Hombre de 26 años, sin antecedentes personales ni familiares de interés. Acude a nefrología remitido desde atención primaria por hipertensión arterial (HTA) de 150/90 mmHg, con frecuentes crisis hipertensivas desde hacía 2 años, en tratamiento sólo con captopril 25 mg/8 h. Aún sin considerar por definición HTA secundaria, se decide iniciar estudio por la edad del paciente.
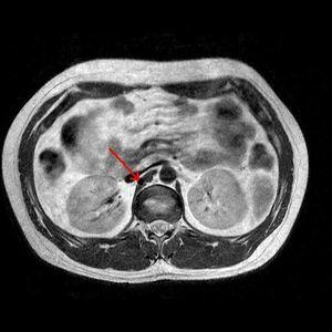
Exploración física normal salvo IMC: 32 kg/m2. Ecocardiograma, electrocardiograma y retina estrictamente normales. Hemograma, urea, creatinina, perfil hepático y lipídico, TSH, aldosterona, cortisolemia, actividad de renina plasmática (ARP) y sedimento urinario normales. ClCR (MDRD): 103 ml/min. Orina 24 h: 0,10 g prot, ácido vanilmandélico, metanefrinas, 5 OH indolacético normales. Ecografía Doppler renal: riñón derecho: 11,1 cm; riñón izquierdo: 13,2 cm; se detecta aumento de velocidad en arteria renal principal derecha (ARD) mayor a 3 cm/m, con ondas tardus parvus en segmentarias, sugiriendo estenosis de ARD mayor del 70%. Angiorresonancia: origen alto de ARD, con irregularidad y disminución de calibre en tercio medio, que se debe a anomalía en su origen, naciendo posterior y por encima de la inserción de crura diafragmática, por lo que debe atravesarla. Ante tales hallazgos se realiza arteriografía renal selectiva que confirma los hallazgos. Se realiza ACTP de la estenosis con buen resultado morfológico y clínico (presión arterial normal sin necesidad de medicación).
Transcurridos 2 meses, vuelve a presentar presión arterial: 170/90 mmHg, repitiéndose la batería diagnóstica, objetivando restenosis de arteria renal. Se realiza cateterización de ambas venas renales para determinación de ARP, pero resulta infructuosa por problemas técnicos. Preveyendo restenosis repetidas tras ACTP, se plantea ojal difragmático con cirugía torácica y cardiovascular que se desestima dada la elevada posibilidad de restenosis por musculatura elástica del diafragma o herniación de contenido abdominal en caso contrario. Urología acepta autotrasplante renal mediante nefrectomía laparoscópica e implante en fosa ilíaca derecha. Se propone al paciente riesgo-beneficio, decidiéndose en conjunto mantener una actitud conservadora con medicación antihipertensiva (2 fármacos sin diurético).
Figura 1. Angio-RM de arterias renales: se visualiza la arteria renal derecha atravesando la crura diafragmática.
Figura 2. Angio-RM de arterias renales: origen anómalo de arteria renal derecha, con persistencia de la tortuosidad y estenosis en el tercio superior, secundarias a su paso a través de la crura diafragmática






