Sr. Director:
El daño renal padecido en la infancia en el síndrome hemolítico urémico típico (SHU) puede condicionar el pronóstico renal a largo plazo. Exponemos un caso alusivo.
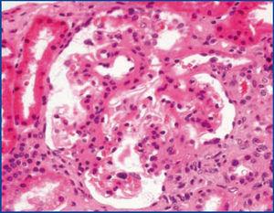
Se trata de una mujer de 33 años. A los 9 meses de edad sufrió SHU típico, que requirió diálisis peritoneal aguda durante 15 días con posterior recuperación completa de función renal. Alta en consultas a los 16 años. Desde entonces no presenta otra patología de interés. Normotensa. Consulta por proteinuria progresiva en tira reactiva de orina, de 5 años de evolución. Se trata de una mujer normoconstituida, talla 167 cm, peso 67 kg, tensión arterial:123/80. Ausencia de edemas. Resto sin hallazgos. En las exploraciones complementarias: Crp: 0,89 mg/dl, Aclaramiento de creatinina 87 ml/min, proteinuria: 292 mg/dl (2,29 g/d) glomerular no selectiva, sistemático de orina con ausencia de microhematuria. Colesterol: 252 mg/dl. Proteínas totales: 6,8 g/d, albuminemia: 4,0 g/d. Hemograma y enzima convertidora de angiotensina normal. Inmunología, perfil tiroideo y serología vírica básica negativas. Ecografía renal con riñones de 97 y 95 mm de diámetro mayor, con cortical de 13 y 10 mm e índices de resistencia de 0,6 y 0,65. Inmunoelectroforesis de proteínas en sangre y orina y cadenas ligeras normales. Tomografía computarizada tóraco-abdómino-pélvica sin hallazgos, mantoux negativo. Se realiza biopsia renal, que pone de manifiesto 7 glomérulos: 1 esclerosado, 4 normales y 2 con signos de hialinosis segmentaria y focal (figura 1). Inmunofluorescencia: negativa. Microscopía electrónica: no realizada. Se inicia tratamiento con inhibidores de la enzima de conversión de la angiotensina, con reducción de la proteinuria a los 3 meses a 1 g/d y estabilidad de la filtración glomerular.
En el SHU en la infancia, el número de capilares afectados condiciona el daño glomerular a largo plazo por medio del desarrollo de hiperfiltración glomerular (HFG). Múltiples artículos1-5 recogen este hecho. Garg et al.6 incluyen 49 estudios, 3476 pacientes con un seguimiento medio de 4,4 años (1 a 22); pacientes de 1 mes a 18 años. Demuestra una incidencia combinada de mortalidad/insuficiencia renal terminal (IRT) del 12 %. Hasta un 64 % presentaron complicaciones renales (definidas como hipertensión arterial [HTA], descenso del filtrado glomerular [FG] < 80 ml/min y/o proteinuria significativa), con una incidencia combinada del 25 %. Un 15 % padecieron proteinuria, 10 % HTA y un 15,8 % deterioro del FG. El pronóstico a largo plazo fue peor en aquellos que padecieron necrosis cortical y que precisaron tratamiento renal sustitutorio por encima de 8 días. Entre un 8-61 % de los que habían recuperado función renal completa padecieron complicaciones renales que se iniciaron incluso 20 años después.
Moghal et al.7 biopsiaron 7 pacientes normotensos con recuperación completa de la función renal y daño tardío, con el resultado de: glomerulosclerosis global (85,7 %), lesiones esclerosantes segmentarias (28,6 %), atrofia tubular (14 %) y glomerulomegalia global con engrosamiento intimal de pequeños vasos (100 %).
Caletti et al.8 biopsiaron a 30 niños con complicaciones renales con un tiempo desde el debut de 11,2 años. Encontraron un 56,6 % de glomerulosclerosis focal y segmentaria con hialinosis, 30 % de glomerulonefritis (GN) mesangial proliferativa difusa, 6,6 % de GN de cambios mínimos y 6,6 % de glomerulosclerosis difusa. Se interpretaron los hallazgos como una GN mesangial seguida por una glomerulosclerosis focal y segmentaria con hialinosis que culminaría en glomerulosclerosis difusa. Al finalizar el seguimiento, solo un 25 % de estos mantenía un FG normal.
Tönshoff et al.9 estudió a 89 pacientes tras 16 años. Un 10,4 % progresaron a insuficiencia renal crónica (IRC) avanzada y un 3 % llegó a IRT.
Gagnadoux4 siguió a 29 pacientes durante 15-28 años. Un 41,4 % desarrollaron secuelas renales, 10,3 % progresaron a IRC y un 13,8 % a IRT entre 16 y 24 años tras el debut. Un 6,9 % tenían un FG normal a los 10 años y desarrollaron la IRC con posterioridad a este tiempo.
Kelles et al.5 con 95 pacientes seguidos durante 10 años comprobó que un 65 % permanecían sin secuelas, un 26 % tenían alteraciones renales leves y un 9 % habían progresado a IRC severa.
En todas las series la posibilidad de progresión fue mayor si padecían GN mesangial.
Estos datos coinciden con la posibilidad de desarrollar patología renal tardía tras padecer una preeclampsia en el embarazo10. En ambos casos, una noxa autolimitada en el tiempo condiciona secuelas funcionales renales a muy largo plazo.
En nuestro caso, la histología descarta la posibilidad de glomerulopatía primaria. Pese al escaso tiempo de seguimiento, hemos podido comprobar una disminución significativa de la proteinuria, lo cual le concede un buen pronóstico renal funcional.
Este caso es ilustrativo de que un SHU epidémico típico en niños puede condicionar insuficiencia renal, HTA y proteinuria. Estas complicaciones pueden iniciarse incluso 20 años después de haberse considerado el proceso como curado. Por ello pensamos que está indicado mantener el seguimiento a largo plazo de estos pacientes. El tratamiento debería estar encaminado a controlar factores de riesgo que acentúen la HFG (obesidad, HTA) y específicamente la inhibición del eje renina-angiotensina-aldosterona.
Conflictos de interés
Los autores declaran que no tienen conflictos de interés potenciales relacionados con los contenidos de este artículo.
Figura 1. Biopsia renal






