INTRODUCCIÓN
La glomerulonefritis colapsante (GC) es una entidad relativamente reciente y poco conocida de enfermedad glomerular.
Fue descrita por primera vez en los años 80, definida entonces como una nefropatía asociada a VIH. Posteriormente, se describieron casos de esta lesión renal en pacientes VIH negativos, denominándose GC.
Ha sido considerada como una variante colapsante de la glomeruloesclerosis focal y segmentaria (GFS). Sin embargo, las lesiones a nivel podocitario son diferentes: en la patogenia de la GFS típica se produce podocitopenia mientras que la GC se caracteriza por proliferación podocitaria. En las recientes clasificaciones de podocitopatías se describe como enfermedad glomerular primaria, independiente de la GFS1. En la GC, la afectación podocitaria implica la desdiferenciación fenotípica, reflejada en la pérdida de expresión de marcadores de podocito maduro y una “re-expresión” de marcadores de proliferación, típicos de podocito inmaduro.
Presentamos el caso de un paciente con GC, con la relación de los marcadores de desdiferenciación podocitaria, como parte del estudio de este tipo de glomerulopatía.
CASO CLÍNICO
Paciente de 25 años de edad que ingresa para estudio de insuficiencia renal avanzada y proteinuria en rango nefrótico.
Como antecedentes personales, destaca la presencia de retraso mental leve-moderado desde la infancia. No refería consumo de fármacos, ni otros tóxicos.
Entre los antecedentes familiares, presenta madre y hermana con retraso mental, también desde el nacimiento. Se hizo despistaje de enfermedad renal (sedimento, proteinuria y función renal) a los miembros de la familia, resultando negativo.
Al ingreso, el paciente estaba asintomático, no presentaba edemas ni clínica urémica.
La exploración física fue normal; únicamente, se detectaron cifras de presión arterial elevadas que se controlaron con dosis bajas de IECA.
Como datos analíticos destacables, el paciente presentaba: creatinina 5.6 mg/dl, urea 112 mg/dl, proteínas totales 5.2 g/dl, albúmina 3.30 g/dl, colesterol total 117 mg/dl (HDL 29 mg/dl, LDL 57 mg/dl), así como, anemia normocítica-normocrómica, con cifras de hemoglobina 9.7 g/dl y hematocrito de 27.8%.
En el análisis de orina, se detectó proteinuria en rango nefrótico, con ratio proteína-creatinina 5.3 mg/mg, y microhematuria.
La serología viral para virus hepatitis B, C y VIH fue negativa. Otras serologías realizadas para Parvovirus B19 y CMV, incluyendo PCR, resultaron negativas.
Las inmunoglobulinas en sangre (IgG, IgM, IgA) estaban en rangos de normalidad. El análisis del complemento también fue normal.
El estudio de autoinmunidad que incluía ANA, ANCA y anti-DNA fue negativo.
El estudio ecográfico renal mostró unos riñones simétricos, de tamaño normal (Riñón derecho 11.5 cm, Riñón izquierdo 11.7 cm), ambos con parénquima moderadamente hiperecogénico y disminución de la diferenciación córtico-medular.
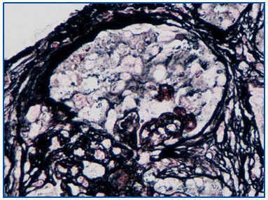
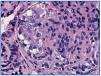
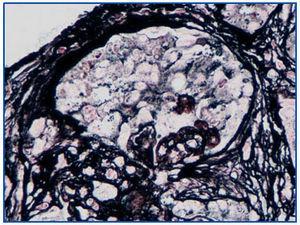
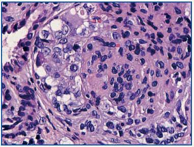
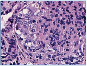
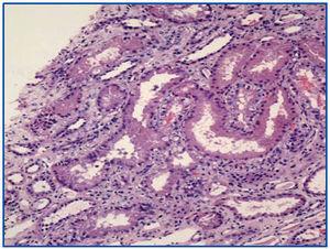
Se realizó biopsia renal en la se mostraban 9 glomérulos, 5 de ellos completamente esclerosados y 4 presentaban lesiones de esclerosis segmentaria; en estos últimos, destacaba una hiperplasia e hipertrofia del epitelio visceral (pseudosemilunas) (Figura 1), en ocasiones, vacuolizado (PAS +), ocupando el espacio de Bowman pero con epitelio parietal no afecto. Los capilares de estos glomérulos presentaban áreas de colapso y oclusión luminal (Figura 2). El intersticio era edematoso, con moderada infiltración inflamatoria mixta y túbulos muy alterados, con dilatación de luces y epitelio, a veces, necrótico o degenerado y células desprendidas en su luz (Figura 3). El componente vascular no mostraba lesiones.
El estudio histológico se completó con marcadores inmunohistoquímicos: el epitelio visceral hiperplásico expresó un fenotipo no encontrado en otras formas de lesión podocitaria (GM cambios mínimos, GM Membranosa,…), sólo hallado en el riñón fetal (Tabla 1). En nuestro caso hay, por tanto, una pérdida de marcadores de maduración (Vimentina, CALLA o sinaptopodina) (Figura 4) con reexpresión de marcadores de proliferacion (Ki 67) (Figura 5) o desdiferenciación (Citoqueratinas, Cam 5.2) (Figura 6), incluso, adquiriendo inmunofenotipo macrofágico. (Figura 7)
El paciente evolucionó rápidamente a la insuficiencia renal terminal, y se incluyó en programa de hemodiálisis crónico.
DISCUSIÓN
Presentamos el caso de un paciente con Glomerulonefritis colapsante y los marcadores de desdiferenciación podocitaria expresados.
La GC es una forma agresiva de enfermedad renal caracterizada por proteinuria nefrótica, insuficiencia renal severa y mala evolución, con escasa respuesta a tratamiento que conduce rápidamente a una insuficiencia renal terminal.
Esta glomerulopatía es una entidad relativamente reciente y poco conocida. Tanto es así, que sigue sin aparecer en los manuales más actuales de la Nefrología española como una patología clínica independiente. En las primeras descripciones que se hicieron en los años 70 se denominaba como glomeruloesclerosis focal y segmentaria “maligna”. Posteriormente, en los años 80, se definió como nefropatía asociada a VIH. En 1986, Weiss et al. describieron una lesión renal similar en pacientes VIH negativos que denominaron GC. Desde entonces, ha sido considerada como una variante de GFS2. En los últimos años hemos asistido a un importante avance en el conocimiento de esta glomerulopatía.
En las recientes clasificaciones taxonómicas de las podocitopatías se ha considerado como nueva entidad clínico-patológica, independiente de GFS Esto se basa en que el mecanismo por el que el podocito es dañado en ambas entidades es completamente diferente. Así, mientras que en la GC asistimos a una desdiferenciación y proliferación del podocito, en la GFS la podocitopenia es la lesión característica3.
Morfológicamente, la GC se caracteriza por colapso global o segmentario de las asas capilares, hiperplasia y proliferación podocitaria (pseudosemilunas). Se añade una importante lesión túbulo-intersticial con microquistes, lesión aguda y atrofia tubular, así como, variable infiltrado inflamatorio intersticial3. El estudio de Inmunofluorescencia es negativo o inespecífico. En el microscopio electrónico es habitual encontrar fusión e hiperplasia podocitaria. Según la etiología, se pueden observar inclusiones túbulo-reticulares (virus, lupus) o alteraciones en las mitocondrias (Nefropatía CoQ2)4.
Sin duda, el hallazgo más característico de esta entidad es la “disregulación” del fenotipo podocitario: : hay pérdida de marcadores de diferenciación y se adquieren otros de proliferación o desdiferenciación podocitaria5. Por ejemplo, como ocurre en nuestro caso, se pierden (“down-regulation”) marcadores de glomérulo maduro, como Vimentina, WT1, CALLA (CD10) y sinaptopodina. En cambio, se expresan (“up-regulation”) marcadores de proliferación (Ki67) y desdiferenciación como diferentes citoqueratinas (CK, Cam 5.2), presentes en el glomérulo fetal y ausentes en el adulto normal. Incluso, la expresión de novo de marcadores macrofágicos como CD68 en esta glomerulopatía pueden indicar una “trans-desdiferenciación” del podocito (Tabla 1)6.
En cuanto a la etiología, han sido descritas varias formas de esta entidad: formas idiopáticas, formas genéticas y formas secundarias (Tabla 2).
En nuestro caso, se hizo el estudio de posibles causas secundarias implicadas en esta glomerulopatía: ausencia de antecedentes de ingesta de fármacos como pamidronato o ácido valproico; tampoco se detectaron infecciones virales como VIH, CMV o parvovirus B19. No había signos ni síntomas de enfermedades autoinmunes, ocasionalmente relacionadas con esta entidad6.
Nuestro paciente, como es característico en la GC, evolucionó rápidamente a la insuficiencia renal crónica terminal y quedó dependiente de diálisis.
La presentación clínica (síndrome nefrótico y rápida evolución a insuficiencia renal), los hallazgos histológicos (colapso capilar, pseudosemilunas con hipertrofia podocitaria y afectación tubulo-intesticial) y los marcadores de desdiferenciación podocitaria (CALLA, Ki67, CD68, CAM5.2…) fueron compatibles con el diagnóstico de Glomerulonefritis Colapsante.
La historia familiar y personal de retraso mental de nuestro paciente, hace que no hayamos podido descartar, hasta el momento, una enfermedad genética de base, fundamentalmente mitocondríopatía CoQ2, que justifique esta enfermedad. (7) En consecuencia, nuestro actual diagnóstico es GC idiopática.
Por tanto creemos que, además de la clínica y la histología, estos marcadores de disregulación del fenotipo podocitario son una herramienta muy útil y valiosa para el estudio de la Glomerulonefritis Colapsante
Preguntas y Respuestas:
Dr. Eduardo Vazquez-Martull (La Coruña). Felicidades por el caso magníficamente presentado. No tengo experiencia personal pero he de reconocer el excelente diagnostico diferencial y las técnicas utilizadas que han conducido al diagnóstico.
Respuesta: En la práctica diaria, no es infrecuente encontrar, como ocurre en este caso, lesiones bastante evolucionadas en el momento de valorar la biopsia. Por ello, puede ser muy útil determinar ciertos marcadores diferenciales.
Dra. Pilar Arrizabalaga (Barcelona). La glomerulomefritis colapsante a diferencia de otras glomerulonefritis se caracteriza por la perdida irreversible de podocitos, la perdida de antígenos de diferenciación y, paradójicamente, la proliferación de podocitos, demostrada por la intensidad de Ki67. El podocito maduro y la neurona comparten un anfígeno de diferenciación celular como es la sinaptopodina. Dado que el paciente y dos de sus familiares presentaban retraso mental, ¿creéis que puede haber algún tipo de relación?
R: En este paciente la exploración física y los estudios neurofisiológicos fueron normales pero había un retraso mental evidente tanto en él como en sus familiares (madre y hermana). Sobre la relación entre el retraso mental (o enfermedad neurológica) y nefropatía colapsante en estos momentos solo podemos especular. Por una parte, estamos pendientes de una biopsia de músculo y estudio de la cadena respiratoria para poder descartar que presente una mitocondriopatía; en algunos enfermos con nefropatía CoQ2 se han descrito alteraciones neurológicas (encefalopatías). A otro nivel, también se podría especular con el papel de la sinaptopodina en el retraso mental. Como muy bien ha comentado, la sinaptopodina es un marcador celular que se expresa exclusivamente en el podocito maduro y en las espinas dendríticas de las sinapsis telencefálicas. En nuestro caso (como sucede con todas las nefropatías colapsantes) existe una pérdida de este marcador a nivel podocitario. Hace muy poco8 se ha demostrado la relación estrecha que existe entre sinaptopodina (pérdida de expresión) y proteinuria. Sería interesante que las alteraciones neurológicas se justificaran por una pérdida de este marcador a nivel neuronal. Pero como he comentado todo esto son especulaciones.
Dra. Pilar Arrizabalaga (Barcelona). Este caso alienta a insistir en la utilidad de la determinación de sinaptopodina en pacientes con glomerulonefritis colapsante idiopática, en particular si se presenta en pacientes con retraso mental.
Dr. Víctor Gutiérrez-Millet (Madrid). La hiperplasia del epitelio visceral es la causante de imágenes que se han venido denominado pseudosemilunas. Es una pena que este concepto no se siga utilizando para diferenciar estas alteraciones de las verdaderas “crescents” de otras glomerulonefritis extracapilares.
Dra. Montserrat Diaz (Barcelona). La positividad del Ki67 no permite diferenciar una pseudosemiluna de una semiluna epitelial porque es un marcador de proliferación y no diferencia entre célula epitelial y podocito.
R: Efectivamente, Ki67 sólo está indicando actividad proliferativa del epitelio; es la localización de esta tinción nuclear, unido al resto de marcadores podocitarios, lo que determina que esa proliferación se vincule en nuestro caso al epitelio visceral y no al epitelio parietal.
Dr. Miguel Angel Frutos (Malaga). La apoptosis del podocito o la perdida de proteínas de anclaje a la MBG es causa de podocituria en algunas glomerulonefritis y habitual en las formas colapsantes. ¿Qué utilidad actual tiene la evaluación de la podocituria en orina en el diagnostico o seguimiento de ciertas glomerulonefritis?
R: Efectivamente, varios estudios han documentado podocituria en una gran variedad de enfermedades glomerulares humanas y en nefropatías experimentales9,10. Esta pérdida de podocitos en la orina con la consiguiente denudación de la MBG es probablemente causa de sinequias y en definitiva de gloméruloesclerosis. Creemos que podría ser muy útil en el seguimiento de las enfermedades glomerulares, aunque nosotros no hemos estudiado este aspecto. Sobre su pregunta, efectivamente algunos autores11 han demostrado que es un marcador, más específico incluso que la proteinuria, de daño glomerular. Hace años se pensaba que era una célula terminal altamente diferenciada y que no proliferaba. Hoy día se sabe que pueden entrar en ciclo celular y que podrían tener un potencial papel regenerativo; así, teóricamente, se podría restaurar el número normal de podocitos en las enfermedades con pérdida progresiva de podocitos y prevenir la progresión de la insuficiencia renal crónica.
Dr. Pedro Aljama (Córdoba). En condiciones normales se puede aislar en orina una cantidad considerable de podocitos. Luego su cuantificación puede tener valor diagnóstico en ciertos procesos glomerulares. Cuando se pierde el 60% de los podocitos aparece esclerosis /hialinosis glomerular. Existe una evidencia experimental creciente de que el podocito puede regenerarse a partir de células madre renales” localizadas selectivamente en el polo vascular del glomérulo. Estas células madre (stem cell renales) progresan por la hoja parietal de la cápsula de Bowman hasta la hoja visceral y cuando llegan al ovillo capilar son ya podocitos “adultos” o diferenciados que reemplazan a los perdidos en la orina o a los destruidos por procesos patológicos (inflamación, apoptosis, etc).
Dr. Vázquez Martull (Coruña). Creo recordar que en el SN congénito los podocitos hiperplásicos muestran una hiperplasia que en cierto modo recuerdan al glomérulo fetal. ¿Es así?
R: Existen algunos casos relacionados con esta desdiferenciación en formas atípicas de focal y segmentaria, y, como menciona el Dr. Vázquez Martull, en el síndrome nefrótico congénito y en la esclerosis mesangial difusa, el fenotipo podocitario puede recordar a formas glomerulares precoces de la nefrogénesis. Pero a la desdiferenciación, se añade la naturaleza proliferativa de los podocitos en la glomerulopatía colapsante, diferente de los mecanismos de lesión podocitaria establecidos en la enfermedad por cambios mínimos y en otras formas de glomeruloesclerosis focal y segmentaria idiopática, a excepción del tipo celular.
Dr. Eduardo Vazquez-Martull (Coruña). Poco importa si la celularidad es mesenquimal o epitelial. La transformación posterior es la responsable de que la célula se cargue de actina y se inicie su transformación a fibroblasto.
R: Efectivamente, con ello, la glomeruloesclerosis será el resultado previsible.
Agradecimientos: A Novartis Pharma por las facilidades para la presentación y discusión de este caso en la Reunión del Club de Nefropatología y GLOSEN.
Figura 2. Colapso de capilares glomerulares. Meteramina Plata 40x. El estudio de estudio de autoinmunidad, que incluía ANA, ANCA y anti-ADN, fue negativo. En el estudio ecográfico renal se observaron unos riñones simétricos, de tamaño normal (riñón derecho 11,5 cm,
Figura 3. Necrosis y dilatación tubular. HE 20x.
Figura 4. Marcadores de maduración: sinaptopodina.
Figura 5. Marcadores de proliferación: Ki67.
Figura 6. Marcadores de diferenciación: citoqueratinas (AE1/AE3).
Figura 7. Marcadores de trans-diferenciación: CD68.
Tabla 1. Fenotipo podocitario en glomerulonefritis colapsante (GC)
Tabla 2. Clasificación de glomerulonefritis colapsante (GC)
Figura 1. Seudosemilunas: hipertrofia e hiperplasia del epitelio visceral. PAS 40x.














