Sr. Director:
Presentamos el caso de una mujer de 48 años, fumadora, con antecedentes de rinitis alérgica e hiperreactividad bronquial. Intervenida de amigdalectomía, carcinoma basocelular y conización cervical por displasia moderada CIN II, infección por virus del papiloma humano, cervicitis erosiva y metaplasma escamosa. Remitida en julio de 2008 por hematuria indolora persistente durante meses, sin historia de litiasis o infección urinaria. Se confirma microhematuria (30-50 H/C) con 8-15 % de dismorfias sin microalbuminuria (0,15 g proteinuria en orina 24 horas).
La exploración física, Monitorización Ambulatoria de la Presión Arterial (MAPA), eco-Doppler renovesical y angiorresonancia renal resultaron normales. Urología descarta lesiones por cistografía y la citología urinaria resultó negativa para células neoplásicas.
Analítica: se detecta elevación persistente de IgE, IgM (220-400 mg/dl) y ASLO (anticuerpos antiestreptolisina) (330-338 UI/l). Resto de autoinmunidad (crioglobulinas, factor reumatoide, IgA, IgG, C3, C4, anticuerpos antinucleares, anticuerpos anticitoplasma de neutrófilos, anticuerpos antimembrana basal glomerular, proteinograma) y marcadores tumorales, normales. La serología viral, sin embargo, observa negatividad clara para virus de la hepatitis A y B (HBsAg neg, HBsAc +, HBcAc neg) y virus de la inmunodeficiencia humana, pero no así para virus de la hepatitis C (VHC), que resultaba una y otra vez no concluyente o indeterminado (inmunoblotting banda C1 positivo; C2, E2, NS3 y NS4 negativos), con reacción en cadena de la polimerasa negativa para VHC clásico. Hemograma, perfil lipídico, glucosa, urea, creatinina, ácido úrico, iones, glutamato-piruvato-transaminasa (GPT) y gamma-glutamil-transferasa (GGT), normales. Glutamato-oxalacetato-transaminasa (GOT) y bilirrubina total mínima y transitoriamente elevadas (32-41 UI/ml y 1,42 mg/dl, respectivamente), permaneciendo posteriormente en rango normal (< 22 UI/ml y < 1,00 mg/dl).
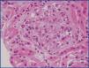
Se realiza biopsia renal percutánea, describiéndose esta como a continuación se expone (figura 1 y figura 2): «Microscopía óptica: nueve glomérulos sin esclerosis, hipertrofia ni aumento notable de la celularidad, salvo discreta proliferación mesangial de distribución focal y segmentaria; leve incremento difuso de la sustancia mesangial y algún granulocito en el flóculo capilar; ausencia de patología de la membrana basal (MB) y de infiltrado inflamatorio intersticial; leve fibrosis focal periglomerular. Inmunofluorescencia: IgG, IgA, C1q, y cadenas kappa y lambda negativas. IgM (+/-) glomerular con C3 positivo en alguna cápsula de Bowman. Microscopía electrónica: un glomérulo con incremento de sustancia mesangial con MB de espesor habitual y ausencia de depósitos electrondensos». Se diagnostica desde el punto de vista patológico como: «Lesiones glomerulares mínimas de predominio mesangial».
Considerando la elevación de ASLO, el carácter segmentario y focal de las lesiones mesangiales y su coexistencia con granulocitos neutrófilos aislados, se consideró la posibilidad de una glomerulonefritis posinfeccionsa subclínica previa.
En 2010, la paciente persistía con hematuria y las alteraciones analíticas previas, sin haber presentado brotes alérgicos durante su evolución. Insistimos en el diagnóstico de VHC, enviándose muestras para su detección por técnicas de alta resolución (RNA en células mononucleares de sangre periférica y RNA por ultracentrifugación en suero1,2), resultando negativo para la primera, pero POSITIVO para la segunda (240 copias/ml). El Fibroscan® no detectó patología hepática. Se considera la biopsia hepática, de momento, no indicada, por balance beneficio/riesgo. La paciente niega factores de riesgo para contagio de VHC, si bien constaba en sus antecedentes la presencia de papilomavirus vaginal.
La evolución clínica ha sido estable durante cuatro años de seguimiento.
Finalmente, se diagnostica de hematuria microscópica con lesiones glomerulares mínimas de predominio mesangial, en paciente con VHC oculto y ASLO, IgM e IgE persistentemente elevados, sin, de momento, confirmar flecha de causalidad ni la dirección de esta3. Se trata de la primera paciente diagnosticada de VHC oculto con una nefropatía no en diálisis, aunque queda por determinar la causalidad o relación de los factores. Dado el antecedente de asma bronquial con la posibilidad de precisar tratamiento inmunosupresor4, se considera importante la monitorización de la carga viral por las técnicas ultrasensibles descritas1,2.
Nuestros agradecimientos a la Dra. Guillermina Barril, por sus conocimientos sobre al virus C clásico y oculto en el paciente en hemodiálisis, lo que ha hecho que podamos extrapolar dicho diagnóstico al resto de los pacientes nefrópatas.
Conflictos de interés
Los autores declaran que no tienen conflictos de interés potenciales relacionados con los contenidos de este artículo.
Figura 1. Biopsia renal.
Figura 2. Biopsia renal 2.







