Sr. Director:
La relación entre glomerulonefritis membranosa (GNM) y neoplasia no es casual; se trata de un fenómeno paraneoplásico clásico. Un 25% son secundarias (10% neoplásicas)1. Describimos dos casos clínicos de glomerulonefritis membranosa secundaria a cáncer de pulmón con distinto patrón de presentación.
Caso 1. Varón de 49 años, hipertenso, con síndrome de apnea-hipoapnea del sueño y fumador de 40 cigarrillos/día. Ingresa por anasarca, evidenciándose síndrome nefrótico (proteinuria: 19 g/día), sin hematuria y con función renal normal. El estudio inmunológico dio anticuerpos antinucleares y anticuerpos anticitoplasma de neutrófilos negativos; C3 y C4 normales. Ausencia de pico monoclonal en proteinograma; el estudio virológico (HbsAg, HbcAb, HbsAb, anticuerpos del virus de la hepatitis C, anticuerpos del virus de la inmunodeficiencia humana) dio negativo y los marcadores tumorales (antígeno prostático especifico [PSA], antígeno carcinoembrionario, alfa-fetoproteína) fueron normales.
Radiografía de tórax con hilios y parénquima pleuropulmonar sin datos patológicos, excepto un mínimo derrame pleural bilateral. La biopsia renal fue diagnóstica de GNM en estadio I. Inmunofluorescencia con depósitos granulares subepiteliales fuertemente positivos para IgG.
Inició tratamiento conservador con inhibidores de la enzima conversora de angiotensina (IECA), antagonistas de los receptores de la angiotensina II (ARAII) y un diurético. A los tres meses, ingresa en dos ocasiones por anasarca y mala respuesta al tratamiento, iniciándose inmunosupresión con ciclosporina (CsA). Al quinto mes posbiopsia presenta disnea de moderados esfuerzos e importante derrame pleural derecho. Se realizó toracocentesis con estudio citológico positivo para malignidad. La tomografía axial computarizada toracoabdominal objetiva numerosas adenopatías patológicas. Se realiza broncoscopia y se confirma adenocarcinoma pulmonar en estadio IV con metástasis pleurales derechas. Comienza quimioterapia con pemetrexed y fallece a los 2 meses.
Caso 2. Varón de 59 años, fumador de 15 cigarrillos/día, con diabetes mellitus tipo 2, que ingresa por edema; proteinuria: 14 g/día, microhematuria y función renal conservada. inmunidad y complemento normales. Serología para virus negativa. PSA normal. Marcadores tumorales de pulmón y digestivo negativos. Radiografía de tórax con parénquima pleuropulmonar normal. La ecografía describió riñones normales. La biopsia renal es diagnóstica de GNM en estadio I.
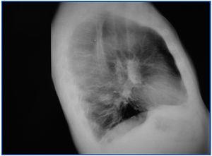
Inicia tratamiento conservador con IECA y ARAII. Al cuarto mes del diagnóstico, por ausencia de respuesta, se inicia CsA sin éxito. Al sexto mes, se cambia el tratamiento a clorambucil y prednisona manteniéndose durante ocho meses sin obtener respuesta y suspendiéndose por leucopenia. Al año y medio posbiopsia se objetiva remisión parcial (proteinuria: 5 g/día) con tratamiento conservador. A los dos años aparece un nódulo en el lóbulo pulmonar inferior izquierdo (figura 1). La fibrobroncoscopia confirma carcinoma epidermoide en estadio IV. El estudio de extensión muestra numerosos nódulos compatibles con metástasis pleurales, óseas y hepáticas.
DISCUSIÓN
En el estudio etiológico de la GNM, ¿con quién debemos ser «agresivos» en el screening de malignidad y hasta qué punto? En el caso 1, la aparición de GNM y tumor sólido son simultáneos, sin una presentación clínica evidente de neoplasia. En el caso 2, el tumor aparece 2 años después del diagnóstico de GNM coincidiendo con remisión parcial, lo que cuestiona su relación causal, ya que resulta más plausible una activación tumoral latente por la inmunosupresión.
Un 10% de las GNM son paraneoplásicas secundarias a tumores de pulmón, próstata y gastrointestinales1. El cáncer de pulmón es el tumor más frecuente en varones adultos2, fumadores y mayores de 65 años. Muchos autores defienden un screening agresivo en pacientes con GNM. La relación entre neoplasia y GNM puede ser causa o consecuencia del tratamiento inmunosupresor, o también simple coincidencia. Se ha descrito la aparición de tumores hasta 5 años después del diagnóstico de GNM3.
En los últimos años parece despejarse esta controversia entre idiopática y secundaria. El antígeno tipo M del receptor de la fosfolipasa A2 se asocia con GNM idiopática4, así como la anti aldosa reductasa y el anti manganeso superóxido dismutasa, mientras que la ausencia de depósitos glomerulares de IgG4 sugeriría un proceso neoplásico5. Pero se trata de técnicas aún no disponibles en muchos hospitales.
Nuestros casos describen dos patrones distintos de asociación entre GNM y tumores. Consideramos que desde el diagnóstico y durante el seguimiento debemos mantener una actitud vigilante para detectar neoplasias que condicionen el pronóstico.
Conflictos de interés
Los autores declaran que no tienen conflictos de interés potenciales relacionados con los contenidos de este artículo.
Figura 1. Radiografía lateral de tórax






