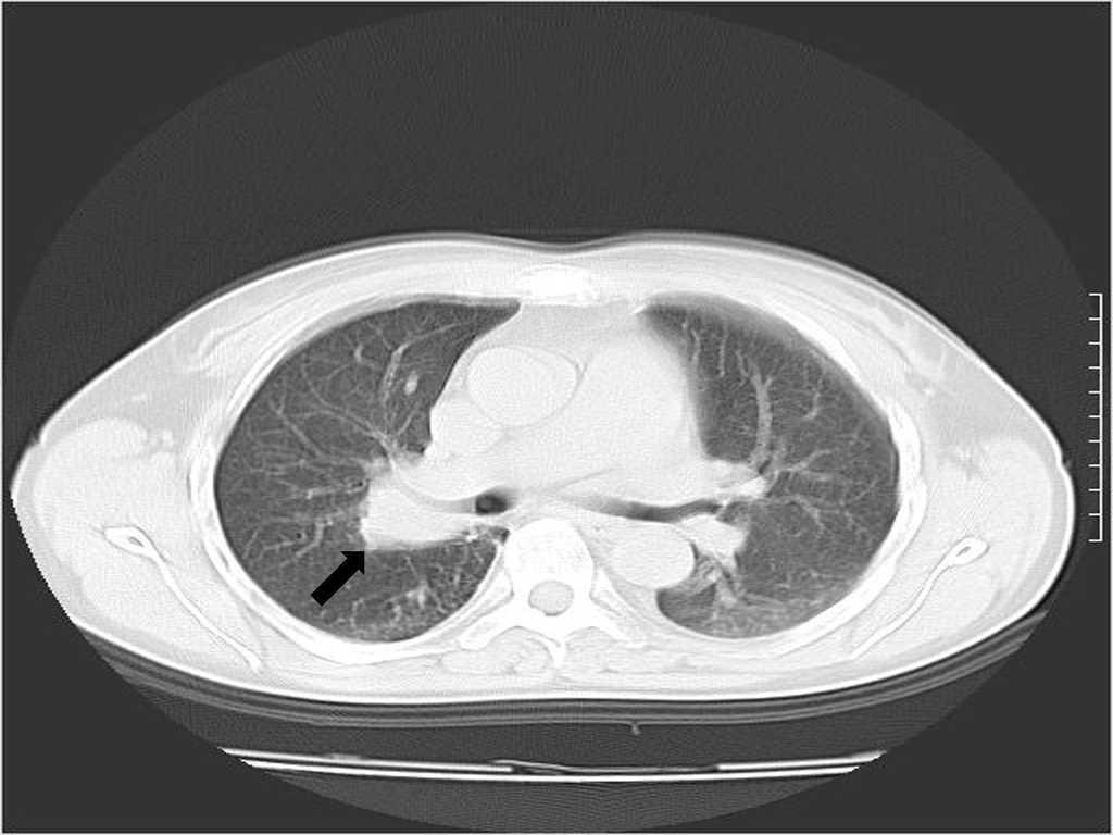
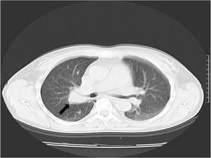
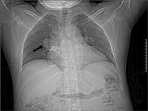
Mujer de 38 años, con trasplante renal de donante cadáver normofuncionante desde hace 3 años, tratada con prednisona, azatioprina y ciclosporina, que ingresa en nuestro servicio con cuadro de neumonía de lenta resolución y creatinina sérica de 0,9 mg/dl. En la radiografía de tórax se constata una imagen nodular en el hilio pulmonar derecho (figura 1). Se solicita una TC (figura 2) en la que se comprueba una masa sólida en el bronquio segmentario superior derecho asociada con lesiones inflamatorias del parénquima. Se realiza fibrobroncoscopia, observándose una tumoración que hace relieve endobronquial con elementos inflamatorios en su superficie. Se toma biopsia que se envía al Hospital Hermanos Ameijeiras, donde se emite el diagnóstico patológico de un seudotumor inflamatorio por Rhodococcus equi ante el hallazgo de reacción inflamatoria y la comprobación de cocos intramacrófagos, así como cuerpos de Michaelis-Gutman. Esta paciente recibió tratamiento prolongado (60 días) con meropenem y ciprofloxacino, y la imagen tumoral había desaparecido en la tomografía axial computarizada evolutiva realizada tres meses más tarde.
Rhodococcus equi (Corinebacterium) es un bacilo, actinomiceto, aerobio grampositivo parcialmente ácido-alcohol resistente, descrito originalmente como patógeno en animales, que puede producir infecciones oportunistas en pacientes inmunodeprimidos. Aunque la mayoría de los casos descritos se presentan en pacientes con sida1, también otras poblaciones como son los trasplantados de órganos sólidos o los pacientes en hemodiálisis2 pueden verse afectados3. El órgano diana suele ser el pulmón, aunque también se han descrito otras localizaciones4, como el cerebro5 o pericarditis y linfadenitis6. Aunque nuestra paciente evolucionó bien, el pronóstico de esta infección es muy grave, a pesar del tratamiento antibiótico.
Figura 1. Imagen que muestra engrosamiento del hilio pulmonar derecho.
Figura 2. Tomografía computarizada que demuestra tumor en el bronquio segmentario superior derecho.
										
				





