Presentamos el caso de una mujer de 59 años, remitida a consulta de nefrología en 2009 por ERC (cr 1,36mg/dl, MDRD 45ml/min/1,73m2).
Como antecedentes a destacar estaba en seguimiento por el servicio de digestivo desde el año 2008 por alteración de las pruebas de la función hepática (AST 89UI/l [0-37]; ALT 141UI/l [0-40]; ALP 696UI/l [70-208]; GGT349 [10-50] BRBt 0,4mg/100 [0,1-1,2]) con estudio etiológico negativo, ecografía y biopsia hepática sin hallazgos patológicos. Se pautó tratamiento empírico con ácido ursodesoxicólico con respuesta parcial.
Ampliamos el estudio y no tenía albuminuria ni alteraciones en el sedimento urinario. Se detectó ANA 1/40 con anticuerpos antiDNA y ENAS negativos, C3/C4 normales. Ecográficamente los riñones eran pequeños (9cm), con hiperecogenicidad cortical y mala diferenciación corticomedular, por lo que descartamos realizar una biopsia renal.
En la anamnesis negaba ingesta previa de nefrotóxicos, nunca había tenido episodios de infecciones de orina ni de cólicos nefríticos.
En 2015 aparece microhematuria. Solicitamos citologías en orina que describen como: «células sueltas con discretos rasgos atípicos, núcleos hipercromáticos, citoplasma escaso» (fig. 1).
En el año 2021 reinterrogamos sobre los antecedentes familiares: padres consanguíneos (primos), su madre tenía ERC (desconocemos el grado) y falleció de infarto agudo de miocardio (IAM) a los 68 años; su hermano también tenía ERC (desconocemos el grado) y falleció de IAM a los 59 años. Los familiares de la rama materna presentaban múltiples antecedentes de cardiopatía isquémica.
Por ello solicitamos despistaje de enfermedad de Fabry (midiendo la actividad enzimática de la enzima α-galactosidasa-A y niveles de Lyso-globotriaosilceramida en gota de sangre seca) que fue negativa.
Ante el perfil familiar y una ERC no filiada decidimos solicitar un estudio genético de enfermedades renales, detectándose una variante patogénica en homocigosis en el gen FAN1 [c.2854C>T p.(Arg952Ter)] asociado a nefritis intersticial cariomegálica.
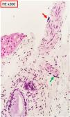
Informamos al servicio de digestivo, quienes decidieron repetir una biopsia hepática, identificando en el tejido conectivo de un espacio porta subcapsular células de hábito cariomegálico, algunas en disposición perineural y perivascular y que mostraban núcleos grandes, irregulares y marcadamente hipercromáticos (fig. 2). En ninguna de las biopsias se objetivó daño colestásico ni fibrosis hepática. Desde el punto de vista analítico persiste una respuesta parcial al ácido ursodesoxicólico, pero mantiene niveles de fosfatasa alcalina elevados con fluctuaciones paralelas a la función renal.
La nefritis intersticial cariomegálica es una enfermedad rara que se transmite de forma autosómica recesiva. Fue descrita por primera vez en 19741 y el término de «nefritis intersticial cariomegálica» fue introducido posteriormente en 19792. En 2012 Zhou et al. identificaron mutaciones en homocigosis en el gen FAN1 que causan la enfermedad3, y posteriormente se han ido descubriendo otras en el mismo gen4.
El gen FAN1 codifica para la proteína denominada en inglés Fanconi anemia-associated nuclease 1, implicada en la reparación del ADN. Esta proteína se expresa en el parénquima de múltiples tejidos (hígado, tejido neuronal, miocardio, tiroides, células endoteliales…), siendo la mayor expresión en el riñón5.
Variantes patogénicas de este gen se han asociado con nefritis intersticial y lesiones en otros órganos, por ejemplo, en el hígado. En las biopsias se identifican células características con núcleos grandes, irregulares e hipercromáticos. Se han descrito también estas células en citologías de orina de pacientes afectos.
Hay menos de 50 casos publicados sobre esta enfermedad. En general describen el diagnóstico de ERC a partir de la tercera década, con progresión variable intra e interfamiliar, alcanzando ERC terminal5,6.
El diagnóstico de certeza es el hallazgo de una variante patogénica del gen FAN 1 en homocigosis, ya que el patrón de herencia es autosómico recesivo.
En nuestra paciente el resultado del estudio genético y el hallazgo de las células características en orina y en la biopsia hepática confirman el diagnóstico de esta enfermedad, que explica su afectación renal y hepática hasta ahora no filiadas.
FinanciaciónEste trabajo no ha recibido ningún tipo de financiación.
 
										
				








