Presentamos el caso de varón de 66 años con historia clínica de hipertensión arterial, diabetes mellitus tipo 2 insulinodependiente, enfermedad renal crónica estadio V en hemodiálisis de 4 meses de evolución e hiperparatiroidismo secundario.
Consultó a urgencias por presentar lesiones cutáneas de pocos días de evolución, en cara anterior y medial de ambas piernas, inicialmente nodulares, con formación progresiva de úlceras con fondos necróticos muy dolorosos. Fue valorado por el servicio de dermatología, quienes ante la duda diagnóstica de calcifilaxis, solicitaron la realización de una gammagrafía ósea (GO), tras la administración IV de 815MBq de 99mTc-hidroximetilen-difosfonato.
En el estudio planar con difosfonatos no se apreciaron hallazgos gammagráficos significativos en la fase vascular, mientras que, en la fase ósea, se observó una discreta captación del radiotrazador en regiones mediales de las piernas (fig. 1). Este hallazgo fue confirmado por la tomografía computarizada de emisión monofotónica (SPECT), tomografía computarizada de emisión monofotónica/tomografía computarizada (SPECT/TC) (fig. 2) e imagen de reconstrucción 3D (fig. 3), donde se evidenciaron depósitos focales del trazador en partes blandas, en relación con la localización de las lesiones ulcerosas más mediales, confirmando el diagnóstico de calcifilaxis.
Gammagrafía ósea de cuerpo completo anterior (A) y posterior (B). Imágenes planares precoces de piernas (fase vascular) anterior (C) y posterior (D), no evidenciándose hallazgos gammagráficos significativos. Imágenes planares tardías (fase ósea), anterior (E) y posterior (F), se observa mínima hipercaptación del trazador en región medial de ambas piernas.
El paciente inició tratamiento con tiosulfato sódico, sin embargo, al pasar 2 semanas no presentó mejoría clínica, por lo cual, se solicitó una biopsia cutánea de las lesiones, en función de los hallazgos de la GO.
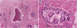
La biopsia cutánea mostró calcificaciones de vasos de mediano calibre en la dermis e hipodermis y calcificaciones perineurales (fig. 4). Estos hallazgos eran compatibles con el diagnóstico de calcifilaxis.
Después de 6 semanas con tratamiento médico, el paciente presentó mejoría clínica de las lesiones cutáneas, y la completa remisión de las mismas a los 6 meses.
La calcifilaxis es una rara enfermedad de elevada morbimortalidad que suele afectar a la población con enfermedad renal crónica en diálisis, asociada a calcificaciones murales de las arteriolas medias y trombosis del vaso afecto, generando isquemia y necrosis subcutánea.
El diagnóstico por biopsia cutánea es controvertido por la posibilidad de generar complicaciones, además, los hallazgos histopatológicos pueden ser inespecíficos, y tiende a presentar una baja sensibilidad.
La GO con SPECT/TC se presenta como una prueba sensible y no invasiva para el diagnóstico de la calcifilaxis. Su indicación en estadios iniciales de la enfermedad permite un diagnóstico precoz y, por tanto, inicio de tratamiento precoz, además de ser una herramienta útil que permite guiar la realización de la biopsia cutánea y delimitar la extensión de la entidad.
En nuestro caso, la GO permitió establecer el diagnóstico precoz y la extensión de la calcifilaxis, con la subsecuente iniciación del tratamiento.









