Sr. Director:
El depósito glomerular de inmunoglobulinas monoclonales puede ser secundario a diversas entidades: amiloidosis AL, enfermedad por depósito de inmunoglobulinas monoclonales tipo Randall (EDIM), crioglobulinemia tipo 1, glomerulonefritis inmunotactoide/fibrilar y la más recientemente descrita, glomerulonefritis proliferativa con depósito glomerular de IgG monoclonal (GnP IgGM), tipo no Randall1.
Describimos un paciente con síndrome nefrótico e insuficiencia renal, cuyo estudio condujo al diagnóstico de mieloma múltiple y GnP IgGM.
Se trata de un varón de 76 años que ingresa por insuficiencia renal y edemas de dos meses de evolución. Antecedentes: hipertensión arterial. Exploración física: edemas con fóvea en miembros inferiores hasta rodilla; el resto era normal. Exploraciones complementarias: hemoglobina 7,7 g/dl, creatinina 3,4 mg/dl, albúmina 2,1 g/dl, colesterol total 232 mg/dl, IgG 304 mg/dl, IgA 958 mg/dl, IgM 40 mg/dl, C3 79 mg/dl; el resto, incluyendo C4, factores reumatoides, anticuerpos antinucleares, anti-DNA, anticuerpos anticitoplasma de neutrófilos, anti-MBG y crioglobulinas, normales/negativos. Serología para virus de la hepatitis B y C y virus de la inmunodeficiencia humana negativa. Orina: proteinuria 11 g/24 horas; sedimento: 6-12 leucocitos/campo, 250 hematíes/campo, urocultivo negativo. La electroforesis de alta resolución en suero y orina mostró un componente monoclonal IgA lambda. La punción de médula ósea reveló una médula hipercelular con 13 % de células plasmáticas con morfología aberrante, compatible con mieloma múltiple tipo IgA lambda. Radiografía de tórax, ecografía abdominal y tomografía axial computarizada tóraco-abdómino-pélvica sin hallazgos relevantes.
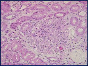
En la biopsia renal percutánea (23 glomérulos) se observó proliferación mesangial, endocapilar y desdoblamiento/engrosamiento de paredes capilares (figura 1); la inmunofluorescencia evidenció depósitos de IgG, C3, C1q y cadenas lambda en glomérulos; la tinción para cadenas kappa fue negativa; no había depósitos relevantes en los túbulos; rojo congo negativo. En el estudio de microscopía electrónica se comprobó fusión de los pedicelos, interposición mesangial y depósitos electrodensos subendoteliales; no había fibrillas ni microtúbulos. Estos hallazgos eran compatibles con GnP IgGM. Se trató con dexametasona y bortezomib. A los 3 meses presentó enteritis aguda y bacteriemia por Escherichia coli con deterioro de función renal que no se recuperó, y se incluyó en hemodiálisis.
Nasr et al.2 consideran la GnP IgGM como una entidad definida por el depósito glomerular de IgG monoclonal (predominio del subtipo IgG3), junto a un isotipo de cadena ligera, ausencia de depósitos tubulares y microscopía electrónica similar a glomerulonefritis por inmunocomplejos; además, no habría evidencia clínica ni analítica de crioglobulinemia. En su serie de 37 pacientes, los tipos histológicos más frecuentes fueron la Gn membranoproliferativa y la Gn proliferativa endocapilar; el síndrome nefrótico y la insuficiencia renal fueron las formas más comunes de presentación. En el 30 % de los casos había un componente monoclonal sérico, pero solo un mieloma; 10 enfermos tenían hipocomplementemia. En otra serie3, predominó la Gn membranosa y además del mieloma se encontraron otras hemopatías, como la leucemia linfática crónica y linfomas no-Hodgkin. Por su parte, Sethi et al.4 describen también pacientes con Gn membranoproliferativa, asociada a gammapatía monoclonal, con depósito glomerular de IgG e IgM monoclonales.
El diagnóstico diferencial de la GnP IgGM hay que establecerlo con las enfermedades citadas arriba y fundamentalmente con la EDIM tipo Randall (variante depósito cadena pesada/ligera)5. En esta entidad, la afectación glomerular más típica es una glomeruloesclerosis nodular, aunque puede verse también una Gn membranoprolifetativa, los depósitos tubulares son prácticamente constantes y la microscopía electrónica sería diferente. Hay autores, sin embargo, que incluyen la GnP IgGM dentro del espectro de la EDIM6. Por ahora, no está establecido que el considerar la GnP IgGM como una entidad diferenciada tenga repercusión terapéutica.
En nuestro paciente, la existencia, en la inmunoflourescencia, de un único isotipo de cadenas ligeras sugiere un tipo de nefropatía por depósito monoclonal de inmunoglobulinas; la ausencia de depósitos tubulares y la microscopía electrónica van a favor de una GnP IgGM. Existe una discrepancia entre el pico monoclonal encontrado en el suero (IgA lambda) y en los depósitos (IgG lambda), ya descrita en otro caso de GnP IgGM7, y sería debida a una rápida precipitación tisular del componente IgG o a una concentración en suero por debajo del límite detectable.
En conclusión, en pacientes con depósito glomerular monoclonal de inmunoglobulinas, hay que incluir, entre otros diagnósticos, la GnP IgGM.
Conflictos de interés
Los autores declaran que no tienen conflictos de interés potenciales relacionados con los contenidos de este artículo.
Figura 1. Microscopía óptica. HE x10. Glomérulo que muestra proliferación mesangial, endocapilar y engrosamiento de paredes capilares






