Sr. Director:
La sarcoidosis es una enfermedad multisistémica que afecta al riñón entre el 4 y 20% de casos. La alteración del metabolismo cálcico en forma de hipercalcemia y/o hipercalciuria, nefrolitiasis y alteraciones tubulares son las causa más frecuentes de afectación renal1. También se han descrito alteraciones glomerulares asociadas con la sarcoidosis, entre las que la glomerulonefritis membranosa es la más frecuente2. La infiltración granulomatosa del intersticio suele ser silente y rara vez se manifiesta como fracaso renal agudo y si éste se produce suele ser evidente la afectación de otros órganos. La insuficiencia renal por nefritis intersticial granulomatosa (NIG) en ausencia de afectación sarcoidea extrarrenal es un cuadro clínico extremadamente raro.
Presentamos el caso de una paciente con insuficiencia renal aguda debida a sarcoidosis con exclusiva afectación renal.
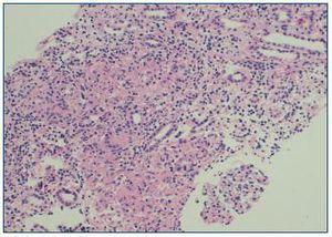
Paciente mujer de 56 años de edad sin alergias ni hábitos tóxicos y sin antecedentes médicos de interés ni tratamiento médico habitual que acude a urgencias derivada por su médico de cabecera por alteración analítica (creatinina 8 mg/dl) practicada por estudio de síndrome tóxico de 6-7 meses de evolución con pérdida ponderal objetivada de 10 kg. Aportaba analítica realizada 5 meses antes en revisión laboral en la que destacaban una Hb de 11 g/dl y una creatinina de 1,7 mg/dl. En la exploración física la paciente estaba normotensa, con palidez de mucosas; el resto de examen físicono presentó alteraciones. Analítica con Hto/Hb 28%/9,6 g/dl, urea/creatinina 192/9,4 mg/dl (FG estimado 4 ml/min), calcio 10 mg/dl. FENa 10. Proteinuria/24 horas de 0,6 g y sedimento normal. PTHi y vitamina D normal. HbsAg, VHC y VIH negativos. Estudio inmunológico: ANA, anti-ADN ,ANCA, complemento e inmunoelectroforesis normal o negativo. Rosa de Bengala y anticuerpos anti-Brucella negativos. Cultivo de Löwenstein en orina negativo. PPD negativo. ECA 189 U/l (8-52 U/l). Radiografía de tórax, ecografía abdominal y TAC tóraco-abdomino-pélvica, normales. Examen oftalmológico y otorrinológico sin alteraciones significativas. Se colocó catéter yugular y se inició hemodiálisis. Se practicó biopsia renal percutánea que presentaba 10 glomérulos, dos de ellos esclerosados, y el resto de aspecto normal, destacando, en el intersticio, abundantes granulomas constituidos por células epiteloides y células gigantes multinucleadas tipo Langhans sin presencia de necrosis (figura 1). Las técnicas histoquímicas para la detección de bacilos ácido-alcohol resistentes y para hongos fueron negativas. Se inició tratatamiento con prednisona a dosis de 1 mg/kg/día. La paciente mantuvo la diuresis conservada con correcta tolerancia a la hemodiálisis. A partir de la cuarta semana de tratamiento corticoideo observamos una mejoría progresiva de la función renal que le permitió abandonar el tratamiento sustitutivo. Actualmente, a los 4 meses de inicio del tratamiento y con una dosis de 0,3 mg/kg/día, presenta una creatinina plasmática de 2,8 mg/dl (FG 19 ml/min) con determinación normal de la ECA.
La NIG es un diagnóstico histológico muy infrecuente que se observa entre el 0,5 y el 0,9% de las biopsias renales nativas3,4. Se ha asociado con fármacos (AINE, alopurinol y antibióticos, fundamentalmente), infecciones (tuberculosis, brucelosis y fúngicas, entre otras), granulomatosis de Wegener, nefropatía por depósito de cristales, paraproteinemias, síndrome de TINU, formas idiopáticas y a la sarcoidosis. Joss et al. revisaron las biopsias renales realizadas en Glasgow durante un período de 15 años e identificaron un total de 18 NIG (menos del 1% del total de biopsias), de la cuales cinco fueron debidas a sarcoidosis, dos estaban asociadas con síndrome de TINU, otras dos eran secundarias a fármacos y nueve fueron clasificadas como idiopáticas5.
La insuficiencia renal en la sarcoidosis se asocia, fundamentalmente, en su forma aguda a la hipercalcemia y en su presentación crónica a la nefrocalcinosis6. Otra causa de afectación renal en la sarcoidosis es la NIG, que está presente en una tercera parta de pacientes con sarcoidosis y evidencia de afectación renal. En 1987, Ford describió la primera asociación de NIG en un paciente con sarcoidosis que desarrolló insuficiencia renal aguda7. La NIG con ausencia de manifestaciones extrarrenales de sarcoidosis es muy infrecuente. Robson et al. presentan 7 casos de NIG sin afectación sarcoidea extrarrenal8. Destacan el predominio masculino (71%), la edad media de 69 años, la insuficiencia renal severa en el momento de la presentación (aclaramiento calculado de creatinina de 14 ml/min), precisando hemodiálisis al inicio y de forma temporal en un caso, escasa proteinuria (media 0,4 g/día), elevación de la ECA en 3 pacientes y buena respuesta al tratamiento corticoideo en 5 casos (dosis diarias de prednisolona entre 20 y 60 mg). Dos pacientes precisaron iniciar hemodiálisis periódica a los 3 y 15 meses del diagnóstico. La normalidad glomerular y la presencia de granulomas en el intersticio compuestos por células epiteloides y células gigantes multinucleadas fue la característica histológica común.
Cabe destacar la importancia de la biopsia renal ante casos de insuficiencia renal no justificada, y en el caso concreto de sospecha de sarcoidosis dada la variedad de lesiones que puede producir, la práctica de la biopsia optimizará la elección del tratamiento médico.
Figura 1. Cortical de riñón.






