La colitis eosinofílica por tacrolimus es una condición poco frecuente en los trasplantados renales, y se asocia con una alta morbilidad. Generalmente ocurre en los pacientes con antecedentes de atopia; los síntomas principales son gastrointestinales, y el más frecuente es la diarrea. Se hace necesario un enfoque adecuado en la diarrea postrasplante para lograr un diagnóstico adecuado. En pacientes con sospecha de colitis eosinofílica siempre se requiere la realización de biopsia de colon, en la que se pueden observar acúmulos de eosinófilos con formación de microabscesos.
Describimos el caso de un niño trasplantado renal, con antecedente de asma, que fue hospitalizado por un episodio de diarrea persistente y en quien se descartaron todas las posibles causas infecciosas. La biopsia de colon informó de colitis eosinofílica, por lo que se modificó su terapia inmunosupresora, con resolución de los síntomas.
INTRODUCCIÓN
La diarrea postrasplante es una complicación frecuente en los trasplantados renales, y se presenta aproximadamente en el 11,5, 17,5 y 22,6% a 1, 2 y 3 años postrasplante, respectivamente1,2. Estudios previos sugieren que esta complicación gastrointestinal puede impactar de forma negativa en la calidad de vida de los pacientes; asimismo, puede incrementar el riesgo de pérdida del injerto y de muerte del paciente2,3. Desafortunadamente, la diarrea postrasplante se considera, en muchas ocasiones, como un efecto adverso inevitable de las terapias inmunosupresoras1, lo que lleva a la no búsqueda de su causa o a la realización de tratamientos inapropiados1.
La etiología de la diarrea postrasplante puede incluir causas infecciosas y no infecciosas. Entre las causas no infecciosas se encuentran los medicamentos inmunosupresores, el más implicado es el micofenolato (tabla 1). El tacrolimus también se ha asociado como causa de diarrea postrasplante, aunque con menor frecuencia4. El tacrolimus es un macrólido que se usa como terapia inmunosupresora en trasplante renal para prevenir el rechazo del injerto. Se ha descrito que este inmunosupresor puede ser tóxico para el intestino y causar una colitis eosinofílica4. La diarrea, además de generar deshidratación, disminuye la expresión de la glucoproteína P (proteína de resistencia a fármacos), que es la encargada de transportar el tacrolimus de regreso hacia el intestino; este incremento en la biodisponibilidad oral aumenta los niveles sanguíneos de tacrolimus y, a su vez, puede generar toxicidad renal1,5.
Presentamos el caso de un paciente trasplantado renal que presentó colitis eosinofílica asociada a régimen de inmunosupresión con tacrolimus, que posteriormente mejoró al cambiar a ciclosporina.
CASO CLÍNICO
Paciente de 10 años de edad, con antecedentes de enfermedad renal crónica terminal secundaria a valvas de uretra posterior, por lo que se hace trasplante renal de donante fallecido. Como terapia inmunosupresora de mantenimiento, el paciente recibe prednisolona 5 mg/día, micofenolato mofetilo 1.000 mg/día y tacrolimus 5 mg/día.
Ocho meses después del trasplante renal, el paciente presentó episodios de diarrea persistente de 2-3 deposiciones líquidas al día, sin fiebre ni otros síntomas asociados; se sospechó diarrea de origen gastrointestinal secundaria a medicamentos, por lo que se decidió cambiar micofenolato mofetilo a micofenolato sódico 360 mg cada 8 h. Un mes después es hospitalizado por aumento de la creatinina sérica, sospecha de rechazo y persistencia de la diarrea. Durante esta hospitalización se realizó biopsia renal, que descartó rechazo. Los niveles de creatinina sérica desciendieron a sus valores basales previos, posteriormente a la corrección del estado de deshidratación.
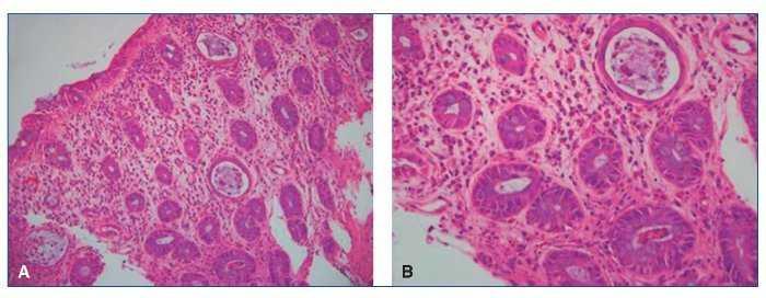
Se realizaron paraclínicos, entre ellos perfil infeccioso completo, que descartaron colitis de origen infecciosa (tabla 2). El hemograma reportó un valor de eosinófilos del 3,9% (valor absoluto, 269) y los niveles de tacrolimus fueron de 4,9 ng/ml. El paciente fue evaluado por gastropediatría, que planteó posible cuadro de colitis por medicamento. Se realizó colonoscopia con biopsia, que mostró hallazgos compatibles con colitis eosinofílica sin hallazgos compatibles de lesiones colónicas por micofenolato (fig. 1). En valoración conjunta por nefrología y gastroenterología pediátrica se consideró el diagnóstico de colitis eosinofílica por tacrolimus, y se ordenó cambio a ciclosporina, con lo que presentó mejoría clínica y resolución de la diarrea.
Figura 1. Hallazgos histológicos en la biopsia de colon.
A) Mucosa de colon (H&E, ´200): lámina propia con acúmulo de eosinófilos que forman microabscesos y hacen exocitosis a las criptas. B) Mucosa de colon (H&E, ´400): microabscesos de eosinófilos que comprometen la lámina propia y hacen exocitosis a las criptas. Además, se observan algunos cuerpos apoptóticos.
DISCUSIÓN
La colitis eosinofílica es una enfermedad que se caracteriza por la infiltración de eosinófilos en ausencia de parásitos, se puede presentar en cualquier segmento del tubo digestivo y es la afectación exclusiva del colon excepcional6. Su etiología no está clara, se considera que es un desorden atópico mediado por linfocitos Th27. En la actualidad se describen 2 grupos etiológicos como causantes de colitis eosinofílica: las primarias (sin factor causal claro) y las secundarias (medicamentos, infecciosas, autoinmunes); se han asociado diferentes medicamentos al riesgo de colitis eosinofílica, entre ellos clozapina, carbamazepina, rifampicina, naproxeno y tacrolimus8.
Tacrolimus es un inhibidor de la calcineurina, y se utiliza como medicamento inmunosupresor en el trasplante renal. Entre los efectos adversos asociados a tacrolimus se encuentran la neurotoxicidad, la nefrotoxicidad, las infecciones y las complicaciones malignas6; adicionalmente, hay reportes que sugieren riesgo de desarrollar condiciones alérgicas, como colitis eosinofílica, con el uso de tacrolimus6. En un estudio realizado en 16 niños trasplantados de hígado que recibieron tacrolimus como terapia inmunosupresora, 3 de ellos desarrollaron enterocolitis eosinofílica; estos pacientes no tenían antecedentes de gastropatía antes del inicio del tracrolimus y todos ellos evolucionaron satisfactoriamente después del cambio del medicamento inmunosupresor9. Romero et al10 evaluaron factores de riesgo asociados con el riesgo de gastroenteritis eosinofílica en pacientes trasplantados de hígado; los autores sugieren que la edad joven en el momento del trasplante y la inmunosupresión con tacrolimus pueden ser factores para esta complicación.
Hay pocos reportes de colitis eosinofílica en trasplante renal. Bush et al11, en una serie de trasplantes de corazón, riñón e hígado, informaron de la presencia de colitis eosinofílica en 2 pacientes de un grupo de 275 trasplantados de riñón, con una incidencia del 1,8%, que fue menor que en el trasplante de corazón y de hígado. Estos 2 casos reportados tuvieron hallazgos en la biopsia de rechazo sobreagregado. Ambos tuvieron eosinofilia, que precedió al diagnóstico de la colitis eosinofílica. Nuestro paciente tuvo una discreta elevación del recuento de eosinófilos en sangre y no se encontraron hallazgos histológicos en el momento del diagnóstico11.
Exiten diferentes hipótesis que explican la relación de tacrolimus y la colitis eosinofílica. Al parecer, el tacrolimus, al inhibir la producción de interleucina 2, genera una alteración en el perfil de citocinas, especialmente un aumento en la producción de interleucina 5; esto contribuye a un predominio en las células Th2 con respecto a las Th16, lo que incrementa las reacciones alérgicas frente a la exposición de antígenos10; adicionalmente, el tacrolimus incrementa la permeabilidad colónica e intestinal; esto permite un aumento en el transporte transepitelial de antígenos que predisponen al desarrollo de alergias alimentarias9,10. Tambien se ha descrito un incremento en los niveles séricos de IgE en pacientes con colitis eosinofílica, lo que puede contribuir a lesionar la mucosa intestinal6,9. Aunque el tacrolimus y la ciclosporina tienen un perfil de toxicidad muy similar, la colitis eosinofílica solo se ha descrito con el uso de tacrolimus. No se ha documentado que los niveles de tacrolimus se relacionen con el riesgo de desarrollar esa condición; nuestro paciente tenía niveles séricos normales de tacrolimus en el momento del diagnóstico.
La presentación clínica depende de la afectación intestinal; los síntomas más frecuentes son la diarrea intermitente, el vómito y la hematoquecia7. Otros síntomas incluyen dolor abdominal, náuseas, obstrucción intestinal, mala absorción, pérdida de peso y vómito8. Estos pacientes, en su mayoría, tienen historia personal o familiar de atopia, lo que puede ser un factor de riesgo para enfermedades alérgicas alimentarias después del trasplante renal12.
Para su diagnóstico se requiere la presencia de síntomas gastrointestinales. Hay algunos test complementarios que pueden ayudar, como los niveles de IgE y la eosinofilia; sin embargo, estos tienen baja sensibilidad y especificidad8. La biopsia intestinal se debe realizar para confirmar su diagnóstico y descartar otras posibles causas7; idealmente se necesitan múltiples biopsias, ya que el compromiso intestinal de la colitis eosinofílica es frecuentemente en parches. Al microscopio se puede observar un aumento en el número de eosinófilos que invaden la lámina propia y, frecuentemente, se extiende a la submucosa y la muscularis propia7,8. Con respecto al punto de corte en el número de eosinófilos por campo de alto poder (CAP), este aún no esta completamente establecido; algunos grupos sugieren 20 eosinófilos por CAP7; sin embargo, este número de eosinófilos en el intestino debe ir acompañado de otros hallazgos microscópicos adicionales, como la presencia de abscesos eosinofílicos, edema, degranulación eosinofílica y eosinófilos en el epitelio.
Hay algunas limitaciones de nuestra descripción de caso, entre ellas el ser un reporte de un paciente, lo cual impide hacer generalizaciones, pero se aporta desde la experiencia.
CONCLUSIÓN
La colitis eosinofílica por tacrolimus en pacientes trasplantados renales es inusual; sin embargo, puede afectar la supervivencia del injerto y del paciente. Por este motivo este diagnóstico se debe considerar en la evaluación del paciente trasplantado con presencia de diarrea crónica y/o persistente9,12. Se hace imperativo la realización de biopsia del colon en todos los pacientes trasplantados con diarrea persistente en quienes se descarte una patología infecciosa.
Conflicto de intereses
Los autores declaran no tener ningún conflicto de intereses.
Agradecimientos
Al Hospital Pablo Tobón Uribe por permitir la realización de este reporte de caso.
Correspondencia:
Lina María Serna-Higuita
Instituto de Epidemología Clínica y Biometría.
Hospital Universitario de Tübingen. Silcherstr. 5, Ebene 7. 72076 Tübingen. Alemania
Lm.serna@hotmail.com;
lina.serna-higuita@med.uni-tuebingen.de
Revisión por expertos bajo la responsabilidad de la Sociedad Española de Nefrología.







