Sr. Director:
La acidosis tubular renal distal (ATRD) es un trastorno del equilibrio ácido-base definido por la incapacidad renal de compensar mediante su eliminación la generación de ácidos del metabolismo proteico, en ausencia de un filtrado glomerular (FG) disminuido.
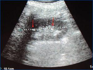
Presentamos el caso de un paciente masculino, de 33 años de edad, con antecedente de hipopotasemia sin estudio hace 2 años, que acude a Urgencias con 10 días de debilidad progresiva de extremidades, fatiga, astenia, mialgias, negando síntomas urinarios. Se automedica con sales de potasio sin mejoría, por lo que decide buscar ayuda médica. Al examinarle, se encontró con presión arterial de 119/66 mmHg, frecuencia cardíaca de 67 latidos/minuto, frecuencia respiratoria de 22 ciclos/minuto, temperatura de 37 °C, con debilidad en 4 extremidades 3/5 y reflejos tendinosos disminuidos. Sus laboratorios al ingreso reportaban una creatinina sérica de 1,36 mg/dl, sodio sérico de 137 mEq/l, potasio de 3,2 mEq/l, cloruro de 114 mEq/l, calcio de 8,8 mg/dl, fósforo de 3,5 mg/dl, magnesio de 2,2 mEq/l, bicarbonato de 19 mEq/l, pCO2 de 30 mmHg, PH venosa de 7,36, lactato de 0,8 mEq/l, albúmina sérica de 4,1 g/dl, orina con pH 6,5 sin glucosuria y un sedimento urinario con leucocituria y eritrocituria mínima, sin nitritos, ni bacterias evidentes a la microscopía, y proteinuria de 550 mg/24 horas. Se envió a cultivar orina; nivel de complementos normales, perfil viral negativo para virus de la inmunodeficiencia humana y virus de la hepatitis B y C. Se realiza un ultrasonido renal con imágenes hiperecogénicas sugestivas de calcificaciones medulares (figura 1), calciuria de 4,2 mg/kg/día, anión gap urinario positivo (sodio 58 mEq/l, potasio 16 mEq/l, cloro 23 mEq/l), fracción excretada de potasio de 12 %, fracción excretada de bicarbonato 7 %, pero un PH urinario que no logró reducirse a < 5,5 en un período de más de 8 horas y reducción del gap urinario, aunque sin llegar a negativizar (sodio 47 mEq/l, potasio 12 mEq/l, cloro 43 mEq/l) luego de una administración oral de cloruro de amonio, por lo que se catalogó como una acidosis tubular renal distal (ATRD) (tipo 1). Al reportarse urocultivo negativo, se realiza biopsia renal percutánea, la que reportó nefritis tubulointersticial crónica con nefrocalcinosis intratubular e intersticial (figura 2), por lo que se inició tratamiento con prednisona a 1 mg/kg/día y citrato de potasio a 1 mEq/kg/día. Una semana después, existiendo reducción en leucocituria, se reportan estudios inmunológicos con anticuerpos antinucleares positivos, con un título de 1:2560, anti-SSA y anti-SSB positivos. Se realizó test de Schirmer, que resultó positivo, curiosamente sin referir síntomas de ojo seco. En su seguimiento por consulta externa a las 16 semanas, con prednisona 5 mg/día, muestra una creatinina de 0,88 mg/dl, reducción del requerimiento de sales de potasio manteniendo niveles de potasio normales, pH urinario alrededor de 5, calciuria de 3,9 mg/kg/día, anión gap urinario negativo (sodio 21 mEq/l, potasio 8 mEq/l, cloro 47 mEq/l), con ausencia de leucocituria, eritrocituria y proteinuria.
Las manifestaciones renales catalogadas como acidosis tubular renal suelen presentarse con una proporción variable, entre 3,6 % hasta 73,1 % en las series de pacientes con síndrome de Sjögren (SS) estudiadas1. La nefritis tubulointersticial aguda y/o crónica constituye la forma histopatológica más común en el 54-80 % de los casos1-3.
En la ATRD, o tipo 1, la hipercalciuria suele ser multifactorial (liberación del calcio óseo, supresión del receptor sensor de calcio CasR, aumento de la carga distal de sodio y acidosis), que junto con la orina alcalina e hipocitraturia favorece la litiasis y nefrocalcinosis. El FG inicialmente normal puede disminuir evolutivamente por deshidratación, nefrocalcinosis, litiasis obstructiva y/o infección4,5.
Su tratamiento debe llevar como meta normalizar la calciuria y la citraturia, para evitar la nefrocalcinosis y el daño renal progresivo. Para ello, se debe corregir la acidosis subyacente5. Sin embargo, este tratamiento constituye una medida paliativa cuando su causa es secundaria, como en el SS, donde se han usado corticosteroides y ciclofosfamida, según la severidad del involucro renal, con reportes de estabilización de la función renal, reducción de proteinuria y reversibilidad de varias manifestaciones clínicas derivadas de la acidosis tubular renal, evitando la extensión de la nefrocalcinosis y reduciendo el riesgo de progresión a estadio terminal de la enfermedad renal crónica1,2. En nuestro caso, se usó prednisona con pauta reductiva lenta, logrando una remisión de las manifestaciones clínicas al haber controlado la nefritis tubulointersticial autoinmune derivada del SS.
Conflictos de interés
Los autores declaran que no tienen conflictos de interés potenciales relacionados con los contenidos de este artículo.
Figura 1. Ultrasonido renal con hiperecogenicidad medular sugestiva de calcificaciones.
Figura 2. Histopatología renal en la que se muestra infiltrado linfoplasmocitario tubulointersticial (A) y nefrocalcinosis intratubular e intersticial con tinción Von Kossa (B). Imágenes a 40X.







