Introducción: La enfermedad renovascular oclusiva constituye una emergencia médica y requiere una rápida intervención para preservar la viabilidad y función de los riñones, ya que estos tienen mínima tolerancia a la isquemia caliente. Los síntomas clínicos son inespecíficos y compartidos por otras patologías, dificultando el diagnóstico y pudiendo retrasar el tratamiento. Caso: Una paciente mujer de 86 años de edad ingresó en nuestro centro con dolor abdominal, náuseas, deterioro de la función renal e INR elevado (revertido al ingreso a la normalidad). Desarrolló oliguria y elevación de la lactato deshidrogenasa en las siguientes 12 horas, y en la tomografía axial computarizada con contraste realizada se observó desaparición del flujo sanguíneo desde el origen de la arteria renal izquierda. Se realizó tratamiento fibrinolítico intravascular local con infusión de urokinasa con éxito, demostrando reversibilidad de la isquemia renal izquierda mediante angiografía. La función renal mejoró hasta la normalidad. Conclusión: La fibrinolisis local intravascular es una opción de tratamiento que considerar en pacientes con alto riesgo quirúrgico debido a la edad y las comorbilidades asociadas, por otro lado muy frecuentes en la población afectada por esta patología.
INTRODUCCIÓN
La trombosis de la arteria renal es una enfermedad rara con pocas series descritas, mostrando una incidencia menor al 3 % como causa de fracaso renal agudo. Debido a la inespecificidad de los síntomas, un alto índice de sospecha es importante, ya que requiere tratamiento específico y un diagnóstico diferido puede tener graves consecuencias en la función renal.
El propósito de este caso clínico es revisar la fibrinolisis intraarterial como tratamiento en esta patología.
CASO CLÍNICO
Una paciente mujer de 86 años de edad ingresó en nuestro centro con dolor abdominal difuso, náuseas y vómitos en los tres días previos. La exploración física mostró moderado dolor abdominal a la palpación sin peritonismo, heces normales en el tacto rectal y mucosa oral seca. La presión arterial era 140/70 mmHg, con buena perfusión periférica y pulsos palpables simétricos en las extremidades inferiores.
Los antecedentes personales incluían fibrilación auricular crónica anticoagulada (INR 2-2,5), toma ocasional de antiinflamatorios no esteroideos, hipertensión y diabetes mellitus tipo 2. Al ingreso, la analítica mostró deterioro de la función renal con creatinina sérica 2 mg/dl (rango 0,6 a 1,2 mg/dl, previas normales), leucocitosis (14 000/mm3), hiperglucemia, INR 10 y elevación de la proteína C reactiva. El análisis de orina evidenció hematuria leve sin hematíes dismórficos, proteinuria, leucocituria y sodio urinario 10 mmol/l. Se inició reposición con fluidos intravenosos y administración de vitamina K, con buena evolución de la función renal
(Cr 1,53 mg/dl) y del INR1,3.
Veinticuatro horas después la paciente desarrolló oliguria (200 cc en 12 horas), leucocitosis en aumento y elevación de la láctico deshidrogenasa (LDH) hasta 1063 U/l. La proteinuria era 1,2 mg/mg (cociente proteinuria/creatinina orina), con aparición de hematíes dismórficos en el sedimento urinario.
El diagnóstico de presunción en este momento era embolismo de la arteria renal secundario a un posible trombo de formación cardíaca, por lo que se realizó un eco-Doppler renal que mostró riñones simétricos de tamaño normal con ausencia de flujo venoso en el riñón izquierdo, índices de resistencia intraparenquimatosos próximos a 1 (figura 1) y patrón Doppler normal en el riñón derecho.
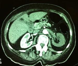
Un renograma dietiltriaminopentaacético (DTPA) confirmó ausencia de flujo sanguíneo en la arteria renal izquierda, y la angio-TAC (tomografía axial computarizada) con contraste mostró un trombo en el origen de la arteria renal izquierda con oclusión total de esta (figura 2).
No se demostraron trombos atriales en el ecocardiograma.
Aproximadamente 24 horas después, y teniendo en cuenta el alto riesgo quirúrgico, se decidió proceder a una fibrinolisis local, insertando un catéter desde la arteria femoral común derecha con la punta en el origen de la arteria renal izquierda. Se administraron 200 000 UI de urokinasa con inmediato flujo parcial hacia el riñón. Posteriormente, se iniciaron perfusiones de urokinasa y heparina (500 000 UI urokinasa en 6 horas y 10 UI/kg de heparina), manteniendo el tiempo de tromboplastina activada entre 1,5 y 2 veces el normal. Se administraron N-acetilcisteína y suero fisiológico intravenoso como profilaxis de nefropatía por contraste.
La paciente fue monitorizada en la unidad de agudos nefrológicos, sin evidenciarse signos ni síntomas de hemorragia. La angiografía obtenida 12 horas después del tratamiento fibrinolítico mostró resolución completa del trombo con potencia de flujo en la arteria renal izquierda y dos tercios del parénquima renal. La función renal mejoró (Cr 0,9 mg/dl) con disminución de los niveles de LDH (811 U/I), por lo que se detuvo la infusión de urokinasa y se retiró el catéter intraarterial.
Nuestra paciente fue dada de alta tras nueve días de ingreso con función renal normal (Cr 0,78 mg/dl) y sin repercusiones secundarias a la infusión de urokinasa. Se reinició la warfarina con óptimo control de INR.
DISCUSIÓN
La trombosis de la arteria renal es una enfermedad rara descrita por primera vez por L. Traube en 1856. Hay escasas series de casos disponibles en diferentes centros, mostrando una incidencia de entre 1,5 % y 2,3 % de los casos de fracaso renal agudo1-3. La enfermedad renovascular oclusiva constituye una emergencia que requiere intervención rápida para preservar la viabilidad y función de los riñones, ya que la tolerancia de estos a la isquemia caliente es mínima3.
La etiología incluye embolismos y trombosis in situ4,5. Los émbolos suelen ser, principalmente, de origen cardíaco, como aquellos formados en la fibrilación auricular, endocarditis infecciosa o los trombos ventriculares izquierdos posinfarto de miocardio, así como los embolismos grasos tras un procedimiento invasivo o una placa ateromatosa complicada. Un factor de riesgo importante en nuestro medio es la ingesta grasa alta en la dieta, ya que favorece la coagulación debido a que reduce las prostaciclinas y aumenta la activación plaquetaria6. La trombosis in situ se suele asociar con daño vascular o anormalidades anatómicas que deterioran la capa íntima de los vasos, como la estenosis de arteria renal y la disección aórtica o renal.
Clínicamente, los síntomas son inespecíficos y compartidos por otras entidades, como la pielonefritis o la nefrolitiasis; entre ellos, se encuentran el dolor abdominal o en la fosa lumbar, la fiebre y la reducción del volumen urinario, con o sin hematuria y/o proteinuria. Los hallazgos de laboratorio son variables e incluyen deterioro de la función renal, leucocitosis y elevación de la LDH en plasma y orina (solo detectable en orina cuando es producida por los riñones, ya que es una molécula de gran tamaño y no es filtrada).
El análisis de orina no se lleva a cabo de rutina y puede proporcionar información relevante para realizar un correcto diagnóstico diferencial. Los parámetros urinarios varían en las diferentes etapas de la oclusión de flujo sanguíneo, siendo similares a los datos hallados en plasma con una excreción fraccional de sodio cercana al 100 % y un sodio urinario elevado5. El diagnóstico por imagen es necesario, mostrando atenuación del parénquima renal en la angio-TAC, ausencia de flujo sanguíneo en el renograma y el punto de oclusión de la arteria renal en la angiografía (patrón de oro como diagnóstico y tratamiento). La ecografía renal es de baja sensibilidad, pero puede ser útil descartando causas obstructivas y demostrando ausencia de flujo en el Doppler.
Las opciones de tratamiento no están claramente establecidas y dependen de la experiencia del equipo médico encargado. La más conservadora es heparina intravenosa con o sin tratamiento trombolítico posterior, seguido de anticoagulación oral permanente con INR objetivo 2-3, algo superior en casos previamente anticoagulados.
Existe escasa literatura relativa al tratamiento fibrinolítico, con carencia de estudios aleatorizados controlados para establecer un protocolo7. La estreptokinasa ha sido reemplazada por la urokinasa, un activador directo del plasminógeno que ha mostrado mayor eficacia fibrinolítica con menores complicaciones hemorrágicas8,9. La dosis y el tiempo de administración de la urokinasa se basan en los pocos casos publicados10-13, variando de 100 000 a 150 000 UI como bolo inicial y de 400 000 a 500 000 UI en infusión durante 12 horas, junto con anticoagulación con heparina.
En todos los casos publicados hasta la fecha los pacientes recuperaron la función renal hasta su basal sin efectos secundarios hemorrágicos de importancia (un paciente de cinco presentó sangrado por úlcera gástrica sin inestabilidad hemodinámica, que se controló con omeprazol).
CONCLUSIÓN
Los puntos principales que se han de destacar en este caso clínico son la rapidez de diagnóstico, ya que permitió iniciar el tratamiento dentro de las primeras 24 horas tras la aparición de la isquemia renal, y la completa recuperación de la función renal en una paciente añosa y con factores pronósticos adversos.
Es conveniente ser conscientes de la existencia de esta patología en los casos que se presentan con dolor abdominal, fracaso renal agudo y antecedentes personales como fibrilación auricular, valvulopatía, endocarditis e infarto miocárdico.
La terapia fibrinolítica es una alternativa a la cirugía como tratamiento en pacientes con alto riesgo quirúrgico debido a edad y patologías concurrentes, por otra parte tan frecuentes en la población afectada. Teniendo en cuenta el buen resultado de la fibrinolisis en cuanto a preservación de la función renal, debería evaluarse como una posibilidad en todos los casos, siendo controvertido el uso concomitante de heparina, ya que no ha demostrado mejoría de los resultados y añade mayor riesgo hemorrágico.
La ausencia de estudios que permitan establecer un protocolo de uso relega la fibrinolisis a un segundo plano.
Conflictos de interés
Los autores declaran que no tienen conflictos de interés potenciales relacionados con los contenidos de este artículo.
Figura 1. Doppler del riñón izquierdo.
Figura 2. Angio-tomografía axial computarizada: muestra ausencia de contraste en el riñón izquierdo con oclusión al inicio de la arteria ipsilateral.






