Sr. Director:
La displasia fibromuscular (DFM) en alguna ocasión se acompaña de aneurismas de arteria renal. El tratamiento percutáneo es de elección en aneurismas simples, quedando reservado el tratamiento quirúrgico para los aneurismas complicados y otros casos seleccionados1.
Presentamos el caso de un varón de 36 años, fumador, hipertenso conocido desde los 20 años, que inició seguimiento en nuestra Unidad de Hipertensión. Durante el año de seguimiento presentó crisis hipertensivas asociadas a cefalea. Entre las pruebas complementarias que se realizaron, la analítica, el fondo de ojo y la ecografía renal eran normales. En el ecocardiograma se objetivó una hipertrofia ventricular izquierda ligera con disfunción diastólica grado I y el test de captopril no era sugestivo de hipertensión renovascular (HTRV).
Cinco años después, ingresó por episodio de isquemia cerebral transitoria en contexto de crisis hipertensiva (210/130 mmHg). En ese momento, la analítica y la ecografía renal eran normales y en el fondo de ojo se objetivó una retinopatía hipertensiva grado I de Keith-Wagener. Dado que se trataba de un varón joven con hipertensión arterial (HTA) mantenida y crisis hipertensivas frecuentes, quisimos descartar HTRV. El paciente se negó a cualquier intervención y se decidió continuar seguimiento ambulatorio, logrando un control óptimo de tensión arterial (TA) con cinco fármacos (irbesartán 300 mg/día, hidroclorotiazida 12,5 mg/día, ramipril 5 mg/12 h, amlodipino 15 mg/día, carvedilol 12,5 mg/12 h).
Al año siguiente, sufrió una hemorragia subaracnoidea tras la rotura de un aneurisma en la arteria cerebelosa superior derecha, con recuperación completa tras embolización.
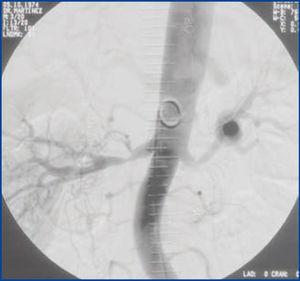
Posteriormente, se objetivó un deterioro importante de función renal: creatinina (Cr) 3,7 mg/dl, aclaramiento de creatinina (ClCr) 26,35 ml/min, que mejoró parcialmente tras suspender el inhibidor de la enzima de conversión de la angiotensina y el antagonista de los receptores de angiotensina II. Dada la sospecha de HTRV, se realizó una angiorresonancia magnética abdominal confirmando la presencia de estenosis en arteria renal derecha a 11 mm del óstium y un aneurisma ovoide en la porción terminal de la arteria renal izquierda, con diámetro mayor de 1,8 cm. Seguidamente, se realizó una arteriografía renal, donde se objetivó estenosis bilateral de arterias renales de probable origen fibrodisplásico (figura 1). Ante los hallazgos, se realizó angioplastia transluminal percutánea bilateral, con recuperación ad integrum de la función renal: Cr 1 mg/dl, ClCr 80 ml/min y TA controlada con triple terapia antihipertensiva (labetalol 300 mg/día, amlodipino besilato 10 mg/12 h, torasemida 5 mg/día).
Cinco años después, en una ecografía renal de control se observó una asimetría renal, no objetivada previamente (riñón izquierdo 8,5 cm, riñón derecho 10 cm), por lo que se solicitó angiotomografía computarizada de arterias renales, confirmándose la reestenosis de arteria renal izquierda, así como la presencia de un aneurisma renal derecho de 1,5 x 1,2 cm y el aneurisma conocido en el lado izquierdo en forma de reloj de arena cuyo extremo de mayor tamaño medía 1 x 1,5 x 2,4 cm. Además, se observó la salida de 4 ramas arteriales del aneurisma del lado izquierdo. Ante estos hallazgos, por tratarse de un aneurisma con anatomía compleja, se descartó la posibilidad de tratamiento percutáneo, siendo el paciente trasladado al Hospital Juan Canalejo de La Coruña para intervención quirúrgica. Durante el procedimiento se realizó nefrectomía laparoscópica izquierda y exéresis de un fragmento de arteria ilíaca interna con 4 ramas arteriales que se habían seleccionado previamente en arteriografía de miembros inferiores. Posteriormente, en cirugía de banco se resecó el aneurisma de arteria renal izquierda para luego anastomosar las 4 ramas de la arteria ilíaca con las 4 ramas renales posaneurismáticas (figura 2). Seguidamente, se autotrasplantó el riñón izquierdo en la fosa ilíaca izquierda del paciente. Tras la intervención, la función renal era normal (Cr 1,2 mg/dl, ClCr 97 ml/min) y la TA se controló con triple terapia a dosis bajas (carvedilol 6,25 mg/día, amlodipino 10 mg/día, torasemida 2,5 mg/día).
DISCUSIÓN
En la DFM las arterias implicadas con mayor frecuencia son las renales (60 %) y las carótidas internas (30-60 %), aunque también pueden afectarse otras arterias, como las cerebrales, las vertebrales, las ilíacas, las subclavias y las viscerales2,3. Los aneurismas de arteria renal se diagnostican con una incidencia 0,7-1,3 % en las arteriografías renales. Pueden ser asintomáticos, aunque generalmente se asocian a HTA (55 %), hematuria (30 %), dolor en flanco (15 %)1, etc. También pueden asociarse a estenosis de arteria renal y fallo renal. El tratamiento quirúrgico se reserva para casos de aneurismas complejos, aneurismas mayores de 2-2,5 cm o cuando exista aumento progresivo de su tamaño. También está indicado en casos de HTA descontrolada, tratamiento percutáneo previo fallido y cuando existan complicaciones asociadas: trombosis de arteria renal, hematuria por ruptura, infarto renal por disección o embolización distal, etc.1,4,5. Asimismo, es indicación quirúrgica en el embarazo, dado el alto riesgo de rotura, que puede llegar a ser letal tanto para la madre como para el feto. El autotrasplante tras resección del aneurisma y reconstrucción ex vivo se considera de elección en casos de aneurismas complejos con anastomosis arteriales múltiples1.
CONCLUSIÓN
La cirugía en este caso permitió una reducción considerable en el número de fármacos antihipertensivos, además de la conservación de la función renal e integridad estructural.
Conflictos de interés
Los autores declaran que no tienen conflictos de interés potenciales relacionados con los contenidos de este artículo.
Figura 1. Arteriografía
Figura 2. Cirugía de banco







