Bleeding through a peritoneal catheter, although uncommon, can be quite dramatic and striking. The aetiology may vary from menstruation to more significant abdominal pathology such as sclerosing encapsulating peritonitis.1 Moreover, hepatic intracystic bleeds in patients with Autosomal Dominant Polycystic Kidney Disease (ADPKD) are rarely life-threatening.2
We report a case of a 53 year old gentleman with ADPKD who presented to the Emergency Department in hypovolaemic shock with right shoulder pain and torrential bleeding through his peritoneal catheter. He had been on continuous ambulatory peritoneal dialysis (CAPD) for 30 months and was known to have multiple large cysts in both kidneys and the liver.
A contrast-enhanced CT scan showed a dense fluid area 25mm in diameter, suggestive of a haematoma, around the liver.
The patient required admission to a High Dependence Unit, received multiple red cell transfusions and empiric intraperitoneal antibiotics. He was initially managed conservatively. In fact, he was discharged back home, still on peritoneal dialysis, after ten days.
A few weeks later, the patient represented to the Emergency Department with haemorrhage through his peritoneal catheter once again. He was switched to haemodialysis via a right jugular tunnelled haemodialysis line.
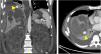
A dedicated CT scan of the liver showed new haematomas forming around the liver, and a 1.5cm pseudoaneurysm at the subdiaphragmatic surface of segment VII of the liver (Fig. 1).
A subsequent angiogram done via a right femoral approach confirmed the presence of this pseudoaneurysm which was being supplied by the superior branch of the right phrenic artery. Embolisation coils were placed in the pseudoaneurysm sac and in its feeding artery (Fig. 2).
Three days later, the peritoneal catheter was removed laparoscopically and a washout of the peritoneum, especially around the liver's surface, was done.
To our knowledge, this is the first reported case of a severe, life-threatening hepatic bleed resulting from a spontaneously formed pseudoaneurysm in the superior branch of the right phrenic artery. Hepatic artery aneurysms in ADPKD have been previously reported but not in the superior phrenic artery.3
The heavy bleeding through the peritoneal catheter and the fact that this happened in a patient with multiple, large cysts in the liver makes this clinical presentation even more unique.
The shoulder pain can be attributed to referred pain from the bleeding site, especially since the superior phrenic artery also supplies the diaphragm.
Twelve months have since passed from the initial presentation and the patient remains established on haemodialysis. No episodes of bleeding or abdominal and shoulder pains have been reported.
Authors’ contributionsJulian Delicata was responsible for the conception and design of this write-up. Emanuel Farrugia was the lead clinician of this case. Elena Farrugia and Julian Delicata contributed to the patient's care as part of the nephrology team. Reuben Formosa and Elena Farrugia contributed to the literature review and write-up. Kelvin Cortis was the interventional radiologist involved in this case and provided the images found in this report.
All authors were involved in the final approval of this manuscript.
FundingNo funding was received.
Conflicts of interestThe authors have no conflicts of interest to declare.







