiato aniónico negativo [Cl (66,2 meq/L) < Na+ (86 meq/L) + K+ (14,17 meq/L)]; Diuresis 3200ml/24 h, calciuria 137,7 mg/24h, hipocitraturia (citraturia < 102 mg/24 h) y oxaluria normal. El estudio inmunológico no reveló alteraciones significativas.
Se solicitó una ecografía renal informada de dilatación pielocalicial del riñón izquierdo grado II-III/ IV y presencia de líquido con tractos en el espacio perirrenal izquierdo (figura 2). Útero gestante con feto vivo en su interior. Se avisó al servicio de Urología que decidió colocar un catéter ureteral doble J izquierdo, consiguiendo hacerse paso a través de una litiasis ureteral izquierda y objetivando salida de orina de aspecto purulento. Posteriormente se inició tratamiento antibiótico y aporte intravenoso de potasio y bicarbonato consiguiendo una mejoría clínica. En base del cuadro clínico, las alteraciones analíticas previas y actuales se le diagnóstica de acidosis tubular renal distal (ATD).
La ATD es una tubulopatia renal de etiología hereditaria, idiopática o secundaria a diversas causas (tabla 1). La sospecha diagnóstica se evoca en presencia de los trastornos electrolíticos en sangre y en orina y la realización de una gasometría venosa.
En el niño la ATD suele ser primaria o idiopática. El estudio genético permite distinguir la mutación responsable (hay descritas más de 50), siendo las más relevantes las alteraciones de los genes ATP6V0A4, ATP6V1B1 esta ultima asociada a sordera1. El diagnóstico precoz permite corregir la acidosis metabólica evitando así alteraciones del desarrollo pondoestatural y cuadros de raquitismo2.
En el adulto hay que realizar un diagnóstico diferencial, descartando patologías autoinmunes asociadas3. Se solicito a la paciente un estudio completo en reiteradas ocasiones sin poder establecer una etiología autoinmune. La hipercalciuria, hipocitraturia y la orina inapropiadamente alcalina y menos frecuente la hiperuricosuria son situaciones predisponentes al desarrollo de cuadros de nefrolitiasis y nefrocalcinosis4, condicionando un terreno propicio a las infecciones urinarias recurrentes. La función renal inicialmente esta conservada pero en ausencia de un tratamiento apropiado los pacientes desarrollarán una insuficiencia renal crónica, HTA y otras complicaciones. Existe riesgo de deterioro renal agudo de etiología diversas por infecciones urinaria o pielonefritis aguda, cuadro obstructivo u incluso rabdomiolisis secundaria a hipopotasemia severa.
El tratamiento en fases iniciales consiste en administrar agentes alcalinizantes como bicarbonato o citrato y corregir la hipopotasemia. En los casos de ATD relacionadas con etiologías secundarias el control de la patología responsable ayuda a corregir los trastornos hidroelectroliticos propios de la ATD5.
Concluimos que la ATD es una tubulopatía poco frecuente cuyo diagnóstico precoz evitara graves repercusiones renales aunque su evolución y pronóstico son favorables con un tratamiento adecuado.
Figura 1. Radiografía simple de abdomen.
Figura 2. Ecografía renal izquierda.
Tabla 1. Etiologías más frecuentes de la ATD.








