Las lesiones del seno renal se clasifican en no tumorales o tumorales. Dentro de las primeras se pueden encontrar lipomatosis del seno renal y quistes, como más frecuentes, y lesiones vasculares y colecciones urinarias, raramente. Las pruebas diagnósticas empleadas en su estudio incluyen la urografía, la ecografía-Doppler, la tomografía computarizada (TC), la resonancia magnética (RM) y la arteriografía1.
Las malformaciones arteriovenosas (MAV) renales, como los aneurismas de la arteria renal, las fístulas arteriovenosas (FAV) o las varices de la vena renal, son lesiones poco frecuentes, que pueden afectar al seno renal y manifestarse como masas parapélvicas o lesiones peripélvicas. Las FAV pueden ser de origen congénito (22-25%), idiopáticas (3-5%) o adquiridas (70-75%)². Clínicamente, se pueden manifestar en un 50% de los casos con signos de insuficiencia cardíaca congestiva e hipertensión diastólica. En un 33% de los pacientes con FAV, la forma de presentación es una hematuria macroscópica, frecuentemente recidivante y grave. En ocasiones puede haber molestias lumbares inespecíficas, dolor abdominal o fracaso renal2-5. Debido a la infrecuencia de las FAV congénitas o idiopáticas, se describe el caso de una paciente afectada por esta patología, y los métodos diagnósticos y el tratamiento que se establecieron.
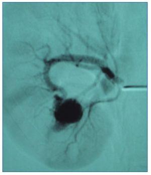
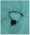
Se trata de una mujer de 59 años, con antecedentes de hipercolesterolemia y artrosis, que se remite a las consultas de nefrología para estudio de microhematuria persistente y asintomática, sin proteinuria, y función renal normal. Se realiza ecografía renal que muestra riñones de medida y morfología normales. En el seno del riñón derecho se aprecia una imagen hipoecogénica de 17 mm, que en el estudio Doppler se llena completamente de flujo sanguíneo, lo que sugiere la presencia de una MAV. Posteriormente, se realiza una angio-TC, que muestra ambas arterias de morfología y calibre conservados. Destaca la presencia de una lesión hipercaptante de 17 × 22 mm de diámetro en el seno del riñón derecho, con llegada de vasos arteriales y opacificación precoz de la vena renal, lo que indica la existencia de shunt arteriovenoso. Se practica arteriografía no selectiva y selectiva renal derecha por abordaje femoral. Se identifica una imagen seudoaneurismática de 2 cm localizada intrarrenalmente en el polo inferior, con importante FAV asociada (fig. 1). Se procede a estudio supraselectivo intrarrenal, que identifica el pedículo aferente único. Se emboliza selectivamente con microcoils de 4/4 y 3/3 mm, con excelente resultado morfológico final: oclusión del seudoaneurisma, desaparición de la FAV asociada y preservación de la práctica totalidad del parénquima (fig. 2). Tras más de 5 años de dicho procedimiento angiorradiológico, la paciente permanece asintomática y con controles ecográficos sin evidencia de nuevas alteraciones morfológicas.
Figura 1. Imagen seudoaneurismática de 2 cm, con importante fístula arteriovenosa asociada.
Figura 2. Desaparición de la fístula arteriovenosa asociada tras embolización con microcoils.
Aunque la ecografía-Doppler renal permite evaluar el carácter vascular de las formaciones anecoicas, resulta difícil diferenciar las FAV de los aneurismas. Por ello debe realizarse una angiografía, una angio-TC o una angio-RM ante la duda diagnóstica. La angiografía permite confirmar su diagnóstico y, al mismo tiempo, plantear una embolización de la FAV, la mayoría de las veces exitosa. En caso de fracasar este procedimiento, y ante pacientes con marcada sintomatología, debe plantearse la cirugía el máximo de conservadora posible6-8.
Hay que destacar que, debido a la potencial morbimortalidad de los casos asintomáticos de FAV renales, es aconsejable el tratamiento de los que han sido diagnosticados de manera incidental.
Conflicto de intereses
Los autores declaran que no tienen conflicto de intereses potencial relacionado con los contenidos de este artículo.
Correspondencia: Montserrat Picazo Sánchez
Servicio de Nefrología.
Fundació Salut Empordà.
Rda. Rector Arolas, s/n. 17600 Figueres
mps4827@yahoo.es
Revisión por expertos bajo la responsabilidad de la Sociedad Española de Nefrología.






