INTRODUCCIÓN
El infarto renal es una patología infradiagnosticada1, presentándolo el 1,4 %2 de los pacientes catalogados de nefrolitiasis o pielonefritis y con una mortalidad en el primer mes del 11,4 %3. Hasta el 39 % de los pacientes desarrollan insuficiencia renal. Presentamos el caso de un varón de 54 años con diversos factores de riesgo cardiovascular, que se presenta en Urgencias con dolor abdominal y vómitos de 48 horas de evolución, siendo diagnosticado de infartos renales izquierdos múltiples en la tomografía computarizada con contraste intravenoso.
CASO CLÍNICO
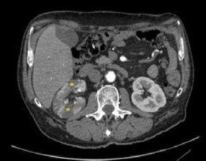
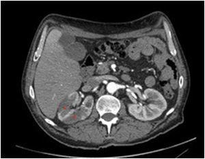
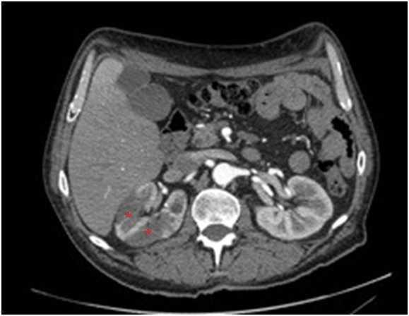
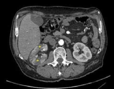
Varón de 54 años de edad con antecedentes personales de hipertensión arterial, diabetes mellitus tipo 2, hipercolesterolemia, infarto de miocardio que requirió colocación de stent en descendente anterior y fumador activo. Estaba en tratamiento con ácido acetilsalicílico, simvastatina, enalapril, atenolol, metformina, insulina, furosemida y omeprazol. Consulta por segunda vez en 24 horas en el Servicio de Urgencias por dolor abdominal y vómitos de dos días de evolución. A la exploración física presentaba una presión arterial de 139/85 mmHg y una frecuencia cardíaca de 45 latidos por minuto, con una auscultación cardíaca y abdominal sin soplos. En la analítica destacaba una lactato deshidrogenasa de 2458 UI/l, siendo la previa del día anterior inferior a 500 UI/l, con creatinina de 0,84 mg/dl y urea de 28 mg/dl. El electrocardiograma mostraba T aplanadas en derivaciones precordiales. Se solicitó una tomografía computarizada con contraste endovenoso abdominal (figura 1 y figura 2), en la que se observó ateromatosis aórtica infrarrenal y de ambas ilíacas comunes con múltiples áreas hipodensas en el riñón derecho de morfología triangular con base cortical, que sugerían infartos renales. Se ingresó para completar el estudio y control de los factores de riesgo cardiovascular. En las pruebas complementarias destacó una hemoglobina glicada de 8,7 % y microalbuminuria con un índice albúmina/creatinina de 42 mg/g. La ecografía Doppler renal fue normal, pero la ecocardiografía transtorácica mostró hipoquinesia anteroseptal con fracción de eyección en el límite inferior de la normalidad. Se descartó retinopatía diabética en el fondo de ojo. Se inició terapia anticoagulante con antagonistas de la vitamina K, y se intensificó la insulinización y el control de la hipertensión arterial, sustituyéndose el enalapril por lisinopril. Actualmente es seguido conjuntamente en consultas de Nefrología y Medicina Interna, con buen control de los factores de riesgo cardiovascular y sin deterioro de la función renal.
Conflictos de interés
Los autores declaran que no tienen conflictos de interés potenciales relacionados con los contenidos de este artículo.
Figura 1. Áreas de infarto renal (asteriscos rojos) visualizadas como imágenes hipodensas en la tomografía computarizada abdominal
Figura 2. Infartos renales (asteriscos amarillos) que afectan el espesor cortical renal completo






