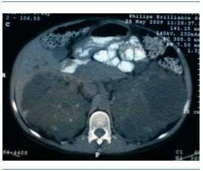
Mujer de 46 años, con antecedentes familiares de enfermedad poliquística del adulto, que ingresó por insuficiencia renal avanzada, con creatinina sérica de 8 mg/dl y clínica urémica. En la exploración abdominal se palpaban dos masas gigantes polilobuladas en ambos flancos. La ecografía abdominal mostró riñones poliquísticos y múltiples quistes hepáticos de diferentes tamaños. Durante el ingreso presentó un cuadro febril con dolor abdominal en fosa ilíaca derecha, por lo que, ante la sospecha de quiste renal complicado, se solicitó un TAC tóraco-abdominal, que mostró la existencia de una imagen ovoidea de 8,4 x 2,1 cm, hipodensa, adyacente al lado izquierdo del pericardio, compatible con quiste pericárdico. Un ecocardiograma demostró la presencia de un derrame pericárdico leve asociado. Ante la presencia de un cultivo de orina positivo para Escherichia coli, se inició tratamiento antibiótico y remitieron la fiebre y el dolor. Actualmente la paciente está en programa de hemodiálisis periódica.
COMENTARIO
En la poliquistosis del adulto, la presencia de quistes extrarrenales es frecuente, sobre todo a nivel hepático (70-90%), seguido del páncreas (10%), bazo y aracnoides; excepcionalmente, se han detectado en ovario, esófago, endometrio, así como en vesículas seminales, próstata y epidídimo (N Engl J Med 2004;350(2):151-64. La aparición de quistes pericárdicos es una rara asociación, únicamente se ha descrito un paciente que requirió extirpación quirúrgica (Indian Journal of Nephrology Indian J Nephrol 2005;15:28-29). La presencia de quistes pericárdicos suele demostrarse en fases avanzadas de la enfermedad por ser habitualmente asintomáticos, y deben ser considerados como una manifestación más de la poliquistosis del adulto.
Figura 1. Imagen de quiste adyacente al lado izquierdo del pericardio
Figura 2. Poliquistosis renal






