INTRODUCCIÓN
La biopsia renal es uno de los procedimientos que más ha contribuido al conocimiento de las enfermedades renales. Se utiliza desde hace casi 60 años y algunos aspectos acerca de indicaciones, técnicas de obtención de tejido renal, procesamiento de la muestra, complicaciones y balance riesgo-beneficio no han perdido vigencia. Es una técnica invasiva, y aunque en la mayoría de los casos no hay complicaciones, siempre existe un cierto riesgo. Por tanto, es indispensable que para hacer una biopsia renal se cumplan las siguientes condiciones: 1) agotar todos los procedimientos no invasivos para el diagnóstico de enfermedades renales cuyos signos y síntomas son compatibles con enfermedades parenquimatosas; 2) considerar que la información suministrada por la biopsia va a proporcionar un diagnóstico de certeza; 3) asegurar que se puede hacer estudio por un patólogo experto, con microscopio óptico, inmunofluorescencia y electrónico; 4) prever que este diagnóstico influirá en el tratamiento y el pronóstico.1 En ningún caso se acepta que la biopsia sirva para completar un diagnóstico sin transcendencia clínica o como objetivo de docencia para residentes u otros médicos en período de formación. Hacer una biopsia renal supone un compromiso ético y profesional donde el médico y el paciente deben estar de acuerdo.2
Para un mejor aprovechamiento de la biopsia renal, se requiere una buena relación personal y profesional entre clínicos y patólogos. Ambos se necesitan y las correlaciones clínico-patológicas son imprescindibles para cumplir los objetivos de la biopsia renal. El clínico debe tener unas indicaciones claras con datos clínicos bien recogidos, y el patólogo debe disponer de experiencia y posibilidades de hacer un estudio completo de la muestra, como hemos indicado anteriormente. Por tanto, el clínico debe saber algo de anatomía patológica, y el patólogo debe conocer los síndromes clínicos elementales y sus correlaciones con la histología. La discusión entre ambos a pie de microscopio y en reuniones periódicas entre sus Servicios son imprescindibles. Una buena prueba de la importancia y utilidad de esta colaboración son las reuniones anuales del Club de Nefropatología de la Sociedad Española de Nefrología y Anatomía Patológica, donde se discuten datos clínicos e histológicos, con gran aceptación por los miembros de ambas especialidades. El Dr. Vázquez Martul insiste, en un reciente editorial,3 que el Servicio de Anatomía Patológica debe tener un especialista dedicado a enfermedades renales, con permanente actualización y con los medios físicos y personales para evitar que algunas biopsias no se analicen correctamente. En resumen, la biopsia renal debe servir para llegar a un diagnóstico de certeza, orientar el tratamiento e informar acerca del grado de actividad y de cronicidad.4
A continuación, resumimos los aspectos más importantes sobre la biopsia renal de riñones nativos mediante punción percutánea. Muchos de los puntos son comunes a la biopsia de riñones trasplantados, aunque con algunas peculiaridades que se detallan en un reciente documento de consenso.5
INDICACIONES
Las indicaciones de la biopsia renal cambian dependiendo de los médicos, de los centros e, incluso, de las épocas. No todos los países tienen los mismos criterios, y en muchas ocasiones las posibilidades de estudio o la interpretación de los resultados influyen sobre cuándo y a quién se debe realizar biopsia renal. En cualquier caso, la indicación se basa en el síndrome o síndromes clínicos predominantes y debe ser discutida en cada Servicio de forma individualizada. En nuestro medio contamos con el Registro de Glomerulonefritis de la Sociedad Española de Nefrología, que ha recogido más de 15.000 biopsias renales de riñones nativos desde 1994, con una media aproximada de 1.300 biopsias anuales.6 Las figuras 1 y 2 representan por orden de frecuencia los síndromes clínicos que han indicado la biopsia y que detallamos a continuación (tabla 1). En otros países, estas frecuencias no son las mismas, pero las discusiones respecto a las indicaciones son universales.
SÍNDROME NEFRÓTICO
Es la primera indicación en nuestro país y la menos discutida en general. No obstante, existen algunas excepciones: 1) en el primer brote de síndrome nefrótico idiopático infantil, dado que más del 90% tiene nefropatía por cambios mínimos y responde al tratamiento con esteroides; 2) en la nefropatía diabética de evolución típica; y 3) en presencia de amiloidosis diagnosticada por otros procedimientos menos agresivos como aspirado de grasa subcutánea o biopsia rectal. Los casos de síndrome nefrótico corticorresistentes o corticodependientes, así como los diabéticos con enfermedad renal atípica, pueden tener, en opinión de algunos autores, indicación de biopsia renal.1
PROTEINURIA AISLADA
Los pacientes con proteinuria aislada inferior a 1 g/24 h y sedimento normal, sin hipertensión ni deterioro renal, tienen muy buen pronóstico. La biopsia renal no modifica el tratamiento y, por tanto, no está indicada. No obstante, cuando esta proteinuria es superior 1 g/24 h, algunos autores recomiendan hacer biopsia, ya que el pronóstico no es tan bueno y hay varias entidades que tienen enfoques terapéuticos diferentes como glomeruloesclerosis focal, nefropatía IgA y nefropatía membranosa.7 En cualquier caso, hay que descartar otras enfermedades que cursan con proteinuria aislada donde no se necesita biopsia renal para el diagnóstico ni para el tratamiento: reflujo vesicoureteral, pérdida de masa renal, obesidad importante, diabetes mellitus, hipertensión de larga evolución y mieloma múltiple.
HEMATURIA AISLADA
La hematuria de origen glomerular que no se acompaña de proteinuria, hipertensión ni disminución de filtrado glomerular tiene también un pronóstico excelente. Cuando se ha hecho biopsia, se han encontrado los siguientes hallazgos: glomérulos normales, nefropatía IgA, membrana basal fina o enfermedad de Alport. Ninguna de ellas, en este contexto clínico, tiene tratamiento, y dado el pronóstico no está justificado hacer biopsia renal. Se pueden hacer dos excepciones: 1) necesidad de consejo genético; y 2) estudio de donante vivo. En estas situaciones, es imprescindible un estudio detallado con microscopio electrónico. Obviamente, si se considera que hay que hacer biopsia renal, es imprescindible descartar hematuria de origen urológico, así como hipercalciuria o hipercuricosuria.1
PROTEINURIA Y HEMATURIA ASINTOMÁTICAS
La asociación entre proteinuria y hematuria orientan hacia una nefropatía glomerular. Las restricciones para indicar biopsia renal son las mismas que cuando van aisladas.
INSUFICIENCIA RENAL AGUDA
La mayoría de los fracasos renales agudos se deben a causas que no requieren biopsia para su diagnóstico o tratamiento: depleción hidrosalina, necrosis tubular u obstrucción de vías. No obstante, alrededor de un 8% no tiene una causa clara, y si presentan características atípicas como hematuria, cilindruria o proteinuria son indicación de biopsia renal urgente para descartar glomerulonefritis rápidamente progresivas, vasculitis o nefropatías tubulointersticiales agudas.8 Estas enfermedades requieren tratamientos agresivos que deben justificarse según datos histológicos.
SÍNDROME NEFRÍTICO AGUDO
El síndrome nefrítico agudo en la edad infantil se debe en casi todos los casos a glomerulonefritis posinfecciosa de evolución favorable con tratamiento sintomático. Por tanto, no está indicada la biopsia renal. En los casos de presentación atípica o cuando aparecen en adultos, se suele hacer biopsia, pues hay otras entidades con diferente pronóstico y tratamiento.
HEMATURIA MACROSCÓPICA RECIDIVANTE
Al igual que las alteraciones urinarias asintomáticas, las indicaciones de biopsia son controvertidas. Cuando se asocian a proteinuria persistente superior a 1 g/24 h, muchos autores defienden hacer biopsia para diferenciar entidades de diferente pronóstico y tratamiento: nefropatía IgA, enfermedad de Alport, u otras.
INSUFICIENCIA RENAL CRÓNICA
No está indicada la biopsia, ya que la rentabilidad diagnóstica es mínima y los riesgos elevados. En algunos casos con deterioro inexplicado y riñones de tamaño superior a 9 cm, la biopsia puede ser útil desde un punto de vista diagnóstico (en casos de nefropatía IgA), pero no aporta nada en relación con el tratamiento ni con el pronóstico.
ENFERMEDADES SISTÉMICAS
El lupus eritematoso, algunas vasculitis, la enfermedad de Goodpasture y otras enfermedades sistémicas afectan al riñón y condicionan su pronóstico. La aparición de anomalías urinarias o deterioro renal de causa parenquimatosa son indicación de biopsia renal, incluso con rangos de proteinuria inferiores a los aceptados en las nefropatías primarias. La determinación de anticuerpos anti-MBG y ANCAS ayudan para el diagnóstico, pero no sustituyen a la biopsia renal, ya que carecen de valor pronóstico y no ayudan a planificar el tratamiento.4
CONTRAINDICACIONES
Las contraindicaciones están enumeradas en la tabla 2. La más importante es la diátesis hemorrágica. Es importante disponer de un estudio de coagulación convencional con el tiempo de sangría. Curiosamente, este último no se hace de rutina en muchos hospitales. Algunas contraindicaciones pueden ser relativas si se logra corregir la causa: control de la coagulación, normalización de tensión arterial o esterilización de la orina.
REQUISITOS
La tabla 3 contiene los requisitos mínimos para hacer una biopsia renal. Es imprescindible que la coagulación sea normal o esté controlada en el momento de la biopsia. Los antiagregantes plaquetarios y los AINE se deben suprimir al menos una semana antes de la biopsia y reiniciarlos una semana después si no han aparecido complicaciones. Si el paciente está anticoagulado con acenocumarol (Sintrom®), hay que programar su paso a heparina y hacer controles de hemostasia antes de la punción. Además, la tensión debe ser inferior a 140/90 mmHg y el cultivo de orina negativo. Hay que tener constancia en la ecografía de la presencia y características de los dos riñones. Los pacientes con mayor riesgo de complicaciones reúnen las características indicadas en la tabla 4. En ellos es conveniente iniciar profilaxis con desmopresina iv antes de la biopsia (Minurín® 3 μg/kg iv, en infusión lenta de 30 minutos, 1-2 horas antes de la biopsia, en glucosado 5%). También es recomendable conocer el grupo sanguíneo y reservar sangre.
TÉCNICA
La biopsia renal percutánea dirigida con ecografía en tiempo real es la técnica de elección9,10 y permite obtener material suficiente en más del 95% de los casos. Es conveniente que se sigan los pasos de una vía clínica para evitar la variabilidad y coordinar a los profesionales implicados: médicos, ATS y auxiliares. La biopsia debe realizarse por un médico experimentado y nunca por especialistas en formación no supervisados.9 La polémica sobre quién debe ser el protagonista del procedimiento (nefrólogo, radiólogo o urólogo) no está cerrada11 y depende de la organización, experiencia y disponibilidades de cada hospital. Lo realmente importante es que el nefrólogo participe de forma activa y que la biopsia sea segura y eficaz.
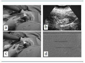
La figura 3 resume los pasos más importantes, que resumimos a continuación.10,12 El paciente debe estar en ayunas y tener canulada una vía venosa periférica. Debe permanecer en decúbito prono y colaborar con los movimientos respiratorios. Es conveniente administrar atropina sc y un ansiolítico oral para mejorar la colaboración y evitar reacción vagal. Hay que localizar el riñón mediante ecografía, especialmente el polo inferior del riñón izquierdo donde habitualmente es más fácil la punción con menos riesgos de lesionar otros órganos. Posteriormente, hay que administrar anestesia local y desinfectar la zona de punción. Las sondas ecográficas con adaptador para la aguja permiten la visualización del riñón en tiempo real y se puede guiar la progresión de la aguja. La punción a ciegas no es recomendable aunque se haya localizado la posición renal en ecografía previa. No obstante, a veces no se dispone de esta posibilidad y hay que guiarse por métodos indirectos, como las oscilaciones de una aguja de punción lumbar con los movimientos respiratorios al puncionar la cápsula renal. Las denominadas pistolas con disparo automático que llevan incorporadas agujas ecogénicas de 14-18 G son las más sencillas de utilizar, con menos riesgos y similar eficacia diagnóstica comparadas con las antiguas agujas manuales tipo TruCut o la modificada de Menghini.9,13,14 En nuestra experiencia, la aguja Monopty (Bard®) es muy fácil de utilizar y obtiene material en la mayoría de las ocasiones. Por supuesto, hay que extremar las medidas de precaución universales para evitar contagios procedentes de pacientes infectados por virus C, VIH, B u otros agentes. Es conveniente extraer dos cilindros renales y llevarlos inmediatamente al Laboratorio de Anatomía Patológica, e identificar si hay glomérulos suficientes, es decir, más de cinco glomérulos en cada uno de ellos, idealmente diez o más, ya que las muestras con menos glomérulos no son capaces de detectar lesiones focales. En caso de que no haya material, se debe repetir la punción siempre que el paciente pueda colaborar. No es recomendable sobrepasar las cuatro punciones. En los casos donde hay que trasladar los cilindros a otro hospital, hay que organizar con detalle la forma de transporte. Para que la biopsia sea útil, es esencial el transporte del material al Laboratorio de Anatomía Patológica, el muestreo y preservación del material, la elección de las técnicas especiales y, por supuesto, el rigor y la exhaustividad en el informe del patólogo.15,16 Desgraciadamente, no siempre se guarda muestra o no se puede hacer estudio con microscopio electrónico y algunas biopsias, al menos en nuestro país, se estudian de forma incompleta. Según los datos del Registro de Glomerulonefritis, sólo un 18% de las biopsias tiene estudio completo, mientras que la mayoría, el 75%, tiene informe convencional con óptico e inmunofluorescencia. Aunque muchas enfermedades renales no requieren estudio ultraestructural, otras entidades sólo pueden ser diagnosticadas mediante esta técnica. Una vez finalizada la biopsia, es conveniente que se inicie la cumplimentación de un formulario con los datos clínicos y analíticos, como control interno de las biopsias de cada Servicio. También puede servir para enviar los datos al Registro de Glomerulonefritis de la SEN, cuando se tenga el diagnóstico definitivo.
TÉCNICAS ALTERNATIVAS A LA BIOPSIA PERCUTÁNEA
Si existen contraindicaciones para la punción percutánea, su riesgo es elevado o no se ha podido extraer material en la punción percutánea, se han propuesto otras alternativas: biopsia a cielo abierto, acceso transyugular, biopsia por laparoscopia o en posición supino oblicua, especialmente en pacientes obesos o con problemas respiratorios.17 La elección depende de la experiencia y las posibilidades de cada centro.
COMPLICACIONES
La hemorragia es la complicación más temida (tabla 5). Para evitarla, es imprescindible que el paciente guarde reposo y beba abundantes líquidos. Hay que vigilar tensión y pulso y supervisar la zona de punción y el color de la orina. El paciente debe permanecer al menos 24 horas en el hospital, tras lo cual puede ser dado de alta si no han aparecido complicaciones.
Casi todos los pacientes tienen microhematuria y hasta un 12% de los pacientes tiene hematuria macroscópica que suele ser autolimitada y cede con reposo en pocas horas. Si se produce en el sistema colector, da lugar a obstrucción uretral. Cuando la hemorragia se vierte al espacio retroperitoneal, puede complicarse con disminución de la hemoglobina e hipovolemia. La ecografía urgente es imprescindible ante la sospecha de complicaciones. En caso de hemorragia activa, el tratamiento con procedimientos endovasculares, con embolización selectiva del vaso sangrante, resuelve los problemas de forma eficaz. Alrededor de un 1% necesita transfusión, y un 0,1% embolización o cirugía. La mortalidad es muy baja, inferior al 0,1%.12
Si la colección de sangre se almacena en la cápsula renal, da lugar a un taponamiento renal que cursa con hipertensión por estímulo del sistema renina-angiotensina (riñón de Page).
La fístula arteriovenosa silente es muy frecuente y la mayoría cura de forma espontánea. En casos graves, ocasiona hematuria, hipotensión e insuficiencia cardíaca. El procedimiento diagnóstico es la ecografía doppler, cuyo tratamiento es la embolización selectiva.1
CONCLUSIONES
La biopsia renal es un procedimiento indispensable en el estudio de muchas enfermedades renales, pero es necesario tener criterios bien definidos acerca de sus indicaciones para que tenga rentabilidad diagnóstica, ayude a establecer el pronóstico y contribuya a modificar el tratamiento.
Puntos clave
1. La biopsia en una herramienta indispensable en el estudio de muchas enfermedades renales.
2. La biopsia renal tiene ciertos riesgos y consume tiempo y recursos médicos, por lo que antes de su realización se requiere, como mínimo:
1) Agotar todos los procedimientos no invasivos.
2) Considerar que la información suministrada proporciona un diagnóstico de certeza.
3) Asegurar que se puede hacer estudio histológico completo.
4) Prever que el informe histológico influye en el tratamiento y pronóstico.
3. La colaboración entre clínicos y patólogos es indispensable.
4. Las indicaciones más frecuentes son el síndrome nefrótico, las alteraciones importantes de la analítica urinaria y el fracaso renal agudo de origen incierto.
5. Las contraindicaciones más importantes son las alteraciones de la coagulación, la presencia de riñones pequeños o con anomalías anatómicas, la infección urinaria y la hipertensión descontrolada.
6. Es necesario reconocer a los pacientes de mayor riesgo: presencia de insuficiencia renal, antecedentes de hipertensión, cortical adelgazada y edad avanzada. En estos pacientes, está justificado el uso profiláctico de desmopresina.
7. La técnica más reconocida es la punción percutánea ecodirigida en tiempo real, usando pistolas automáticas. Existen otros procedimientos alternativos, en sujetos de riesgo o cuando fracasa la punción.
8. El estudio con microscopio óptico, inmunofluorescencia y, en muchas ocasiones, microscopio electrónico es indispensable para un diagnóstico de certeza.
9. Las complicaciones más temidas son las hemorrágicas, la mayoría de ellas con buena respuesta al tratamiento conservador.
Tabla 1. Indicaciones de biopsia renal
Tabla 2. Contraindicaciones de biopsia renal percutánea
Tabla 3. Requisitos para realizar biopsia renal
Tabla 4. Criterios de riesgo para biopsia renal
Tabla 5. Complicaciones de la biopsia renal
Figura 1. Indicación de biopsia renal según síndromes clínicos. Datos del Registro de Glomerulonefritis de la Sociedad Española de Nefrología.
Figura 2. Distribución de los síndromes según grupos de edad. En todas las edades predomina el síndrome nefrótico seguido de alteraciones urinarias en niños y adultos, y fracaso renal agudo en mayores de 65 años. Datos del Registro de Glomerulonefritis de la Socied
Figura 3. Biopsia renal percutánea: a) anestesia local de la zona de punción; b) localización del riñón con ecografía y visualización de la zona de progresión de las agujas para visualizar en tiempo real su progresión y zona de punción; c) utilización de pistola au












