Se trata de un paciente con enfermedad renal crónica en hemodiálisis, que decide cambio de técnica a diálisis peritoneal con mala adaptación, que se caracteriza por un mal control volumétrico y de la presión arterial desde el inicio. Por este motivo, el paciente regresa a hemodiálisis nuevamente sin conseguir un óptimo control de la presión arterial, lo que desemboca en una emergencia hipertensiva con desarrollo de encefalopatía posterior reversible.
El síndrome de encefalopatía posterior reversible es una entidad clinicorradiológica con presentación neurológica aguda o subaguda, y que se asocia a la presencia de lesiones que afectan principalmente a la sustancia blanca de las regiones cerebrales posteriores. Se vincula con hipertensión arterial grave de rápido desarrollo o con insuficiencia renal (aguda o crónica). El tratamiento del síndrome de encefalopatía posterior reversible incluye terapias antihipertensivas, con el objetivo de obtener presiones arteriales medias de entre 105 y 125 mmHg; fármacos anticonvulsionantes; suspensión de medicamentos sospechosos; intensificación de la dosis de diálisis y de la ultrafiltración (incluso con el cambio de modalidad de diálisis, si es preciso), o el aporte de albúmina y magnesio. Un abordaje apropiado y rápido favorecerá la resolución del cuadro sin secuelas.
INTRODUCCIÓN
Las emergencias hipertensivas son eventos muy graves que afectan a órganos diana y, por lo tanto, empeoran la morbimortalidad del paciente. Presentamos el caso de una emergencia hipertensiva en paciente con enfermedad renal crónica terminal (ERCT) en hemodiálisis, que cursa con crisis convulsiva secundaria a encefalopatía hipertensiva.
CASO CLÍNICO
Paciente varón de 28 años, con antecedentes personales de asma bronquial, migraña crónica, ERCT secundaria a nefropatía tubulointersticial, probablemente por ingesta masiva de antiinflamatorios no esteroideos.
Previamente a su inicio en hemodiálisis desarrolló hipertensión arterial (HTA) grado 3 refractaria a tratamiento. Al poco tiempo de su inicio en la técnica se logró el control de la presión arterial (PA). A los 3 meses, por decisión personal, se transfirió a diálisis peritoneal.
Con esta técnica, el paciente presentó paradójicamente una disminución de la diuresis residual y volvió a presentar HTA no controlada, que se asoció a valores analíticos de infradiálisis. Dados estos eventos, se decidió regreso a hemodiálisis a través de catéter venoso central.
A su vuelta a hemodiálisis, el paciente presentó sobrecarga de volumen, que se manifestó clínicamente en anasarca, y persistía el control irregular de la PA, a pesar de ajuste de fármacos y de ultrafiltración. El paciente precisó remisión a urgencias en varias ocasiones por crisis hipertensivas refractarias.
Durante uno de esos eventos, se remitió a urgencias desde su domicilio por varios episodios de crisis tonicoclónicas con 240/140 mmHg de PA, que se atribuyeron a una probable encefalopatía hipertensiva, por lo que ingresó en la unidad de cuidados intensivos (UCI).
En la tomografía computarizada (TC) craneal se objetivaron varios focos de lesiones hipodensas no confluyentes, de localización bilateral a nivel de lóbulos parietales posteriores, en relación con signos de encefalopatía reversible, sin hemorragias ni signos de expansividad que sugirieran masas.
Para el control de la crisis convulsiva se administró bolo de midazolam 10 mg y se añadió propofol a 10 mg/h en perfusión continua. Para el control de la PA, inicialmente se administró, en perfusión continua, urapidilo a 40 mg/h sin conseguirse, y fue necesario añadir nitroprusiato sódico a 0,25 μg, con lo que se obtuvo un descenso progresivo de PA a 180-170/110-100 mmHg; posteriormente se añadió tratamiento oral. Permaneció en la UCI 48 h, hasta que se estabilizó; se dio de alta sin secuelas neurológicas, y continuó el seguimiento en la planta de nefrología.
Durante su estancia en planta se realizó el siguiente diagnóstico diferencial. La situación de emergencia hipertensiva en un paciente joven obliga a descartar otros factores causantes de hipertensión secundaria:
• Enfermedad renovascular (estenosis arterial renal): descartada mediante angio-TC, en la que se objetivaron riñones con cambios atróficos por enfermedad de base conocida. El territorio vascular presentaba 2 arterias renales izquierdas con origen independiente aórtico, y una arteria renal derecha única de estructura y calibre normales, sin evidenciarse en ningún caso compresiones intrínsecas ni extrínsecas de las arterias renales.
• Feocromocitoma: se realizó TC abdominal, que objetivó glándulas suprarrenales de tamaño y morfología dentro de la normalidad, sin identificar lesiones nodulares. Riñones de pequeño tamaño, con corticales adelgazadas en relación con la enfermedad de base, sin identificar lesiones nodulares ni otros hallazgos dentro de lo valorable. Mínimo derrame pleural y pericárdico.
• Consumo de tóxicos: se realizó analítica en orina, que resultó negativa para anfetaminas, cocaína y cannabis.
• Síndrome de apnea-hipopnea del sueño (SAHS): se realizó polisomnografía con resultado de SAHS leve; por lo que se iniciaron, por parte de neumología, medidas higienicodietéticas.
También se realizó estudio de lesión de órgano diana, y destacó el ecocardiograma transtorácico, en el que se objetivó: cardiopatía hipertensiva con ventrículo izquierdo ligeramente dilatado, con grosor parietal aumentado y función ventricular izquierda sistólica global conservada, con FEVI (fracción de eyección del ventrículo izquierdo) en el límite bajo de la normalidad (53%). Disfunción diastólica grado II con aurícula izquierda moderadamente dilatada.
El tratamiento antihipertensivo se ajustó al alta, y precisó dosis plenas de un antagonista del receptor de angiotensina II (ARA II), un antagonista del calcio, un bloqueante alfa y un bloqueante beta, y un agonista de receptor de imidazolina. Durante su estancia en el centro de diálisis, el paciente mantuvo un adecuado control de la PA, por lo que disminuyó progresivamente la necesidad de fármacos antihipertensivos, y se mantuvieron el ARA II y el bloqueante beta.
Aproximadamente al mes del episodio se realizó seguimiento posterior con nueva TC craneal, en la que no se visualizaron secuelas de encefalopatía posterior reversible.
Tras lo cual se incluyó en lista de espera de trasplante renal. Posteriormente recibió un injerto de donante cadáver, y presentó buen control, tanto de volumen como de PA, en su control en la consulta de trasplante.
DISCUSIÓN
La HTA es un factor de riesgo cardiovascular frecuente en la población general. Su tratamiento ambulatorio es fundamentalmente a través de cambios en el estilo de vida y farmacológico; habitualmente cursa con buen pronóstico.
Sin embargo, excepcionalmente, surgen entidades tales como las urgencias y emergencias hipertensivas que cambian de forma abrupta dicho pronóstico.
Las emergencias hipertensivas son las elevaciones agudas de la PA sistólica (PAS) o diastólica (PAD), asociadas con daño agudo de órgano diana (cardiovascular, cerebrovascular o renal)1,2. Por el contrario, las urgencias hipertensivas son elevaciones agudas de la PAS o PAD sin demostración de lesión de órgano diana3,4.
Es importante destacar que es la presencia de lesión de órgano diana, y no el valor absoluto de la PA, el elemento diferenciador entre la urgencia y la emergencia hipertensiva y que, a la larga, dictará la actuación a seguir (fig. 1).
Figura 1. Actitud a seguir ante una urgencia y una emergencia hipertensivas.
PA: presión arterial; PAD: presión arterial diastólica; PAS: presión arterial sistólica.
Las emergencias hipertensivas se deben monitorizar y tratar de manera intensiva con medicación parenteral hasta que las cifras de PA desciendan a niveles seguros, con el mínimo impacto posible sobre los órganos diana. Una corrección brusca puede inducir eventos isquémicos cerebrales o coronarios5.
Los fármacos empleados para el tratamiento de la emergencia hipertensiva deben satisfacer los siguientes criterios: posibilidad de administración intravenosa, comienzo rápido de acción y semivida corta, que permita el uso flexible con una fácil dosificación (tabla 1)5.
La encefalopatía hipertensiva es un cuadro clínico que se caracteriza por la presencia de elevación aguda de la PA, cefalea intensa y progresiva, asociada a náuseas, vómitos y alteraciones visuales, que aparecen cuando los mecanismos de autorregulación de la perfusión cerebral no son capaces de ajustar el flujo sanguíneo. El objetivo inicial del tratamiento es reducir la PAD a 100-105 mmHg en las primeras 2 a 6 h, con un descenso máximo inicial no superior al 25% de la PA inicial.
Por otro lado, el síndrome de encefalopatía posterior reversible (SEPR) es una entidad clinicorradiológica con presentación neurológica aguda o subaguda, asociada a la presencia de lesiones que afectan, sobre todo, a la sustancia blanca de las regiones cerebrales posteriores. Se asocia principalmente con HTA grave de rápido desarrollo o con insuficiencia renal (aguda o crónica)6,7. También se ha descrito como una complicación neurológica de varias entidades médicas (tabla 2).
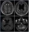
El hallazgo radiológico característico es la presencia en la resonancia magnética de lesiones hiperintensas en las secuencias T2 y FLAIR, frecuentemente bilaterales y localizadas en las regiones cerebrales posteriores, que se corresponden con zonas de edema vasogénico (fig. 2).
Figura 2. Imagen radiológica del síndrome de encefalopatía posterior reversible (SEPR).
Se conoce poco de la fisiopatología del SEPR. La teoría más aceptada, sobre todo en los casos asociados a hipertensión, es la pérdida de la autorregulación cerebral, que conduce a la aparición de edema vasogénico. Su característica principal es la reversibilidad, tanto de la clínica como de las lesiones cerebrales, siempre que se realice un diagnóstico precoz y un tratamiento adecuado.
Son pocos los casos publicados de esta entidad en los pacientes en diálisis peritoneal. La mayoría de los casos se dan en pacientes en hemodiálisis.
La diálisis peritoneal podría ser protectora frente a esta entidad6, en los pacientes con buena respuesta al tratamiento, correcto control de volumen y PA estable. Otros autores también señalan la importancia del control de la anemia y el tratamiento con los agentes estimulantes de la eritropoyesis.
El tratamiento del SEPR incluye terapias antihipertensivas5-8, con el objetivo de obtener presiones arteriales medias de entre 105 y 125 mmHg, fármacos anticonvulsionantes, suspensión de medicamentos sospechosos, intensificación de la dosis de diálisis y de la ultra-filtración (incluso con el cambio de modalidad de diálisis, si es preciso) o el aporte de albúmina y magnesio. Un abordaje apropiado y rápido favorecerá la resolución del cuadro sin secuelas.
Nuestro caso clínico es un paciente con ERCT en hemodiálisis que decide cambio de técnica a diálisis peritoneal con mala adaptación, que se caracteriza por un mal control volumétrico y de la PA desde el inicio. Por este motivo, el paciente regresa a hemodiálisis sin conseguir un óptimo control de la PA, lo que desemboca en una emergencia hipertensiva con desarrollo de encefalopatía posterior reversible. No presentaba anemia, ni infección subyacente alguna, ni desnutrición, salvo hipertensión y problemas de volumen a consecuencia del fallo de la técnica previo.
Conflicto de intereses
Los autores declaran que no tienen conflicto de intereses.
Correspondencia:
Ana Yurena Sánchez Santana
Avericum.
C/ Ignacio Ellacuría Beascoechea, 20. 35220 Telde. Las Palmas.
ana.sanchez@avericum.com
Revisión por expertos bajo la responsabilidad de la Sociedad Española de Nefrología.








