La hematuria en ausencia de una condición subyacente obvia (p. ej. cistitis, nefrolitiasis) es bastante común. En muchos de estos pacientes, particularmente en adultos jóvenes, la hematuria es transitoria y no tiene consecuencias. La esquistosomiasis, es una enfermedad que puede causar cistitis hemorrágica y asociarse a cáncer vesical1,2. Esta es causada por el Schistosoma haematobium (S. haematobium), siendo más frecuente en África y en el medio Oriente3. La prevalencia de esquistosomiasis en España no se conoce. Presentamos el caso de un paciente de 20 años de edad, procedente de Madagascar, en España desde hace cinco años, que consulta por hematuria macroscópica intermitente, secundaria a esquistosomiasis urinaria además de parasitosis intestinal por Trichuris trichuria (T. trichuria) y Necator americanus (N. americanus).
Paciente de 20 años que consulta por primera vez al médico de primaria en el año 2012, solicitando analítica sanguínea rutinaria y completar esquema de vacunación. En esa ocasión presenta hematuria macroscópica intermitente, episodios aislados de clínica miccional y fiebre, dolor a la palpación suprapúbica y puño percusión renal negativa, siendo tratado empíricamente con azitromicina y doxiciclina, en vista de contactos sexuales de riesgo. En consultas sucesivas refiere persistencia de hematuria macroscópica, analítica sanguínea sin alteraciones, orina con hematíes y leucocitos abundantes, y cociente albúmina/creatinina de 300mg/mg. En el 2013, es derivado al Servicio de Urología, realizándose ecografía urológica, que descarta alteraciones del sistema urinario. Posteriormente, el paciente es remitido al Servicio de Nefrología, presentando en el momento de la evaluación, episodios de infección respiratoria con tos seca. A la exploración física, ligeras sibilancias en campo pulmonar izquierdo, sin otros hallazgos significativos. Se mantienen alteraciones del sedimento urinario, y destaca eosinofilia importante en sangre. El estudio inmunológico resultó negativo, la ecografía abdominal sin alteraciones, y en serologías anticuerpos contra VHB; no se realizaron más estudios, por no contar con tarjeta sanitaria según la legislación vigente en aquel momento. El paciente acude a consulta nuevamente en noviembre de 2016 presentando clínica similar al 2012. Exámenes de laboratoio revelan: hemoglobina 15,6g/dl, leucocitos 7480/μl con 36% de neutrófilos y 17% de eosinófilos, plaquetas 172000/μl, creatinina 0,6mg/dl con filtrado glomerular estimado >90ml/min/1,73m2, potasio 5,2 mmol/L, sodio 138 mmol/L, hierro 40μl/dl, ferritina 18 ng/ml, sedimento: 163 leucocitos/μl, 104 hematíes/μl.
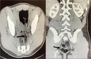
Se repite ecografía abdominal objetivándose ambos riñones con aparente discreto engrosamiento cortical difuso y ligera ectasia calicial bilateral simétrica, vejiga replecionada con ecos internos en relación con la presencia de contenido (detritus y fibrina). Se decide completar estudio con Uro-TAC (fig. 1), con hallazgos sugestivos de esquistosomiasis urinaria. Se realiza estudio parasitológico en orina observando: abundantes huevos de S. haematobium. Así mimo, en el estudio parasitológico se detectan huevos de T. trichuria y N. americanus en heces. Es derivado a consulta de Medicina Interna, instaurándose tratamiento con albendazol y praziquantel, con estudios parasitológicos subsecuentes negativos; actualmente a seguimiento en vista de viajes frecuentes a Madagascar y Mozambique.
La esquistosomiasis es una enfermedad parasitaria producida por gusanos platelmintos de la clase tremátodos, del género Schistosoma. Es relativamente común en países en vías de desarrollo, especialmente en África4. Aunque su mortalidad es baja, la esquistosomiasis es altamente incapacitante, teniendo un gran impacto sanitario y económico. Hay cinco especies que producen la enfermedad en humanos, cada una con sus manifestaciones clínicas respectivas: Schistosoma mansoni e intercalatum: esquistosomiasis intestinal, S. haematobium: esquistosomiasis urinaria, Schistosoma japonicum y mekongi: variedad asiática.
El diagnóstico clínico y epidemiológico se orienta con el interrogatorio, deduciendo el posible contacto con agua de zonas endémicas o de alto riesgo5,6. El paciente suele presentarse con micro- o macrohematuria, piuria, y en infecciones de mayor evolución, incluso uropatía obstructiva debido a la inflamación granulomatosa, fibrosis, o calcificación del tracto urinario. La identificación de los huevos en heces o en orina mediante técnicas de microscopía es el método diagnóstico más práctico, siendo la unidad de medida el número de huevos por gramo de heces u orina. Ante sospecha de S. haematobium es preferible el examen en orina. En casos de resultados negativos puede realizarse biopsia de vejiga.
Uno de los fármacos más eficaces contra la fase aguda de la esquistosomiasis es el praziquantel; aunque otros igualmente eficientes como el albendazol y metronidazol son usados comúnmente7. No obstante, no evita reinfecciones8. A pesar de que en pacientes jóvenes la hematuria transitoria no tiene consecuencias, en algunos casos debe ser estudiada minuciosamente, sobre todo, en pacientes en áreas endémicas en contacto con esquistosomiasis.






