Sr. Director:
La poliquistosis hepatorenal del adulto cursa con quistes renales y en muchos casos, quistes asintomáticos en el hígado, bazo, páncreas, ovarios y conducto espermático1,2. Remitimos el caso de un paciente con poliquistosis renal y quistes pancreáticos que presentó pancreatitis aguda.
Se trata de un varón de 47 años, sin hábitos tóxicos. En programa de hemodiálisis periódica desde septiembre de 2006 por ERC secundaria a poliquistosis hepatorrenal del adulto, que había sido nefrectomizado por múltiples complicaciones derivadas de sus quistes renales (infecciones, roturas¿).
Comenzó con clínica de náuseas, vómitos, dolor abdominal intenso y deposiciones blandas.
Las complicaciones extrarrenales más frecuentes en la poliquistosis renal son aneurismas cerebrales, quistes hepáticos, valvulopatías cardíacas, diverticulosis colónica, hernias abdominales e inguinales3.
A la exploración presentaba dolor abdominal difuso, hepatomegalia, peristaltismo presente sin signos de irritación peritoneal.
En los análisis realizados destacaba la presencia de amilasa, lipasa, PCR elevadas y triglicéridos de 218 mg/dl, con bilirrubina, transaminasas, LDH y fosfatasa alcalina normales. El electrocardiograma fue normal. En las Rx de tórax y abdomen no había alteraciones. Se inició cobertura antibiótica, fluidoterapia y se dejó en dieta absoluta.
Un cuadro de dolor intenso abdominal en el epigastrio y la región periumbilical, a menudo irradiado hacia la espalda, náuseas y niveles elevados de amilasa o lipasa en suero confirman habitualmente el diagnóstico de pancreatitis. No es infrecuente la fiebre y descensos del ST en el electrocardiograma.
Aunque las principales causas de pancreatitis son litiásica, alcohólica, niveles de triglicéridos elevados, farmacológica¿ debe incluirse también en el diagnóstico diferencial de dolor abdominal en pacientes con poliquistosis renal4.
A nivel ecográfico se vio hígado compatible con esteatosis hepática o con hepatopatia crónica, con múltiples lesiones quísticas. Vesícula sin litiasis. Vía biliar no dilatada. A nivel pancreático varios quistes de hasta 2,6 cm de diámetro. Nefrectomía bilateral.
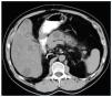
En la TAC abdominal se identificó una masa quística de contorno multilobulado en región del cuello de páncreas, de aproximadamente 4,7 x 3,7 cm condicionando una dilatación del conducto pancreático a nivel de cuerpo y cola de páncreas (fig. 1).
Se decidió realizar ecoendoscopia que confirmó múltiples quistes pancreáticos de diversos tamaños de predominio en cabeza-istmo de paredes finas, anecoicos sin contenido sólido que condicionaban una dilatación del conducto de Wirsung de 5 mm.
En ningún momento se objetivó fiebre ni leucocitosis. Los valores máximos alcanzados de amilasa, lipasa y PCR fueron de 628 U/L, 8806 U/L y 70 mg/l respectivamente que progresivamente disminuyeron durante la evolución, el dolor abdominal mejoró y se pudo reiniciar la dieta oral con buena tolerancia a los 4 días.
El diagnóstico final fue de pancreatitis aguda probablemente obstructiva. Al tratarse del primer episodio de pancreatitis, dada la mejoría clínica y analítica se decidió continuar con actitud expectante, pero si en un futuro presentara nuevo episodio4 o aparecieran datos de pancreatitis crónica5, se plantearían medidas más agresivas, ya empleadas a nivel hepático6, como aspiración-esclerosis de los quistes, tratamiento quirúrgico o laparoscópico, trasplante¿
Nos parece un caso interesante ya que habitualmente los quistes extrarrenales a nivel pancreático suelen ser asintomáticos.
Figura 1.






