Sr. Director:
La enfermedad de Castleman es un trastorno linfoproliferativo benigno que se presenta como una hiperplasia folicular linfoide donde la afectación renal es poco frecuente. Se han comunicado casos clínicos aislados y pequeñas series de unos 20 pacientes. Las dos lesiones más frecuentemente reportadas en estos casos son una microangiopatía trombótica-like (MAT-like) y amiloidosis AA1-4.
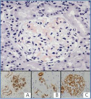
Presentamos el caso de un varón en la tercera década de la vida, con antecedentes personales de talasemia minor, que debutó con un síndrome nefrótico y función renal normal. En la biopsia renal se evidenció un depósito mesangial de material amorfo, eosinófilo, con tendencia a la modularidad, que se disponía, de forma global, en todos los glomérulos y en la pared de los vasos de pequeño calibre. Este material fue positivo con Rojo Congo y mostró birrefringencia a luz polarizada, así como expresión inmunohistoquímica para amiloide A. La tinción con el factor de crecimiento endotelial vascular (VEGF) y sinaptopodina se expresó intensamente a nivel podocitario (figura 1). El diagnóstico fue amiloidosis renal, tipo AA, en distribución glomérulo-vascular. El virus de la inmunodeficiencia humana (VIH) fue negativo y el estudio inmunológico no detectó ninguna enfermedad sistémica o infecciosa.
Se solicitó tomografía axial computarizada abdómino-pélvica, encontrando, en contacto con asas de intestino delgado, una masa sólida y heterogénea de 9,5 cm de diámetro, con calcificaciones en su interior. En la pieza de intestino delgado resecada se halló, a nivel del mesenterio, una tumoración de aspecto carnoso, sin relación con la pared intestinal. En el estudio histológico, se correspondía con una masa adenopática, de estructura preservada e hiperplasia folicular linfoide, de aspecto heterogéneo (figura 2); la región paracortical estaba constituida por una proliferación difusa de células plasmáticas maduras, sin atipia y abundantes cuerpos de Russell. El herpesvirus 8 (HHV8) fue negativo.
El diagnóstico anatomopatológico, en este caso, fue de enfermedad de Castleman tipo células plasmáticas. También se identificó depósito amiloideo, en localización perivascular, en el paracórtex y en la submucosa del intestino delgado.
En resumen, se trata de un paciente con una amiloidosis sistémica AA asociada a enfermedad de Castleman, tipo células plasmáticas.
DISCUSIÓN
La enfermedad de Castleman es un trastorno linfoproliferativo benigno poco frecuente que se presenta como una hiperplasia folicular linfoide. Se asocia en algunos casos con el VIH y el HHV85. También se ha relacionado con enfermedades malignas como el sarcoma de Kaposi y algunos linfomas. Existen dos entidades distintas, localizada y multicéntrica, con muy diferente pronóstico. Clásicamente, se distinguen dos tipos histológicos, el hialinovascular y el de células plasmáticas. El tipo hialinovascular unicéntrico es el más frecuente (80%); cursa de forma asintomática y suele tener un pronóstico benigno. El de células plasmáticas se asocia a un curso clínico más agresivo y la presencia de síndrome constitucional. Al contrario que el tipo hialinovascular, el de células plasmáticas de tipo multicéntrico puede estar asociado a infección por HHV8, sobre todo en pacientes con VIH. La afectación renal en enfermedad de Castleman es poco frecuente, siendo la lesión vascular de pequeño vaso (MAT-like) y la amiloidosis AA las dos entidades más frecuentemente descritas. El pronóstico de la lesión renal, una vez eliminada la causa, parece estar en función de la extensión e intensidad de los depósitos glomerulares, así como de la afectación vascular. No se conoce el motivo por el que unos pacientes presentan la lesión vascular y otros la amiloidosis. Algunos autores han sugerido que la lesión vascular está mediada por una regulación decreciente del VEGF que se produce en estos trastornos linfoproliferativos1. En nuestro paciente, la expresión conservada tanto de VEGF como de sinaptopodina, proteína crucial en el mantenimiento de la barrera de filtración glomerular, podrían ser indicadores de buen pronóstico, con proteinuria potencialmente reversible.
Los casos de amiloidosis AA se suelen presentar en pacientes con enfermedad de Castleman unicéntrica abdominal, como ocurrió en nuestro caso: el síndrome inflamatorio crónico y de larga evolución podría contribuir al desarrollo de la amiloidosis. También se piensa que puede estar mediada por altos niveles de interleuquina 66-7.
En un paciente joven con amiloidosis renal AA, sin otra sospecha diagnóstica, hay que plantearse que la enfermedad de Castleman tipo células plasmáticas podría ser la causa de su proceso. El estudio de la expresión de VEGF o sinaptopodina puede contribuir a conocer y estimar el pronóstico de la lesión renal.
Conflictos de interés
Los autores declaran que no tienen conflictos de interés potenciales relacionados con los contenidos de este artículo.
Figura 1. Glomérulos con depósito de material amorfo y rojizo. Rojo Congo
Figura 2. Masa adenopática con hiperplasia linfoide de folículos heterogéneos pero estructura bien preservada. H-E 20x







