El síndrome de Sjögren primario es una enfermedad inflamatoria multisistémica que suele cursar con lesiones de las glándulas exocrinas originando síntomas de sequedad oral y ocular. La expresión clínica también incluye manifestaciones generales, afección extraglandular y desarrollo de linfoma. La asociación de enfermedad renal es frecuente. Habitualmente, la lesión observada corresponde a nefritis túbulo-intersticial. En cambio, es rara la afectación glomerular, así como los casos de fracaso renal agudo severo. Presentamos el caso de una mujer con síndrome de Sjögren primario que desarrolla un cuadro de insuficiencia renal aguda grave por glomerulonefritis crioglobulinémica con respuesta favorable a la terapia con esteroides, ciclofosfamida, plasmaféresis y rituximab.
Primary Sjögren´s syndrome is a multisystemic inflammatory disorder that mainly affects the exocrine glands and usually presents as dryness of the mouth and eyes. The wide clinical spectrum of the disease also includes general symptoms, extraglandular manifestations and lymphoma. It is frequently associated with renal diseases. Interstitial nephritis is the most common renal manifestation, but glomerular involvement and acute renal failure may also (rarely) occur. We describe a case of a female patient with primary Sjögren´s syndrome complicated by severe acute renal failure due to cryoglobulinemic glomerulonephritis. Treatment with steroids, cyclophosphamide, plasma exchange and rituximab successfully led to recovery from acute renal failure.
INTRODUCCIÓN
El síndrome de Sjögren (SS) es una enfermedad crónica autoinmunitaria, caracterizada por infiltración linfoplasmocitaria de glándulas exocrinas. Afecta principalmente a las glándulas lagrimales y salivales, lo que da lugar al denominado síndrome seco. En ausencia de otra enfermedad autoinmunitaria asociada se denomina síndrome de Sjogren primario (SSp).
La mitad de los pacientes presentan manifestaciones extraglandulares, con más frecuencia artritis y enfermedad pulmonar. Asimismo, la afectación renal por nefritis túbulo-intersticial es una reconocida complicación del SSp. En cambio, las glomerulopatías y los episodios de fracaso renal agudo grave son excepcionales.
Describimos el caso de una paciente afectada de SS que desarrolla una glomerulopatía crioglobulinémica con fracaso renal agudo grave con necesidad de diálisis y buena respuesta al tratamiento inmunosupresor aplicado.
EXPOSICIÓN DEL CASO
Mujer de 56 años, diagnosticada de SSp 13 años antes. Presentaba síndrome seco, astenia y frecuentes episodios de poliartritis. Durante este tiempo, siguió tratamiento prolongado con antiinflamatorios no esteroideos (AINE) y esteroides. Además, en los últimos meses, se había asociado metrotexato con escasa mejoría de los síntomas.
Tres meses después de haber iniciado tratamiento odontológico con implantes dentales, ingresa con edema facial, síndrome febril y disminución de diuresis.
En la exploración física destacaban deterioro del estado general, tensión arterial (TA) de 160/90 mmHg, fiebre y edematización submandibular con evidencia de infección activa en arcada dentaria inferior. No presentaba edemas distales ni lesiones cutáneas.
En el estudio analítico se detectaron Hb 9,2 g/dl, creatinina 2,9 mg/dl, urea 110 mg/dl, perfil hepático, lipídico, ANCA e inmunoglobulinas normales. ANA positivos, anti-ADN negativos. C3 y C4 bajos, 46 y 1,6 mg/dl, respectivamente. Serología para VHB, VHC y VIH negativa. Hemocultivos negativos. Los ANA, anticuerpos anti-Ro, anti-LA y factor reumatoide (FR) se mantuvieron positivos desde que fuera diagnosticado el SSp. También había presentado, ocasionalmente, hipocomplementemia. En orina se observaron proteinuria (2 g/l) y microhematuria. La ecografía renal fue normal. Evolucionó con febrícula vespertina, a pesar de antibioterapia, y oliguria, siendo preciso iniciar tratamiento con diálisis.
Sospechando una glomerulonefritis (GN) aguda, probablemente postinfecciosa, dado el antecedente del proceso infeccioso mandibular e hipocomplementemia, se realizó biopsia renal con los siguientes resultados:
El cilindro para microscopia óptica contenía 8 glomérulos que presentaban oclusión capilar difusa por trombos de material proteináceo PAS positivo (figura 1). Se acompañaban, en algunos glomérulos, de infiltración segmentaria de células inflamatorias. El intersticio mostraba focos aislados de inflamación linfoplasmocitaria y las arterias no presentaban alteraciones.
En el estudio de inmunofluorescencia directa (IFd) se observó una intensa positividad en los trombos de IgG, IgM, kappa y lambda, siendo más débil para C3 e IgA (figura 2). C1q y fibrinógeno fueron negativos. El estudio ultraestructural se realizó con posterioridad.
Diagnóstico anatomopatológico
Glomérulos con masivos trombos intracapilares de inmunoglobulinas sospechoso de glomerulopatía crioglobulinémica asociada a SS.
Evolución
La analítica confirmó la existencia de crioglobulinemia (criocrito 50%) y banda monoclonal IgM-kappa, por lo que recibió 3 pulsos de metilprednisolona y un pulso de 750 mg i.v. de ciclofosfamida. Dada la gravedad del cuadro, se decidió continuar el tratamiento con un curso de seis sesiones de plasmaféresis y cuatro dosis semanales de 375mg/m2 de rituximab.
Como complicaciones, la paciente presentó infección del catéter de diálisis por Candida, resuelta con antifúngicos y retirada del catéter. Además, se produjo infección por citomegalovirus (CMV) que cursó de forma asintomática y que fue controlada tras un ciclo de tratamiento con valganciclovir.
Evolucionó con lenta mejoría de función renal. Después de 9 semanas, pudo suspenderse el tratamiento dialítico. A los 5 meses, la creatinina era 1 mg/dl, GFR 42 ml/min/1,73 m2, el complemento y el FR eran normales y las crioglobulinas, negativas. También se normalizaron la proteinuria y el sedimento. Los linfocitos CD19 en sangre periférica pasaron del 21% pretratamiento al 0% tras el mismo. La dosis de esteroides se pudo ir reduciendo progresivamente hasta mantenerse con 5 mg/48 h de prednisona.
Transcurridos 8 meses del episodio, la paciente reingresa con astenia, poliartritis y epigastralgia. Se observaron lesiones purpúricas en los miembros inferiores. En el estudio analítico se detectan hipocomplementemia y FR elevado, con función renal estable y crioglobulinas negativas. Tras una breve mejoría, sufre una gastroenteritis grave con fiebre, vómitos y diarrea cuantiosos seguida de caída del volumen de diuresis. Continúa estando oligúrica, a pesar de una adecuada hidratación, de manera que se repiten el estudio analítico y la biopsia renal. Se observaron criocrito del 50% y recuperación de linfocitos CD19 en sangre periférica (23%).
La biopsia renal se informó de recidiva de glomerulopatía crioglobulinémica, contenía 22 glomérulos, uno de ellos esclerosado, los restantes presentaban también abundantes trombos hialinos (PAS+) con oclusión capilar y variable infiltración monocitaria, a veces intensa, en los espacios capilares (figura 3 y figura 4). Había escasos focos de fibrosis intersticial. En IFd la tinción era preferentemente intraluminal para los mismos antisueros de la biopsia previa. En microscopia electrónica los depósitos tenían organización microtubular (figura 5).
Con estos hallazgos y teniendo en cuenta la evolución favorable observada durante el primer episodio, se aplicó el mismo régimen terapéutico. Después de precisar hemodiálisis durante 3 semanas comienza a recuperar función renal. A los 3 meses alcanza una creatinina de 0,9 mg/dl, GRF 52 ml/min/1,73 m2, con normalización de complementos y negativización de crioglobulinas. En este episodio se observó también una reactivación asintomática de infección por CMV con buena respuesta a valganciclovir y un episodio de infección urinaria resuelta de forma ambulatoria. Hasta el momento han transcurrido 5 meses sin que hayan surgido nuevas complicaciones.
DISCUSIÓN
Aunque las formas de presentación habituales en el SS son la xerostomía y la queratoconjutivitis seca, son muy frecuentes las manifestaciones extraglandulares, responsables de la gran variabilidad clínica de la enfermedad, ya que puede verse afectado prácticamente cualquier órgano. La complicación más temida es el desarrollo de linfomas de células B, observado en el 5-7% de los casos.
Se estima que el 25% de los pacientes con SSp presenta alteraciones renales. Suelen ser casos de nefritis tubulointersticial (NTI), manifestada principalmente por proteinuria y disfunción tubular con evidencia de infiltrados linfoplasmocíticos1. Rara vez se asocia insuficiencia renal y, cuando se observa, suele ser leve. La asociación de SS con glomerulopatías se ha descrito con muy poca frecuencia.
En un estudio de 60 pacientes con SSp y evidencia de disfunción tubular y/o glomerular, nueve fueron biopsiados, seis presentaban NTI y tres, enfermedad glomerular, correspondiendo uno de estos casos a una glomerulonefritis membranoproliferativa (GNMP) crioglobulinémica2.
En la serie recientemente publicada de Maripuri et al., sólo 24 pacientes con SSp (el 0,3% de 7.276 pacientes) eran evaluados por biopsia renal, 17 tenían una NTI y siete presentaban lesiones glomerulares que incluían dos GNMP con crioglobulinemia1.
La crioglobulinemia mixta se asocia con enfermedades linfoproliferativas, autoinmunitarias e infecciones. En nuestro medio, el principal agente causal es el VHC, mientras que el SS es la causa más frecuente de crioglobulinemia mixta, en ausencia de infección por VHC3. En el estudio de Ramos-Casals et al., hasta en el 16% de los pacientes con SSp se detectaron crioglobulinas. Sin embargo, la mitad de ellos estaban infectados por VHC4.
La activación policlonal de linfocitos B (LB) característica del SSp puede evolucionar, en algunos casos, hacia una expansión oligoclonal o monoclonal de LB con producción de IgM-kappa, que constituye el componente monoclonal de la crioglobulinemia. Finalmente, esta activación monoclonal puede derivar en una enfermedad linfoproliferativa maligna. En este sentido, la detección de crioglobulinas indica un mayor riesgo de progresión a linfoma.
Queda por aclarar si los procesos infecciosos intercurrentes precipitan la estimulación de LB y la síntesis de crioglobulinas en pacientes con SS. En el caso que presentamos, el brote inicial y la recidiva de glomerulonefritis crioglobulinémica se vieron precedidos por una infección submandibular y por una gastroenteritis aguda, respectivamente.
La morfopatología renal asociada con crioglobulinemia es heterogénea, siendo la GNMP tipo I el patrón histológico más frecuente (80%). Otros patrones de lesión renal incluyen GN proliferativa difusa o focal y más raramente glomerulopatía membranosa. Es habitual la infiltración por monocitos aunque también pueden verse polimorfonucleares en áreas segmentarias glomerulares. Se identifican trombos intracapilares en aproximadamente la mitad de los casos y suelen ser focales. Formas con masivos trombos crioglobulínicos intracapilares, como los hallados en nuestra paciente, son infrecuentes y suelen cursar con un rápido deterioro de la función renal5.
En IFd han sido descritos tres patrones distintivos, uno de ellos consistente en una fuerte tinción de los trombos intraluminales y moteado periférico, es el patrón mas característico y debe indicar el diagnóstico de crioglobulinemia; sin embargo, sólo una reducida parte de los pacientes con crioglobulinemia exhiben ésta típica apariencia6.
En cuanto al tratamiento, tradicionalmente se han empleado esteroides y distintos inmunosupresores, ciclofosfamida o azatioprina, además de plasmaféresis en los casos más graves, con resultados no muy alentadores. Únicamente el 14% de los pacientes logra mantener la remisión durante períodos prolongados, asumiendo una elevada incidencia de complicaciones graves7.
Rituximab es un anticuerpo monoclonal con actividad anti-CD20, capaz de producir una importante depleción de linfocitos B. Aunque indicado inicialmente en el tratamiento de linfomas B, en los últimos años se ha extendido su uso dados los buenos resultados obtenidos.
Se ha empleado en crioglobulinemia mixta esencial y asociada con VHC resistente al tratamiento inmunosupresor convencional, observándose una mejoría clínica de las artralgias y de las lesiones cutáneas, así como un descenso del criocrito y un aumento del complemento. Desde el punto de vista renal, se han objetivado una mejoría de la función renal y un descenso de la proteinuria. Cacoub et al. han revisado los 57 casos publicados de crioglobulinemia mixta tratados con rituximab. Observaron una respuesta clínica favorable en 15 de los 18 pacientes (83%) con afectación renal. En el 75% de ellos la respuesta fue completa, aunque con un 39% de recidivas, que suelen responder a nuevos ciclos de tratamiento. En general, el tratamiento fue bien tolerado y con pocos efectos secundarios8. El empleo de rituximab crea una nueva expectativa para el manejo clínico de esta entidad. No obstante, los datos de los que se dispone son muy escasos y se hace necesaria la realización de estudios que evalúen el riesgo-beneficio de este tratamiento a largo plazo.
Preguntas
Dra. Julia Blanco (Madrid). ¿Cómo se explica la presencia de inmunoglobulinas kappa y lambda en la biopsia?
Respuesta. En las crioglobulinemias, los depósitos glomerulares detectados por inmunofluorescencia directa en la biopsia renal reflejan la composición del precipitado en suero. En la crioglobulinemia mixta tipo II, que sería la que correspondería a nuestro caso, están presentes una inmunglobulina monoclonal (habitualmente IgM kappa) y otra policlonal (IgG). Los trombos intracapilares en estos casos se tiñen habitualmente con antisueros para ambas inmunoglobulinas IgG e IgM, así como también para ambas cadenas ligeras kappa y lambda. El componente monoclonal kappa de la IgM quedaría enmascarado o solapado por la positividad de ambas cadenas ligeras kappa y lambda correspondientes a la IgG policlonal.
Dr. Antonio Barat (Madrid). ¿Pensáis que en la segunda biopsia podría haber asociada una necrosis tubular aguda que hubiera contribuido al rápido deterioro de la función renal?
R: En la segunda biopsia se evidencian, efectivamente, alteraciones focales del epitelio tubular indicativas de lesión aguda que pueden simular un fallo renal isquémico. En nuestra opinión, al igual que ocurre en otros casos de glomerulonefritis graves, interpretamos que estos cambios podrían ser secundarios al proceso glomerular florido que presentaba la paciente más que a una necrosis tubular aguda.
Dr. Miguel Ángel Frutos (Málaga). El objetivo tras estos dos episodios de rápido deterioro de función renal es evitar recidivas similares. ¿Qué estrategia se va a diseñar en esta paciente?
R: En nuestro caso, la paciente presentó dos episodios de fracaso renal agudo de gran severidad y rápida instauración. Tanto en el brote inicial como en la recidiva, la paciente quedó oligúrica en pocas horas y con necesidad de tratamiento prolongado con hemodiálisis. Por otra parte, sólo 2 semanas antes del segundo episodio, la función renal estaba conservada, las crioglobulinas eran negativas y los LB CD19 eran bajos (3%). Dada la magnitud tan importante de los episodios de fracaso renal y la ausencia de marcadores serológicos que nos permitan anticiparnos, con cierto margen, a la recidiva, consideramos necesario aplicar tratamiento inmunosupresor de mantenimiento. En la bibliografía se recogen algunos casos, en los que se han empleado con éxito distintos regímenes de tratamiento de mantenimiento con rituximab9, aunque queda por establecer la dosificación más adecuada, así como la duración total del tratamiento. En nuestra paciente el uso de rituximab como mantenimiento podría ser útil en la prevención de nuevos brotes.
Dr. Miguel Perdiguero (Alicante). ¿Podrían tener, en este caso, cierta utilidad las determinaciones seriadas de C3 y C4 para predecir brotes?
R: Efectivamente, en nuestra paciente cada uno de los episodios de fracaso renal cursó con hipocomplementemia. No obstante, entre la aparición de hipocomplementemia y el desarrollo de oliguria transcurrieron únicamente 14 días. Constituye un período de tiempo reducido que no nos permite la planificación del tratamiento a administrar antes de la precipitación del brote.
Dra. Simona Alexandrini (Madrid). ¿Se ha buscado si existe algún clon responsable de la producción de crioglobulinas?
R: El estudio analítico realizado demostró la presencia de un pico monoclonal IgM-kappa, que refleja una expansión monoclonal de LB. Hasta el momento no se ha podido identificar, de forma directa, en sangre periférica, la presencia de un clon de LB productor de las crioglobulinas, por no disponer del material necesario para su análisis en nuestro centro.
Dr. Jesús Egido (Madrid). Me pregunto si haber mantenido el tratamiento con dosis tan bajas de prednisona tras la recuperación del primer episodio no ha facilitado la presentación tan brusca del segundo.
R: El protocolo de dosificación y duración del tratamiento de mantenimiento con esteroides en casos de glomerulonefritis crioglobulinémica no se ha establecido. La mayoría de los casos publicados no suelen indicar la dosis empleada y, por tanto, es difícil valorar la influencia del empleo de dosis bajas o incluso ausencia de esteroides en la aparición de recidivas.
Dr. Manuel Praga (Madrid). ¿Tenéis alguna opinión sobre el uso de bortezomib en casos similares?
R: Bortezomib es un inhibidor selectivo del proteasoma que ha demostrado ser eficaz en el tratamiento de gammapatías malignas (mieloma múltiple, plasmocitoma, leucemia). Recientemente, se han comunicado 3 casos de pacientes con crioglobulinemia tipo I y vasculitis cutánea resistente a tratamiento inmunosupresor intensivo con esteroides, agentes alquilantes e incluso rituximab. Se observó, además de la completa resolución de la vasculitis cutánea, un descenso significativo del criocrito.
Ninguno de los pacientes presentaba datos de afectación renal, que además es muy infrecuente en casos de crioglobulinemia tipo I10,11.
Agradecimientos
A Novartis Pharma por las facilidades para la presentación y discusión de este caso en la Reunión del Club de Nefropatología y GLOSEN.
Figura 1. PAS. Masivos trombos intracapilares glomerulares
Figura 2. Intensa positividad en trombos intracapilares para anti IgG, IgM, Kappa y Lambda. (En la imagen IF directa para IgG)
Figura 3. Recidiva de GN crioglobulinémica. Trombos intracapilares PAS positivos e hipercelularidad glomerular
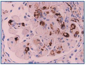
Figura 4. Células de linea monocito/macrofago con inmunotinción para CD68
Figura 5. GN crioglobulinémica. Microscopía electrónica. Depósito intraluminal y subendotelial con subestructura microtubular
 
										
				














